• 文献检索
  • 文档翻译
  • 深度研究
  • 学术资讯
  • Suppr Zotero 插件Zotero 插件
  • 邀请有礼
  • 套餐&价格
  • 历史记录
应用&插件
Suppr Zotero 插件Zotero 插件浏览器插件Mac 客户端Windows 客户端微信小程序
定价
高级版会员购买积分包购买API积分包
服务
文献检索文档翻译深度研究API 文档MCP 服务
关于我们
关于 Suppr公司介绍联系我们用户协议隐私条款
关注我们

Suppr 超能文献

核心技术专利:CN118964589B侵权必究
粤ICP备2023148730 号-1Suppr @ 2026

文献检索

告别复杂PubMed语法,用中文像聊天一样搜索,搜遍4000万医学文献。AI智能推荐,让科研检索更轻松。

立即免费搜索

文件翻译

保留排版,准确专业,支持PDF/Word/PPT等文件格式,支持 12+语言互译。

免费翻译文档

深度研究

AI帮你快速写综述,25分钟生成高质量综述,智能提取关键信息,辅助科研写作。

立即免费体验

正中神经多发性神经鞘瘤:一例报告并文献复习

Multiple Schwannomas of the Median Nerve: A Case Report and Review of the Literature.

作者信息

Salar Mohamed, Kaye Marc B

机构信息

Department of Orthopaedic Surgery and Rehabilitation, University of Florida-Jacksonville, Jacksonville, FL 32209, United States.

出版信息

J Orthop Case Rep. 2020 Sep;10(6):60-63. doi: 10.13107/jocr.2020.v10.i06.1876.

DOI:10.13107/jocr.2020.v10.i06.1876
PMID:33489971
原文链接:https://pmc.ncbi.nlm.nih.gov/articles/PMC7815672/
Abstract

INTRODUCTION

Schwannomas are rare benign tumors affecting the peripheral nerves. They can grow in clusters when associated with neurofibromatosis Type II or with schwannomatosis. Typically, patients present with a palpable painless mass. However, some patients, on the other hand, present with symptomatic lesions that resemble a focal nerve compression caused by the encapsulating nature of these tumors. Surgical excision is an excellent solution for solitary symptomatic lesions. However, multiple schwannomas affecting the same nerve add another level of complexity to the surgery since these secondary masses can be too small to be detected on physical examination. A high index of suspension for schwannomatosis complemented with magnetic resonance imaging (MRI) ensures a more efficient pre-operative workup that can save the patient potentially an additional visit to the operating room.

CASE REPORT

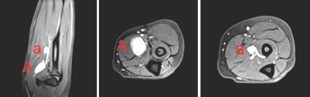
This is a case of a 36-year-old right-handed female presented to our clinic with a several-years history of a painful mass in her forearm. On physical examination, she had a palpable painful mass that was Tinel positive with pain and paresthesia radiating distally over the median nerve distribution. A subsequent MRI scan showed a second smaller mass distally adjacent to the main lesion along with the median nerve, both appearing to be schwannomas of the median nerve. In this case report, we discuss the patient presentation, diagnostic workup and radiographic finding, surgical technique, and pathological findings in addition to a review of the literature regarding multiple schwannomas affecting the upper extremity.

CONCLUSION

Schwannomas are rare benign tumors affecting the peripheral nerves. Despite their solitary nature, a handful of cases are reported in the literature that describes multiple masses encapsulating the same nerve. MRI is utilized to allow proper pre-operative planning and more accurate localization of these tumors to avoid an unplanned return to the operating room.

摘要

引言

施万细胞瘤是一种罕见的影响周围神经的良性肿瘤。当与II型神经纤维瘤病或施万细胞瘤病相关时,它们可呈簇状生长。通常,患者表现为可触及的无痛肿块。然而,另一方面,一些患者表现为有症状的病变,类似于这些肿瘤的包膜性质所导致的局灶性神经受压。手术切除是孤立性有症状病变的理想解决方案。然而,影响同一神经的多个施万细胞瘤会给手术增加另一层面的复杂性,因为这些继发性肿块可能太小而在体格检查中无法检测到。对施万细胞瘤病保持高度警惕并辅以磁共振成像(MRI)可确保更有效的术前检查,这可能为患者节省一次潜在的额外手术室就诊。

病例报告

这是一名36岁右利手女性的病例,她因前臂有多年疼痛性肿块病史前来我们诊所就诊。体格检查时,她有一个可触及的疼痛性肿块,Tinel征阳性,疼痛和感觉异常沿正中神经分布向远端放射。随后的MRI扫描显示,在主要病变远端与正中神经相邻处有第二个较小的肿块,两者似乎均为正中神经的施万细胞瘤。在本病例报告中,除了回顾关于影响上肢的多个施万细胞瘤的文献外,我们还讨论了患者的表现、诊断检查和影像学发现、手术技术及病理结果。

结论

施万细胞瘤是一种罕见的影响周围神经的良性肿瘤。尽管它们通常为孤立性,但文献中报道了少数多发包膜同一神经的病例。利用MRI进行适当的术前规划并更准确地定位这些肿瘤,以避免意外返回手术室。

https://cdn.ncbi.nlm.nih.gov/pmc/blobs/e03c/7815672/34eec49734b0/JOCR-10-60-g001.jpg
https://cdn.ncbi.nlm.nih.gov/pmc/blobs/e03c/7815672/34eec49734b0/JOCR-10-60-g001.jpg
https://cdn.ncbi.nlm.nih.gov/pmc/blobs/e03c/7815672/34eec49734b0/JOCR-10-60-g001.jpg

相似文献

1
Multiple Schwannomas of the Median Nerve: A Case Report and Review of the Literature.正中神经多发性神经鞘瘤:一例报告并文献复习
J Orthop Case Rep. 2020 Sep;10(6):60-63. doi: 10.13107/jocr.2020.v10.i06.1876.
2
[Segmental schwannomatosis in upper-extremity: 5 cases report and literature review].上肢节段性神经鞘瘤病:5例报告及文献复习
Beijing Da Xue Xue Bao Yi Xue Ban. 2013 Oct 18;45(5):698-703.
3
Management of patients with schwannomatosis: report of six cases and review of the literature.神经鞘瘤病患者的管理:6例报告及文献综述
Surg Neurol. 2004 Oct;62(4):353-61; discussion 361. doi: 10.1016/j.surneu.2003.11.020.
4
A Linear Variant of Segmental Schwannomatosis Localized to the Upper Extremity.局限于上肢的节段性神经鞘瘤病的线性变异型
J Hand Microsurg. 2020 Sep 22;14(2):160-162. doi: 10.1055/s-0040-1715424. eCollection 2022 Apr.
5
Multiple schwannomas of the upper limb related exclusively to the ulnar nerve in a patient with segmental schwannomatosis.患者上肢多发性神经鞘瘤,仅与尺神经有关,属于节段性神经鞘瘤病。
J Plast Reconstr Aesthet Surg. 2013 Dec;66(12):e376-9. doi: 10.1016/j.bjps.2013.06.018. Epub 2013 Jun 28.
6
Familial Schwannomatosis: A Diagnostic Challenge.家族性神经鞘瘤病:一项诊断挑战。
J Clin Diagn Res. 2017 Feb;11(2):RD01-RD03. doi: 10.7860/JCDR/2017/20929.9307. Epub 2017 Feb 1.
7
Managing Multiple Schwannomatosis of Vagus and Hypoglossal Nerves: The Unanticipated Complications.处理迷走神经和舌下神经的多发性神经鞘瘤病:意外并发症
Indian J Otolaryngol Head Neck Surg. 2023 Jun;75(2):1162-1168. doi: 10.1007/s12070-022-03460-z. Epub 2023 Jan 6.
8
A case of multiple schwannomas of the trigeminal nerves, acoustic nerves, lower cranial nerves, brachial plexuses and spinal canal: schwannomatosis or neurofibromatosis?一例累及三叉神经、听神经、低位颅神经、臂丛神经和椎管的多发神经鞘瘤:是神经鞘瘤病还是神经纤维瘤病?
Yonsei Med J. 2002 Feb;43(1):109-13. doi: 10.3349/ymj.2002.43.1.109.
9
High-frequency ultrasound imaging findings in the diagnosis of segmental schwannomatosis of the ulnar nerve: case report and literature review.高频超声在尺神经节段性神经鞘瘤病诊断中的影像学表现:病例报告并文献复习。
Skeletal Radiol. 2024 Dec;53(12):2683-2687. doi: 10.1007/s00256-024-04645-z. Epub 2024 Mar 11.
10
Multiple Schwannomas of the Spine: Review of the Schwannomatosis or Congenital Neurilemmomatosis: A Case Report.脊柱多发性施万瘤:施万瘤病或先天性神经鞘瘤病综述:一例报告
Korean J Spine. 2015 Jun;12(2):91-4. doi: 10.14245/kjs.2015.12.2.91. Epub 2015 Jun 30.

引用本文的文献

1
Proximal median neuropathy due to schwannoma: Two case reports.神经鞘瘤所致近端正中神经病变:两例报告
Turk J Phys Med Rehabil. 2022 Aug 5;69(4):553-555. doi: 10.5606/tftrd.2023.10604. eCollection 2023 Dec.
2
WP1066 induces cell death in a schwannomatosis patient-derived schwannoma cell line.WP1066 诱导施万细胞瘤患者来源的施万细胞瘤细胞系发生细胞死亡。
Cold Spring Harb Mol Case Stud. 2022 Jun 22;8(4). doi: 10.1101/mcs.a006178. Print 2022 Jun.

本文引用的文献

1
Schwannomas of the hand and wrist: long-term results and review of the literature.手部和腕部神经鞘瘤:长期结果及文献综述
J Orthop Surg (Hong Kong). 2005 Dec;13(3):267-72. doi: 10.1177/230949900501300309.
2
Multiple schwannomas of the median nerve: a case report and literature review.正中神经多发性神经鞘瘤:一例报告及文献复习
Hand Surg. 2003 Dec;8(2):249-52. doi: 10.1142/s0218810403001741.
3
MRI of peripheral nerve lesions of the lower limbs.下肢周围神经病变的磁共振成像
Neuroradiology. 2003 Mar;45(3):166-70. doi: 10.1007/s00234-002-0932-6. Epub 2003 Feb 19.
4
Multiple neurilemomas. A case report.
Clin Orthop Relat Res. 1998 Dec(357):171-5.
5
Peroneal nerve ganglion cyst.腓总神经腱鞘囊肿
AJR Am J Roentgenol. 1996 Mar;166(3):682. doi: 10.2214/ajr.166.3.8623650.
6
Regional Multiplicity of a neurilemmoma.
Hand. 1982 Feb;14(1):97-9. doi: 10.1016/s0072-968x(82)80052-1.
7
Nerve tumours in the upper limb. A clinical review.
J Hand Surg Br. 1985 Jun;10(2):236-8. doi: 10.1016/0266-7681(85)90026-9.
8
Multiplicity of neurilemomas in the upper extremity.
J Hand Surg Am. 1987 Mar;12(2):307-11. doi: 10.1016/s0363-5023(87)80298-8.
9
Neurilemmomas of the forearm and hand.
Clin Orthop Relat Res. 1976 Jan-Feb(114):219-22.
10
Benign encapsulated neurilemoma: a report of 76 cases.
Am Surg. 1976 Sep;42(9):675-8.