Centre de Recherche du CHU de Québec, Université Laval, Québec City, QC G1V 4G2, Canada.
Département de Microbiologie-Infectiologie et d'immunologie, Faculté de Médecine, Université Laval, Québec City, QC G1V 0A6, Canada.
Biomolecules. 2021 Jan 23;11(2):147. doi: 10.3390/biom11020147.
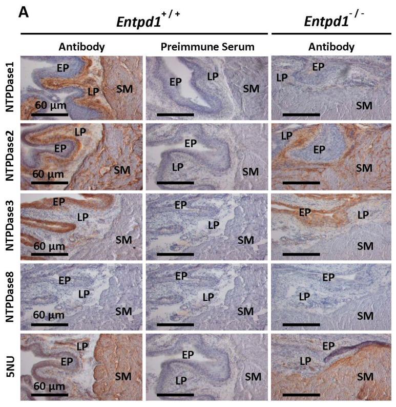
Nucleotides released by smooth muscle cells (SMCs) and by innervating nerve terminals activate specific P2 receptors and modulate bladder contraction. We hypothesized that cell surface enzymes regulate SMC contraction in mice bladder by controlling the concentration of nucleotides. We showed by immunohistochemistry, enzymatic histochemistry, and biochemical activities that nucleoside triphosphate diphosphohydrolase-1 (NTPDase1) and ecto-5'-nucleotidase were the major ectonucleotidases expressed by SMCs in the bladder. RT-qPCR revealed that, among the nucleotide receptors, there was higher expression of P2X1, P2Y, and P2Y receptors. Ex vivo, nucleotides induced a more potent contraction of bladder strips isolated from NTPDase1 deficient () mice compared to wild type controls. The strongest responses were obtained with uridine 5'-triphosphate (UTP) and uridine 5'-diphosphate (UDP), suggesting the involvement of P2Y receptors, which was confirmed with bladder strips. Interestingly, this response was reduced in female bladders. Our results also suggest the participation of P2X1, P2Y and/or P2Y, and P2Y in these contractions. A reduced response to the thromboxane analogue U46619 was also observed in wild type, , and female bladders showing another difference due to sex. In summary, NTPDase1 modulates the activation of nucleotide receptors in mouse bladder SMCs, and contractions induced by P2Y receptor activation were weaker in female bladders.
平滑肌细胞 (SMCs) 和支配神经末梢释放的核苷酸激活特定的 P2 受体,调节膀胱收缩。我们假设细胞表面酶通过控制核苷酸浓度来调节小鼠膀胱中 SMC 的收缩。我们通过免疫组织化学、酶组织化学和生化活性显示,核苷三磷酸二磷酸水解酶-1 (NTPDase1) 和外核苷酸酶是 SMC 在膀胱中表达的主要外核苷酸酶。RT-qPCR 显示,在核苷酸受体中,P2X1、P2Y 和 P2Y 受体的表达水平更高。在体外,与野生型对照相比,核苷酸诱导 NTPDase1 缺陷 () 小鼠的膀胱条产生更强的收缩反应。最强的反应是用尿苷 5'-三磷酸 (UTP) 和尿苷 5'-二磷酸 (UDP) 获得的,这表明涉及 P2Y 受体,这通过 膀胱条得到了证实。有趣的是,这种反应在雌性膀胱中减少。我们的结果还表明,P2X1、P2Y 和/或 P2Y 和 P2Y 参与了这些收缩。在野生型、 和 雌性膀胱中,也观察到对血栓烷类似物 U46619 的反应降低,这表明由于性别差异还存在另一个差异。总之,NTPDase1 调节小鼠膀胱 SMC 中核苷酸受体的激活,并且 P2Y 受体激活诱导的收缩在雌性膀胱中较弱。