Suppr超能文献

化疗引起的肿瘤质地变化可使先前无法切除的脑干毛细胞型星形细胞瘤实现肉眼下全切。

Chemotherapy-induced changes in tumor consistency can allow gross total resection of previously unresectable brainstem pilocytic astrocytoma.

作者信息

Chung Douglas J, Arif Bilal, Odia Yazmin, Siomin Vitaly

机构信息

Department of Neurological Surgery, FIU Herbert Wertheim College of Medicine, Miami, Florida, United States.

Department of Radiology, FIU Herbert Wertheim College of Medicine, Miami, Florida, United States.

出版信息

Surg Neurol Int. 2021 Jan 13;12:12. doi: 10.25259/SNI_594_2020. eCollection 2021.

Abstract

BACKGROUND

Low-grade gliomas (LGG) are described by the World Health Organization as Grades I and II. Among LGGs, the most common primary brain tumor is pilocytic astrocytoma (PA) and carries an excellent prognosis when treated with complete surgical resection. Cases, in which this is not possible, are associated with less favorable outcomes and worse progression-free survival.

CASE DESCRIPTION

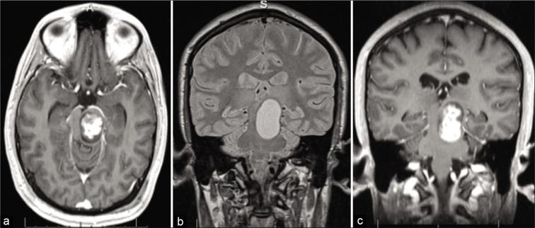
This report describes a case of a 22-year-old male, who presented with progression of a primary brainstem tumor previously treated with stereotactic radiosurgery and chemotherapy. Patient underwent surgical exploration and was diagnosed with juvenile PA, but debulking was limited by the very dense and fibrous tumor. Complete surgical resection was not possible at this time. Despite efforts to treat with chemotherapy, the patient presented a year later with clinical deterioration and severe neurologic deficits, prompting surgical re-exploration. During the second operation, the tumor was found to have undergone very significant softening in consistency, allowing for gross total resection (GTR).

CONCLUSION

Aggressive treatment of brainstem LGG should be pursued whenever possible, given its generally favorable prognosis. Repeat microsurgical resection, even with a different approach, might be reasonable and safe. Finally, chemotherapy may be associated with changes in the tumor consistency that can render previously unresectable lesions amenable to successful aggressive resection.

摘要

背景

世界卫生组织将低级别胶质瘤(LGG)描述为一级和二级。在LGG中,最常见的原发性脑肿瘤是毛细胞型星形细胞瘤(PA),经手术完全切除治疗后预后良好。若无法做到完全切除,则预后较差,无进展生存期也更短。

病例描述

本报告描述了一名22岁男性病例,该患者曾接受立体定向放射外科和化疗,现原发性脑干肿瘤出现进展。患者接受了手术探查,被诊断为青少年型PA,但由于肿瘤质地非常致密且呈纤维状,减瘤手术受限。此时无法进行完全手术切除。尽管进行了化疗,但患者在一年后出现临床病情恶化和严重神经功能缺损,促使再次进行手术探查。在第二次手术中,发现肿瘤质地已显著变软,从而得以进行全切除(GTR)。

结论

鉴于脑干LGG总体预后良好,应尽可能积极治疗。即使采用不同的手术入路,重复显微手术切除可能也是合理且安全的。最后,化疗可能会使肿瘤质地发生变化,从而使先前无法切除的病变能够成功进行积极切除。

https://cdn.ncbi.nlm.nih.gov/pmc/blobs/c759/7827363/928fbeaef642/SNI-12-12-g001.jpg

相似文献

2
Proposed therapeutic strategy for adult low-grade glioma based on aggressive tumor resection.
Neurosurg Focus. 2015 Jan;38(1):E7. doi: 10.3171/2014.10.FOCUS14651.
3
Results of a policy of surveillance alone after surgical management of pediatric low grade gliomas.
Int J Radiat Oncol Biol Phys. 2001 Nov 1;51(3):704-10. doi: 10.1016/s0360-3016(01)01705-9.
5
Intra-axial tumors of the cervicomedullary junction: surgical results and long-term outcome.
Pediatr Neurosurg. 1997 Jul;27(1):12-8. doi: 10.1159/000121219.
7
Favorable prognosis in pediatric brainstem low-grade glioma: Report from the German SIOP-LGG 2004 cohort.
Int J Cancer. 2020 Jun 15;146(12):3385-3396. doi: 10.1002/ijc.32734. Epub 2019 Nov 27.
8
A case of pilocytic astrocytoma requiring tumor resection during pregnancy.
Mol Clin Oncol. 2016 Apr;4(4):567-570. doi: 10.3892/mco.2016.773. Epub 2016 Feb 9.
9
Surgical outcome following resection of contrast-enhanced pediatric brainstem gliomas.
Pediatr Neurosurg. 2003 Dec;39(6):314-22. doi: 10.1159/000075260.

本文引用的文献

2
3
Brainstem Low-Grade Gliomas in Children-Excellent Outcomes With Multimodality Therapy.
J Child Neurol. 2017 Feb;32(2):194-203. doi: 10.1177/0883073816675547. Epub 2016 Nov 3.
4
The 2016 World Health Organization Classification of Tumors of the Central Nervous System: a summary.
Acta Neuropathol. 2016 Jun;131(6):803-20. doi: 10.1007/s00401-016-1545-1. Epub 2016 May 9.
5
Pilocytic astrocytoma: pathology, molecular mechanisms and markers.
Acta Neuropathol. 2015 Jun;129(6):775-88. doi: 10.1007/s00401-015-1410-7. Epub 2015 Mar 20.
6
Neurosurgical treatment of pediatric low-grade midbrain tumors: a single consecutive institutional series of 15 patients.
J Neurosurg Pediatr. 2014 Dec;14(6):598-603. doi: 10.3171/2014.9.PEDS1462. Epub 2014 Oct 17.
8
Management and outcome of focal low-grade brainstem tumors in pediatric patients: the St. Jude experience.
J Neurosurg Pediatr. 2013 Mar;11(3):274-81. doi: 10.3171/2012.11.PEDS12317. Epub 2013 Jan 4.
10
Juvenile pilocytic astrocytoma of the brainstem in children.
J Neurosurg. 2004 Aug;101(1 Suppl):1-6. doi: 10.3171/ped.2004.101.2.0001.

文献AI研究员

20分钟写一篇综述,助力文献阅读效率提升50倍。

立即体验

用中文搜PubMed

大模型驱动的PubMed中文搜索引擎

马上搜索

文档翻译

学术文献翻译模型,支持多种主流文档格式。

立即体验