Marcinek Mateusz, Majcherczyk Konrad, Nowak Marcel, Targoński Aleksander, Tkocz Michał
Department of Urology, Faculty of Medical Sciences in Katowice, Medical University of Silesia, Katowice, Poland, Plac Medyków 1, 41-200 Sosnowiec, Poland.
Case Rep Surg. 2021 Jan 9;2021:8857274. doi: 10.1155/2021/8857274. eCollection 2021.
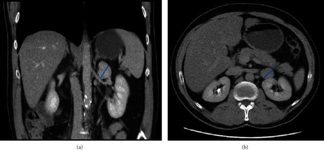
A solitary fibrous tumor develops from mesenchymal cells as a pleural neoplasm, but it is also occasionally reported in extrapleural sites. Retroperitoneal tumors are a group of neoplasms located between muscles and the fascia of the posterior abdominal wall and the parietal peritoneum. Their cytology differs from that of urinary tract organs or adrenals. This case report presents a rare solitary fibrous tumor incidentally found during an ultrasound examination. A 54-year-old male underwent urgent surgery for a tumor located in the left retroperitoneal space. The histologic examination confirmed a solitary fibrous tumor with a 5% Ki67 proliferation index, a 1 MF/10 HPF mitotic activity, and CD34-positive immunostains. A solitary fibrous tumor is a rare retroperitoneal tumor. Its symptoms and signs might resemble those of the classical triad of renal cell carcinoma, although the tumor's growth phase is typically asymptomatic. Intraoperative diagnosis of a solitary fibrous tumor strongly recommends radical excision.
孤立性纤维瘤起源于间充质细胞,是一种胸膜肿瘤,但偶尔也有报道发生于胸膜外部位。腹膜后肿瘤是一组位于肌肉与后腹壁筋膜和壁腹膜之间的肿瘤。它们的细胞学特征与泌尿系统器官或肾上腺不同。本病例报告展示了一例在超声检查中偶然发现的罕见孤立性纤维瘤。一名54岁男性因位于左腹膜后间隙的肿瘤接受了紧急手术。组织学检查证实为孤立性纤维瘤,Ki67增殖指数为5%,有丝分裂活性为1个有丝分裂象/10个高倍视野,免疫组化染色CD34呈阳性。孤立性纤维瘤是一种罕见的腹膜后肿瘤。其症状和体征可能类似于经典的肾细胞癌三联征,尽管肿瘤生长阶段通常无症状。术中诊断为孤立性纤维瘤强烈建议进行根治性切除。