• 文献检索
  • 文档翻译
  • 深度研究
  • 学术资讯
  • Suppr Zotero 插件Zotero 插件
  • 邀请有礼
  • 套餐&价格
  • 历史记录
应用&插件
Suppr Zotero 插件Zotero 插件浏览器插件Mac 客户端Windows 客户端微信小程序
定价
高级版会员购买积分包购买API积分包
服务
文献检索文档翻译深度研究API 文档MCP 服务
关于我们
关于 Suppr公司介绍联系我们用户协议隐私条款
关注我们

Suppr 超能文献

核心技术专利:CN118964589B侵权必究
粤ICP备2023148730 号-1Suppr @ 2026

文献检索

告别复杂PubMed语法,用中文像聊天一样搜索,搜遍4000万医学文献。AI智能推荐,让科研检索更轻松。

立即免费搜索

文件翻译

保留排版,准确专业,支持PDF/Word/PPT等文件格式,支持 12+语言互译。

免费翻译文档

深度研究

AI帮你快速写综述,25分钟生成高质量综述,智能提取关键信息,辅助科研写作。

立即免费体验

基于子囊菌泛基因组分析获得的分子标记的诊断系统设计:以枯萎病菌为例。

Design of a diagnostic system based on molecular markers derived from the ascomycetes pan-genome analysis: The case of Fusarium dieback disease.

机构信息

Red de Estudios Moleculares Avanzados (REMAv), Instituto de Ecología A.C. (INECOL), Xalapa, Veracruz, México.

Catedrático CONACYT en el INECOL, Xalapa, Veracruz, México.

出版信息

PLoS One. 2021 Jan 28;16(1):e0246079. doi: 10.1371/journal.pone.0246079. eCollection 2021.

DOI:10.1371/journal.pone.0246079
PMID:33507916
原文链接:https://pmc.ncbi.nlm.nih.gov/articles/PMC7843019/
Abstract

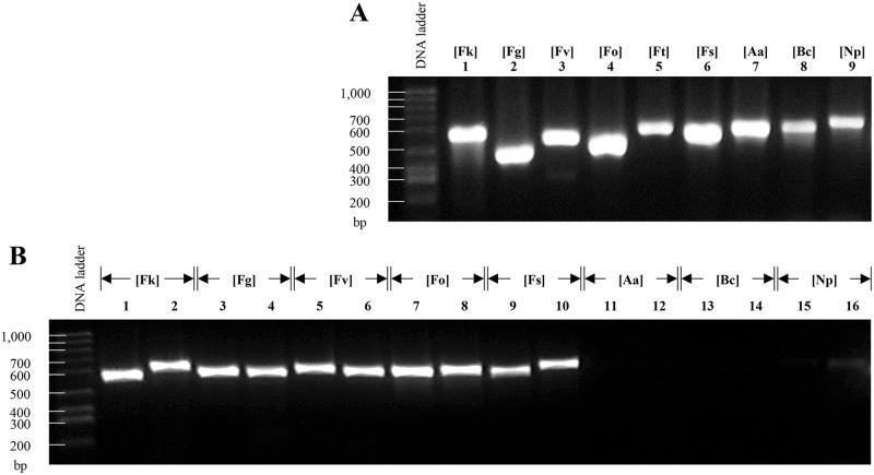
A key factor to take actions against phytosanitary problems is the accurate and rapid detection of the causal agent. Here, we develop a molecular diagnostics system based on comparative genomics to easily identify fusariosis and specific pathogenic species as the Fusarium kuroshium, the symbiont of the ambrosia beetle Euwallaceae kuroshio Gomez and Hulcr which is responsible for Fusarium dieback disease in San Diego CA, USA. We performed a pan-genome analysis using sixty-three ascomycetes fungi species including phytopathogens and fungi associated with the ambrosia beetles. Pan-genome analysis revealed that 2,631 orthologue genes are only shared by Fusarium spp., and on average 3,941 (SD ± 1,418.6) are species-specific genes. These genes were used for PCR primer design and tested on DNA isolated from i) different strains of ascomycete species, ii) artificially infected avocado stems and iii) plant tissue of field-collected samples presumably infected. Our results let us propose a useful set of primers to either identify any species from Fusarium genus or, in a specific manner, species such as F. kuroshium, F. oxysporum, and F. graminearum. The results suggest that the molecular strategy employed in this study can be expanded to design primers against different types of pathogens responsible for provoking critical plant diseases.

摘要

采取植物检疫问题行动的一个关键因素是准确和快速地检测病原体。在这里,我们基于比较基因组学开发了一种分子诊断系统,以轻松识别镰刀菌病和特定的致病物种,如 Fusarium kuroshium,这种真菌是 ambrosia beetle Euwallaceae kuroshio Gomez 和 Hulcr 的共生菌,它是美国加利福尼亚州圣地亚哥 Fusarium dieback 疾病的罪魁祸首。我们对包括植物病原菌和与 ambrosia beetles 相关的真菌在内的六十三种子囊菌真菌物种进行了泛基因组分析。泛基因组分析表明,只有 2631 个直系同源基因仅由 Fusarium spp. 共享,平均有 3941 个(SD ± 1418.6)是物种特异性基因。这些基因用于设计 PCR 引物,并在以下方面进行了测试:i)不同的子囊菌物种菌株,ii)人工感染的鳄梨茎,以及 iii)可能感染的田间采集样本的植物组织。我们的结果表明,可以提出一组有用的引物,用于鉴定 Fusarium 属中的任何物种,或者以特定的方式鉴定 F. kuroshium、F. oxysporum 和 F. graminearum 等物种。研究结果表明,本研究中采用的分子策略可以扩展到设计针对引起关键植物疾病的不同类型病原体的引物。

https://cdn.ncbi.nlm.nih.gov/pmc/blobs/7891/7843019/2d9de3a0b835/pone.0246079.g010.jpg
https://cdn.ncbi.nlm.nih.gov/pmc/blobs/7891/7843019/b2eeeac145c7/pone.0246079.g001.jpg
https://cdn.ncbi.nlm.nih.gov/pmc/blobs/7891/7843019/1fdf4b0bcb9b/pone.0246079.g002.jpg
https://cdn.ncbi.nlm.nih.gov/pmc/blobs/7891/7843019/738f8bd14a78/pone.0246079.g003.jpg
https://cdn.ncbi.nlm.nih.gov/pmc/blobs/7891/7843019/270606652f25/pone.0246079.g004.jpg
https://cdn.ncbi.nlm.nih.gov/pmc/blobs/7891/7843019/c99be95fbd28/pone.0246079.g005.jpg
https://cdn.ncbi.nlm.nih.gov/pmc/blobs/7891/7843019/50539f84ac6e/pone.0246079.g006.jpg
https://cdn.ncbi.nlm.nih.gov/pmc/blobs/7891/7843019/ee85683b5756/pone.0246079.g007.jpg
https://cdn.ncbi.nlm.nih.gov/pmc/blobs/7891/7843019/aa5ae20dc17d/pone.0246079.g008.jpg
https://cdn.ncbi.nlm.nih.gov/pmc/blobs/7891/7843019/01afbca225f4/pone.0246079.g009.jpg
https://cdn.ncbi.nlm.nih.gov/pmc/blobs/7891/7843019/2d9de3a0b835/pone.0246079.g010.jpg
https://cdn.ncbi.nlm.nih.gov/pmc/blobs/7891/7843019/b2eeeac145c7/pone.0246079.g001.jpg
https://cdn.ncbi.nlm.nih.gov/pmc/blobs/7891/7843019/1fdf4b0bcb9b/pone.0246079.g002.jpg
https://cdn.ncbi.nlm.nih.gov/pmc/blobs/7891/7843019/738f8bd14a78/pone.0246079.g003.jpg
https://cdn.ncbi.nlm.nih.gov/pmc/blobs/7891/7843019/270606652f25/pone.0246079.g004.jpg
https://cdn.ncbi.nlm.nih.gov/pmc/blobs/7891/7843019/c99be95fbd28/pone.0246079.g005.jpg
https://cdn.ncbi.nlm.nih.gov/pmc/blobs/7891/7843019/50539f84ac6e/pone.0246079.g006.jpg
https://cdn.ncbi.nlm.nih.gov/pmc/blobs/7891/7843019/ee85683b5756/pone.0246079.g007.jpg
https://cdn.ncbi.nlm.nih.gov/pmc/blobs/7891/7843019/aa5ae20dc17d/pone.0246079.g008.jpg
https://cdn.ncbi.nlm.nih.gov/pmc/blobs/7891/7843019/01afbca225f4/pone.0246079.g009.jpg
https://cdn.ncbi.nlm.nih.gov/pmc/blobs/7891/7843019/2d9de3a0b835/pone.0246079.g010.jpg

相似文献

1
Design of a diagnostic system based on molecular markers derived from the ascomycetes pan-genome analysis: The case of Fusarium dieback disease.基于子囊菌泛基因组分析获得的分子标记的诊断系统设计:以枯萎病菌为例。
PLoS One. 2021 Jan 28;16(1):e0246079. doi: 10.1371/journal.pone.0246079. eCollection 2021.
2
Two Novel Fungal Symbionts Fusarium kuroshium sp. nov. and Graphium kuroshium sp. nov. of Kuroshio Shot Hole Borer (Euwallacea sp. nr. fornicatus) Cause Fusarium Dieback on Woody Host Species in California.两种新型真菌共生体镰孢菌属黑木(新种)和 Graphium kuroshium sp. nov. 是黑潮穿孔虫(Euwallacea sp. nr. fornicatus)的共生菌,可导致加利福尼亚木本寄主物种的镰孢菌枯萎病。
Plant Dis. 2018 Jun;102(6):1154-1164. doi: 10.1094/PDIS-07-17-1042-RE. Epub 2018 Apr 2.
3
Fusarium euwallaceae sp. nov.--a symbiotic fungus of Euwallacea sp., an invasive ambrosia beetle in Israel and California.新圆盾炱菌 -- 一种共生真菌,寄生于入侵以色列和加利福尼亚的长角象甲。
Mycologia. 2013 Nov-Dec;105(6):1595-606. doi: 10.3852/13-066. Epub 2013 Aug 8.
4
Characterization of the Exo-Metabolome of the Emergent Phytopathogen sp. nov., a Causal Agent of Dieback.新兴植物病原菌 sp. nov. 的胞外代谢组学特征,该病原菌是萎蔫病的致病因子。
Toxins (Basel). 2021 Apr 9;13(4):268. doi: 10.3390/toxins13040268.
5
Antifungal activity of avocado rhizobacteria against Fusarium euwallaceae and Graphium spp., associated with Euwallacea spp. nr. fornicatus, and Phytophthora cinnamomi.鳄梨根际细菌对与新菠萝灰粉蚧近似种Euwallacea spp. nr. fornicatus相关的尖孢镰刀菌和拟盘多毛孢属真菌以及樟疫霉的抗真菌活性。
Antonie Van Leeuwenhoek. 2018 Apr;111(4):563-572. doi: 10.1007/s10482-017-0977-5. Epub 2017 Nov 9.
6
Identification, pathogenicity and abundance of Paracremonium pembeum sp. nov. and Graphium euwallaceae sp. nov.--two newly discovered mycangial associates of the polyphagous shot hole borer (Euwallacea sp.) in California.粉红拟顶孢新种和新墙毛盘孢新种的鉴定、致病性及丰度——加利福尼亚多食性射小蠹(新墙小蠹属)两种新发现的菌囊共生菌。
Mycologia. 2016 Mar-Apr;108(2):313-29. doi: 10.3852/15-063. Epub 2016 Jan 6.
7
Three novel Ambrosia Clade species producing clavate macroconidia known ( and ) or predicted () to be farmed by spp. (Coleoptera: Scolytinae) on woody hosts.三种新型 Ambrosia 群物种产生棍棒状大型分生孢子,已知(和)或预测()被 spp. (鞘翅目:小蠹科)在木质宿主上养殖。
Mycologia. 2019 Nov-Dec;111(6):919-935. doi: 10.1080/00275514.2019.1647074. Epub 2019 Sep 27.
8
Probe-Based Multiplex Real-Time PCR as a Diagnostic Tool to Distinguish Distinct Fungal Symbionts Associated With and in California.基于探针的多重实时 PCR 作为一种诊断工具,可区分与加利福尼亚州 和 相关的不同真菌共生体。
Plant Dis. 2020 Jan;104(1):227-238. doi: 10.1094/PDIS-01-19-0201-RE. Epub 2019 Oct 23.
9
Molecular evidence of the avocado defense response to infection: a deep transcriptome analysis using RNA-Seq.鳄梨对感染的防御反应的分子证据:使用RNA测序的深度转录组分析
PeerJ. 2021 Apr 14;9:e11215. doi: 10.7717/peerj.11215. eCollection 2021.
10
Diffusible and volatile organic compounds produced by avocado rhizobacteria exhibit antifungal effects against Fusarium kuroshium.鳄梨根际细菌产生的可扩散和挥发性有机化合物对枯萎病菌表现出抗真菌作用。
Braz J Microbiol. 2020 Sep;51(3):861-873. doi: 10.1007/s42770-020-00249-6. Epub 2020 Mar 12.

引用本文的文献

1
Identification and molecular detection of the pathogen of leaf yellowing through genome analysis.通过基因组分析对叶片黄化病原体进行鉴定和分子检测。
Front Microbiol. 2024 Sep 24;15:1431813. doi: 10.3389/fmicb.2024.1431813. eCollection 2024.
2
Molecular evidence of the avocado defense response to infection: a deep transcriptome analysis using RNA-Seq.鳄梨对感染的防御反应的分子证据:使用RNA测序的深度转录组分析
PeerJ. 2021 Apr 14;9:e11215. doi: 10.7717/peerj.11215. eCollection 2021.

本文引用的文献

1
101 genomes: A test case for predicting lifestyles and emergence of pathogens.101个基因组:预测病原体的生活方式和出现情况的一个案例
Stud Mycol. 2020 Feb 1;96:141-153. doi: 10.1016/j.simyco.2020.01.003. eCollection 2020 Jun.
2
Probe-Based Multiplex Real-Time PCR as a Diagnostic Tool to Distinguish Distinct Fungal Symbionts Associated With and in California.基于探针的多重实时 PCR 作为一种诊断工具,可区分与加利福尼亚州 和 相关的不同真菌共生体。
Plant Dis. 2020 Jan;104(1):227-238. doi: 10.1094/PDIS-01-19-0201-RE. Epub 2019 Oct 23.
3
The avocado genome informs deep angiosperm phylogeny, highlights introgressive hybridization, and reveals pathogen-influenced gene space adaptation.
鳄梨基因组揭示了深根系被子植物的系统发育,强调了渐渗杂交,并揭示了病原体影响基因空间适应的现象。
Proc Natl Acad Sci U S A. 2019 Aug 20;116(34):17081-17089. doi: 10.1073/pnas.1822129116. Epub 2019 Aug 6.
4
A Utilitarian Approach to Fusarium Identification.一种用于镰刀菌鉴定的功利主义方法。
Plant Dis. 2003 Feb;87(2):117-128. doi: 10.1094/PDIS.2003.87.2.117.
5
First Report of a Fusarium sp. and Its Vector Tea Shot Hole Borer (Euwallacea fornicatus) Causing Fusarium Dieback on Avocado in California.加利福尼亚州首次报告镰刀菌属菌种及其传播媒介茶小蠹(Euwallacea fornicatus)导致鳄梨发生镰刀菌枯萎病。
Plant Dis. 2012 Jul;96(7):1070. doi: 10.1094/PDIS-03-12-0276-PDN.
6
Host Range of Fusarium Dieback and Its Ambrosia Beetle (Coleoptera: Scolytinae) Vector in Southern California.南加州镰刀菌枯萎病及其伴生菌甲虫(鞘翅目:小蠹科)传播媒介的寄主范围
Plant Dis. 2013 Jul;97(7):938-951. doi: 10.1094/PDIS-11-12-1026-RE.
7
PCR Multiplexes Discriminate Fusarium Symbionts of Invasive Euwallacea Ambrosia Beetles that Inflict Damage on Numerous Tree Species Throughout the United States.聚合酶链式反应多重检测法可区分入侵性肖叶甲科食菌小蠹的镰刀菌共生体,这些小蠹会对美国各地的众多树种造成损害。
Plant Dis. 2017 Jan;101(1):233-240. doi: 10.1094/PDIS-07-16-1046-RE. Epub 2016 Nov 1.
8
Two Novel Fungal Symbionts Fusarium kuroshium sp. nov. and Graphium kuroshium sp. nov. of Kuroshio Shot Hole Borer (Euwallacea sp. nr. fornicatus) Cause Fusarium Dieback on Woody Host Species in California.两种新型真菌共生体镰孢菌属黑木(新种)和 Graphium kuroshium sp. nov. 是黑潮穿孔虫(Euwallacea sp. nr. fornicatus)的共生菌,可导致加利福尼亚木本寄主物种的镰孢菌枯萎病。
Plant Dis. 2018 Jun;102(6):1154-1164. doi: 10.1094/PDIS-07-17-1042-RE. Epub 2018 Apr 2.
9
Fast and inexpensive protocols for consistent extraction of high quality DNA and RNA from challenging plant and fungal samples for high-throughput SNP genotyping and sequencing applications.快速且廉价的方案,可从具有挑战性的植物和真菌样本中一致提取高质量的 DNA 和 RNA,适用于高通量 SNP 基因分型和测序应用。
PLoS One. 2018 Oct 18;13(10):e0206085. doi: 10.1371/journal.pone.0206085. eCollection 2018.
10
Signatures of host specialization and a recent transposable element burst in the dynamic one-speed genome of the fungal barley powdery mildew pathogen.真菌性大麦白粉病病原体的单速动态基因组中的宿主专化性和最近的转座子爆发特征。
BMC Genomics. 2018 May 22;19(1):381. doi: 10.1186/s12864-018-4750-6.