Suppr超能文献

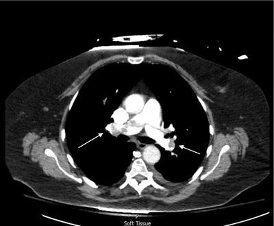
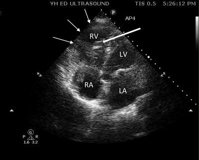
Elderly woman with shortness of breath.

作者信息

Gregory David, Becker Brent A, Collin Mark

机构信息

Wellspan York Hospital Department of Emergency Medicine York Pennsylvania USA.

出版信息

J Am Coll Emerg Physicians Open. 2020 Dec 5;2(1):e12327. doi: 10.1002/emp2.12327. eCollection 2021 Feb.

Abstract
摘要
https://cdn.ncbi.nlm.nih.gov/pmc/blobs/1894/7819259/6d60fe8b15bd/EMP2-2-e12327-g001.jpg

文献AI研究员

20分钟写一篇综述,助力文献阅读效率提升50倍。

立即体验

用中文搜PubMed

大模型驱动的PubMed中文搜索引擎

马上搜索

文档翻译

学术文献翻译模型,支持多种主流文档格式。

立即体验