• 文献检索
  • 文档翻译
  • 深度研究
  • 学术资讯
  • Suppr Zotero 插件Zotero 插件
  • 邀请有礼
  • 套餐&价格
  • 历史记录
应用&插件
Suppr Zotero 插件Zotero 插件浏览器插件Mac 客户端Windows 客户端微信小程序
定价
高级版会员购买积分包购买API积分包
服务
文献检索文档翻译深度研究API 文档MCP 服务
关于我们
关于 Suppr公司介绍联系我们用户协议隐私条款
关注我们

Suppr 超能文献

核心技术专利:CN118964589B侵权必究
粤ICP备2023148730 号-1Suppr @ 2026

文献检索

告别复杂PubMed语法,用中文像聊天一样搜索,搜遍4000万医学文献。AI智能推荐,让科研检索更轻松。

立即免费搜索

文件翻译

保留排版,准确专业,支持PDF/Word/PPT等文件格式,支持 12+语言互译。

免费翻译文档

深度研究

AI帮你快速写综述,25分钟生成高质量综述,智能提取关键信息,辅助科研写作。

立即免费体验

成骨细胞分化的P53调控是通过特定的微小RNA介导的。

P53 regulation of osteoblast differentiation is mediated through specific microRNAs.

作者信息

Shah Shivang, Pendleton Elisha, Couture Oliver, Broachwalla Mustafa, Kusper Teresa, Alt Lauren A C, Fay Michael J, Chandar Nalini

机构信息

Department of Biochemistry, College of Graduate Studies, Midwestern University, 555, 31st, Street, Downers Grove, IL60515, USA.

Department of Biomedical Sciences, College of Graduate Studies, Midwestern University, 555, 31st, Street, Downers Grove, IL60515, USA.

出版信息

Biochem Biophys Rep. 2021 Feb 1;25:100920. doi: 10.1016/j.bbrep.2021.100920. eCollection 2021 Mar.

DOI:10.1016/j.bbrep.2021.100920
PMID:33553686
原文链接:https://pmc.ncbi.nlm.nih.gov/articles/PMC7859171/
Abstract

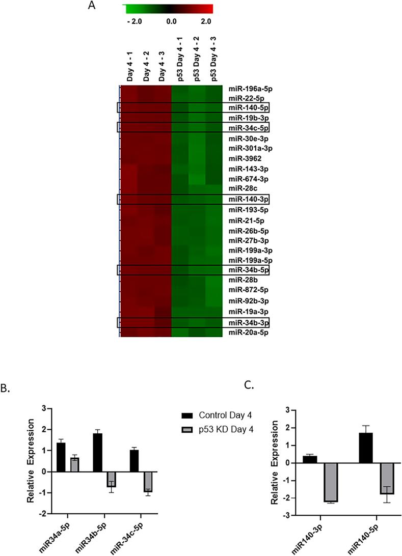
In order to understand the role of the p53 tumor suppressor gene in microRNA expression during osteoblast differentiation, we used a screen to identify microRNAs that were altered in a p53-dependent manner. MicroRNAs from MC3T3-E1 preosteoblasts were isolated from day 0 (undifferentiated) and day 4 (differentiating) and compared to a p53 deficient MC3T3-E1 line treated similarly. Overall, one fourth of all the microRNAs tested showed a reduction of 0.6 fold, and a similar number of them were increased 1.7 fold with differentiation. P53 deficiency caused 40% reduction in expression of microRNAs in differentiating cells, while a small percent (0.03%) showed an increase. Changes in microRNAs were validated using real-time PCR and two microRNAs were selected for further analysis (miR-34b and miR-140). These two microRNAs were increased significantly during differentiation but showed a dramatic reduction in expression in a p53 deficient state. Stable expression of miR-34b and miR-140 in MC3T3-E1 cells resulted in decreases in cell proliferation rates when compared to control cells. There was a 4-fold increase in p53 levels with miR-34b expression and a less dramatic increase with miR-140. Putative target binding sites for bone specific transcription factors, Runx2 and Osterix, were found for miR-34b, while Runx2, beta catenin and type 1 collagen were found to be miR-140 targets. Western blot analyses and functional assays for the transcription factors Runx2, Osterix and Beta-catenin confirmed microRNA specific interactions. These studies provide evidence that p53 mediated regulation of osteoblast differentiation can also occur through specific microRNAs such as miR-34b and miR-140 that also directly target important bone specific genes.

摘要

为了了解p53肿瘤抑制基因在成骨细胞分化过程中对微小RNA表达的作用,我们通过筛选来鉴定以p53依赖方式发生改变的微小RNA。从第0天(未分化)和第4天(正在分化)的MC3T3-E1前成骨细胞中分离出微小RNA,并与同样处理的p53缺陷型MC3T3-E1细胞系进行比较。总体而言,所有测试的微小RNA中有四分之一显示减少了0.6倍,并且其中数量相近的微小RNA在分化时增加了1.7倍。p53缺陷导致正在分化的细胞中微小RNA的表达降低了40%,而一小部分(0.03%)显示增加。使用实时PCR验证了微小RNA的变化,并选择了两种微小RNA进行进一步分析(miR-34b和miR-140)。这两种微小RNA在分化过程中显著增加,但在p53缺陷状态下表达急剧降低。与对照细胞相比,MC3T3-E1细胞中miR-34b和miR-140的稳定表达导致细胞增殖率降低。miR-34b表达时p53水平增加了4倍,miR-140表达时增加幅度较小。发现miR-34b有骨特异性转录因子Runx2和Osterix的假定靶标结合位点,而Runx2、β-连环蛋白和I型胶原被发现是miR-140的靶标。对转录因子Runx2、Osterix和β-连环蛋白的蛋白质印迹分析和功能测定证实了微小RNA的特异性相互作用。这些研究提供了证据,表明p53介导的成骨细胞分化调控也可通过特定的微小RNA如miR-34b和miR-140发生,这些微小RNA也直接靶向重要的骨特异性基因。

https://cdn.ncbi.nlm.nih.gov/pmc/blobs/0838/7859171/db5c5e9f4c1e/gr8.jpg
https://cdn.ncbi.nlm.nih.gov/pmc/blobs/0838/7859171/62aeac29f86e/gr1.jpg
https://cdn.ncbi.nlm.nih.gov/pmc/blobs/0838/7859171/2cf235b6057b/gr2a.jpg
https://cdn.ncbi.nlm.nih.gov/pmc/blobs/0838/7859171/654623ead8dd/gr2b.jpg
https://cdn.ncbi.nlm.nih.gov/pmc/blobs/0838/7859171/4823ab623553/gr3.jpg
https://cdn.ncbi.nlm.nih.gov/pmc/blobs/0838/7859171/5c72e33380c6/gr4a.jpg
https://cdn.ncbi.nlm.nih.gov/pmc/blobs/0838/7859171/5d28bb9c22b7/gr4b.jpg
https://cdn.ncbi.nlm.nih.gov/pmc/blobs/0838/7859171/281d7f5a8d7d/gr4c.jpg
https://cdn.ncbi.nlm.nih.gov/pmc/blobs/0838/7859171/116842d4f7ee/gr4d.jpg
https://cdn.ncbi.nlm.nih.gov/pmc/blobs/0838/7859171/bdc8a754d41e/gr5a.jpg
https://cdn.ncbi.nlm.nih.gov/pmc/blobs/0838/7859171/cbf6b4cb4db3/gr5b.jpg
https://cdn.ncbi.nlm.nih.gov/pmc/blobs/0838/7859171/0e6acd51d3b2/gr6.jpg
https://cdn.ncbi.nlm.nih.gov/pmc/blobs/0838/7859171/f0c6104de019/gr7.jpg
https://cdn.ncbi.nlm.nih.gov/pmc/blobs/0838/7859171/db5c5e9f4c1e/gr8.jpg
https://cdn.ncbi.nlm.nih.gov/pmc/blobs/0838/7859171/62aeac29f86e/gr1.jpg
https://cdn.ncbi.nlm.nih.gov/pmc/blobs/0838/7859171/2cf235b6057b/gr2a.jpg
https://cdn.ncbi.nlm.nih.gov/pmc/blobs/0838/7859171/654623ead8dd/gr2b.jpg
https://cdn.ncbi.nlm.nih.gov/pmc/blobs/0838/7859171/4823ab623553/gr3.jpg
https://cdn.ncbi.nlm.nih.gov/pmc/blobs/0838/7859171/5c72e33380c6/gr4a.jpg
https://cdn.ncbi.nlm.nih.gov/pmc/blobs/0838/7859171/5d28bb9c22b7/gr4b.jpg
https://cdn.ncbi.nlm.nih.gov/pmc/blobs/0838/7859171/281d7f5a8d7d/gr4c.jpg
https://cdn.ncbi.nlm.nih.gov/pmc/blobs/0838/7859171/116842d4f7ee/gr4d.jpg
https://cdn.ncbi.nlm.nih.gov/pmc/blobs/0838/7859171/bdc8a754d41e/gr5a.jpg
https://cdn.ncbi.nlm.nih.gov/pmc/blobs/0838/7859171/cbf6b4cb4db3/gr5b.jpg
https://cdn.ncbi.nlm.nih.gov/pmc/blobs/0838/7859171/0e6acd51d3b2/gr6.jpg
https://cdn.ncbi.nlm.nih.gov/pmc/blobs/0838/7859171/f0c6104de019/gr7.jpg
https://cdn.ncbi.nlm.nih.gov/pmc/blobs/0838/7859171/db5c5e9f4c1e/gr8.jpg

相似文献

1
P53 regulation of osteoblast differentiation is mediated through specific microRNAs.成骨细胞分化的P53调控是通过特定的微小RNA介导的。
Biochem Biophys Rep. 2021 Feb 1;25:100920. doi: 10.1016/j.bbrep.2021.100920. eCollection 2021 Mar.
2
MicroRNA-10a Influences Osteoblast Differentiation and Angiogenesis by Regulating β-Catenin Expression.微小RNA-10a通过调控β-连环蛋白表达影响成骨细胞分化和血管生成。
Cell Physiol Biochem. 2015;37(6):2194-208. doi: 10.1159/000438576. Epub 2015 Nov 27.
3
MicroRNA-34b and MicroRNA-34c are targets of p53 and cooperate in control of cell proliferation and adhesion-independent growth.微小RNA-34b和微小RNA-34c是p53的靶标,并在细胞增殖和非粘附性生长的控制中协同作用。
Cancer Res. 2007 Sep 15;67(18):8433-8. doi: 10.1158/0008-5472.CAN-07-1585. Epub 2007 Sep 6.
4
miRNA-133a-5p Inhibits the Expression of Osteoblast Differentiation-Associated Markers by Targeting the 3' UTR of RUNX2.微小RNA-133a-5p通过靶向RUNX2的3'非翻译区抑制成骨细胞分化相关标志物的表达。
DNA Cell Biol. 2018 Mar;37(3):199-209. doi: 10.1089/dna.2017.3936. Epub 2018 Jan 23.
5
MicroRNA-505 is involved in the regulation of osteogenic differentiation of MC3T3-E1 cells partially by targeting RUNX2.微小 RNA-505 通过靶向 RUNX2 部分参与调控 MC3T3-E1 细胞的成骨分化。
J Orthop Surg Res. 2020 Apr 15;15(1):143. doi: 10.1186/s13018-020-01645-2.
6
Abnormal expression of miR-135b-5p in bone tissue of patients with osteoporosis and its role and mechanism in osteoporosis progression.骨质疏松症患者骨组织中miR-135b-5p的异常表达及其在骨质疏松症进展中的作用和机制。
Exp Ther Med. 2020 Feb;19(2):1042-1050. doi: 10.3892/etm.2019.8278. Epub 2019 Dec 4.
7
MicroRNA-590-5p antagonizes the inhibitory effect of high glucose on osteoblast differentiation by suppressing Smad7 in MC3T3-E1 cells.微小RNA-590-5p通过抑制MC3T3-E1细胞中的Smad7来拮抗高糖对成骨细胞分化的抑制作用。
J Int Med Res. 2019 Apr;47(4):1740-1748. doi: 10.1177/0300060519830212. Epub 2019 Feb 26.
8
microRNA-103a functions as a mechanosensitive microRNA to inhibit bone formation through targeting Runx2.微小RNA-103a作为一种机械敏感的微小RNA,通过靶向Runx2抑制骨形成。
J Bone Miner Res. 2015 Feb;30(2):330-45. doi: 10.1002/jbmr.2352.
9
Icariin regulates the osteoblast differentiation and cell proliferation of MC3T3-E1 cells through microRNA-153 by targeting Runt-related transcription factor 2.淫羊藿苷通过靶向Runt相关转录因子2,经由微小RNA-153调控MC3T3-E1细胞的成骨细胞分化和细胞增殖。
Exp Ther Med. 2018 Jun;15(6):5159-5166. doi: 10.3892/etm.2018.6127. Epub 2018 May 3.
10
Involvement of miR-140-3p in Wnt3a and TGFβ3 signaling pathways during osteoblast differentiation in MC3T3-E1 cells.miR-140-3p在MC3T3-E1细胞成骨细胞分化过程中参与Wnt3a和TGFβ3信号通路。
Genes Cells. 2018 Jul;23(7):517-527. doi: 10.1111/gtc.12591. Epub 2018 May 9.

引用本文的文献

1
Addressing osteoblast senescence: Molecular pathways and the frontier of anti-ageing treatments.应对成骨细胞衰老:分子途径与抗衰老治疗前沿
Clin Transl Med. 2025 Jul;15(7):e70417. doi: 10.1002/ctm2.70417.
2
BMP-9 Improves the Osteogenic Differentiation Ability over BMP-2 through p53 Signaling In Vitro in Human Periosteum-Derived Cells.BMP-9 通过 p53 信号通路在人骨膜来源细胞中体外增强成骨分化能力优于 BMP-2。
Int J Mol Sci. 2023 Oct 17;24(20):15252. doi: 10.3390/ijms242015252.
3
Aging and aging-related diseases: from molecular mechanisms to interventions and treatments.

本文引用的文献

1
MiR-140-5p promotes osteogenic differentiation of mouse embryonic bone marrow mesenchymal stem cells and post-fracture healing of mice.miR-140-5p 促进小鼠胚胎骨髓间充质干细胞的成骨分化和小鼠骨折后的愈合。
Cell Biochem Funct. 2020 Dec;38(8):1152-1160. doi: 10.1002/cbf.3585. Epub 2020 Oct 12.
2
The roles of microRNAs in epigenetic regulation.miRNAs 在表观遗传调控中的作用。
Curr Opin Chem Biol. 2019 Aug;51:11-17. doi: 10.1016/j.cbpa.2019.01.024. Epub 2019 Feb 27.
3
Functional relationship between p53 and RUNX proteins.p53 与 RUNX 蛋白的功能关系。
衰老和与衰老相关的疾病:从分子机制到干预和治疗。
Signal Transduct Target Ther. 2022 Dec 16;7(1):391. doi: 10.1038/s41392-022-01251-0.
4
Identification of miRNA Regulatory Networks and Candidate Markers for Fracture Healing in Mice.鉴定 miRNA 调控网络和候选标志物在小鼠骨折愈合中的作用。
Comput Math Methods Med. 2021 Nov 16;2021:2866475. doi: 10.1155/2021/2866475. eCollection 2021.
J Mol Cell Biol. 2019 Mar 1;11(3):224-230. doi: 10.1093/jmcb/mjy076.
4
Long noncoding RNA C21orf121/bone morphogenetic protein 2/microRNA-140-5p gene network promotes directed differentiation of stem cells from human exfoliated deciduous teeth to neuronal cells.长链非编码RNA C21orf121/骨形态发生蛋白2/微小RNA-140-5p基因网络促进人乳牙干细胞向神经细胞的定向分化。
J Cell Biochem. 2019 Feb;120(2):1464-1476. doi: 10.1002/jcb.27313. Epub 2018 Oct 14.
5
miR-214 ameliorates acute kidney injury via targeting DKK3 and activating of Wnt/β-catenin signaling pathway.miR-214 通过靶向 DKK3 并激活 Wnt/β-catenin 信号通路改善急性肾损伤。
Biol Res. 2018 Sep 4;51(1):31. doi: 10.1186/s40659-018-0179-2.
6
MicroRNA-140 Suppresses Human Chondrocytes Hypertrophy by Targeting SMAD1 and Controlling the Bone Morphogenetic Protein Pathway in Osteoarthritis.microRNA-140 通过靶向 SMAD1 并调控骨形态发生蛋白通路抑制骨关节炎中的软骨细胞肥大。
Am J Med Sci. 2018 May;355(5):477-487. doi: 10.1016/j.amjms.2018.01.004. Epub 2018 Jan 31.
7
Involvement of miR-140-3p in Wnt3a and TGFβ3 signaling pathways during osteoblast differentiation in MC3T3-E1 cells.miR-140-3p在MC3T3-E1细胞成骨细胞分化过程中参与Wnt3a和TGFβ3信号通路。
Genes Cells. 2018 Jul;23(7):517-527. doi: 10.1111/gtc.12591. Epub 2018 May 9.
8
The Guardian of the Genome Revisited: p53 Downregulates Genes Required for Telomere Maintenance, DNA Repair, and Centromere Structure.基因组守护者再探讨:p53下调端粒维持、DNA修复和着丝粒结构所需的基因。
Cancers (Basel). 2018 May 6;10(5):135. doi: 10.3390/cancers10050135.
9
p53: emerging roles in stem cells, development and beyond.p53:在干细胞、发育及其他领域中的新兴作用。
Development. 2018 Apr 13;145(8):dev158360. doi: 10.1242/dev.158360.
10
Cadmium Nephrotoxicity Is Associated with Altered MicroRNA Expression in the Rat Renal Cortex.镉肾毒性与大鼠肾皮质中微小RNA表达改变有关。
Toxics. 2018 Mar 15;6(1):16. doi: 10.3390/toxics6010016.