University of Belgrade-Faculty of Chemistry, Department of Biochemistry, Centre of Excellence for Molecular Food Sciences, Belgrade, Serbia.
University of Belgrade, Institute for the Application of Nuclear Energy - INEP, Belgrade, Serbia.
Virology. 2021 May;557:15-22. doi: 10.1016/j.virol.2021.01.004. Epub 2021 Feb 9.
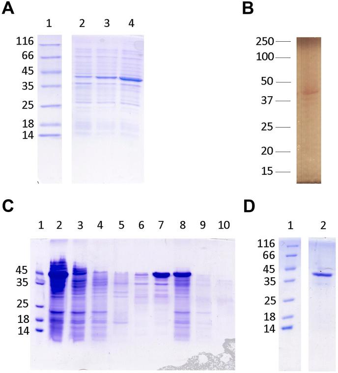
Serological testing is important method for diagnosis of severe acute respiratory syndrome coronavirus 2 (SARS-CoV-2) infection. Nucleocapsid (N) protein is the most abundant virus derived protein and strong immunogen. We aimed to find its efficient, low-cost production. SARS-CoV-2 recombinant fragment of nucleocapsid protein (rfNP; 58-419 aa) was expressed in E. coli in soluble form, purified and characterized biochemically and immunologically. Purified rfNP has secondary structure of full-length recombinant N protein, with high percentage of disordered structure (34.2%) and of β-sheet (40.7%). rfNP was tested in immunoblot using sera of COVID-19 convalescent patients. ELISA was optimized with sera of RT-PCR confirmed positive symptomatic patients and healthy individuals. IgG detection sensitivity was 96% (47/50) and specificity 97% (67/68), while IgM detection was slightly lower (94% and 96.5%, respectively). Cost-effective approach for soluble recombinant N protein fragment production was developed, with reliable IgG and IgM antibodies detection of SARS-CoV-2 infection.
血清学检测是诊断严重急性呼吸综合征冠状病毒 2(SARS-CoV-2)感染的重要方法。核衣壳(N)蛋白是最丰富的病毒衍生蛋白和强免疫原。我们旨在寻找其高效、低成本的生产方法。SARS-CoV-2 核衣壳蛋白(rfNP;58-419 aa)的重组片段在大肠杆菌中以可溶形式表达,通过生化和免疫方法进行纯化和特性分析。纯化的 rfNP 具有全长重组 N 蛋白的二级结构,具有较高比例的无规结构(34.2%)和β-折叠(40.7%)。使用 COVID-19 恢复期患者的血清在免疫印迹中测试了 rfNP。使用 RT-PCR 确诊的阳性症状患者和健康个体的血清对 ELISA 进行了优化。IgG 的检测灵敏度为 96%(47/50),特异性为 97%(67/68),而 IgM 的检测灵敏度略低(分别为 94%和 96.5%)。开发了一种用于可溶性重组 N 蛋白片段生产的具有成本效益的方法,可可靠地检测 SARS-CoV-2 感染的 IgG 和 IgM 抗体。