• 文献检索
  • 文档翻译
  • 深度研究
  • 学术资讯
  • Suppr Zotero 插件Zotero 插件
  • 邀请有礼
  • 套餐&价格
  • 历史记录
应用&插件
Suppr Zotero 插件Zotero 插件浏览器插件Mac 客户端Windows 客户端微信小程序
定价
高级版会员购买积分包购买API积分包
服务
文献检索文档翻译深度研究API 文档MCP 服务
关于我们
关于 Suppr公司介绍联系我们用户协议隐私条款
关注我们

Suppr 超能文献

核心技术专利:CN118964589B侵权必究
粤ICP备2023148730 号-1Suppr @ 2026

文献检索

告别复杂PubMed语法,用中文像聊天一样搜索,搜遍4000万医学文献。AI智能推荐,让科研检索更轻松。

立即免费搜索

文件翻译

保留排版,准确专业,支持PDF/Word/PPT等文件格式,支持 12+语言互译。

免费翻译文档

深度研究

AI帮你快速写综述,25分钟生成高质量综述,智能提取关键信息,辅助科研写作。

立即免费体验

巴基斯坦卡拉奇一家三级医疗医院的脊髓血管母细胞瘤:聚焦临床表现、诊断与治疗——一项回顾性病历审查

Spinal cord hemangioblastomas with a focus on clinical presentation, diagnosis, and treatment at a tertiary care hospital of Karachi, Pakistan: A retrospective chart review.

作者信息

Bukhari Syed Sarmad, Bari Muhammad Ehsan, Ahmad Zubair, Din Nasir Ud

机构信息

Department of Neurosurgery, Aga Khan University Hospital, Karachi, Sindh, Pakistan.

Department of Pathology and Laboratory Medicine, Aga Khan University Hospital, Karachi, Sindh, Pakistan.

出版信息

Surg Neurol Int. 2021 Jan 20;12:24. doi: 10.25259/SNI_477_2020. eCollection 2021.

DOI:10.25259/SNI_477_2020
PMID:33598340
原文链接:https://pmc.ncbi.nlm.nih.gov/articles/PMC7881500/
Abstract

BACKGROUND

Hemangioblastomas are benign neoplasms that consist of stromal cells and small blood vessels. They are highly vascular tumors and can arise throughout the central nervous system. This study aims to provide an overview of our experience with this rare tumor's presentation, radiology, histopathology, and outcomes as literature regarding this pathology is sparse from our country.

METHODS

The study is a retrospective review of cases that were histopathology proven cases of spinal cord hemangioblastomas. The clinical characteristics of these patients were examined, and their presentation was recorded. The radiology was also reviewed to describe classic appearance on magnetic resonance imaging. A detailed review of immunohistochemistry was also performed and outcome was described.

RESULTS

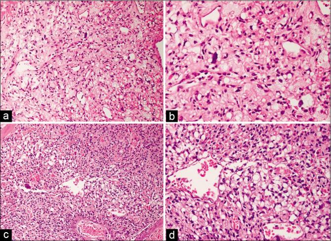
A total of 25 cases of spinal hemangioblastomas were found in our records in the period of 2001-2019. There were 20 males (80%) and only 5 female patients (20%). Gross tumor fragments ranged in size from 0.24 cm to 10.5 cm (mean 3.28 ± 2.65). Histologically, tumor was composed of nests of large stromal cells with clear to vacuolated cytoplasm separated by thin-walled capillaries. Focal intratumoral hemorrhage was noted. No significant cytological atypia or mitotic figures were noted. Immunohistochemical stains were performed to confirm the diagnosis and exclude other tumors. Inhibin was tested in 20 cases and it was positive in 16 cases (80%). Neuron-specific enolase was positive in 6/8 cases. Cluster of differentiation (CD) CD68 was positive in 6/6 cases and vimentin in 4/4 cases. Glial fibrillary acidic protein (GFAP) and epithelial membrane antigen were performed in 14 and 8 cases, respectively, and all were negative. Cytokeratin AE1/AE3 was negative in 13/13 cases. CD34 highlighted vasculature in the 8 cases in which it was performed and was negative in tumor cells. Follow-up was available in 17 out of 25 cases and ranged from 12 months to 216 months (mean 61.8 ± 60.6 months). Recurrence occurred in 2 out of 17 (11.7%) patients for whom follow-up information was available.

CONCLUSION

Our experience shows that spinal cord hemangioblastomas can be surgically removed in most cases with a low risk of recurrence. Most patients in our study were male and unlike other studies, none of our cases showed GFAP positivity.

摘要

背景

血管母细胞瘤是由基质细胞和小血管组成的良性肿瘤。它们是高度血管化的肿瘤,可发生于整个中枢神经系统。本研究旨在概述我们对这种罕见肿瘤的临床表现、放射学、组织病理学及治疗结果的经验,因为我国关于该病理学的文献较少。

方法

本研究是对经组织病理学证实的脊髓血管母细胞瘤病例的回顾性分析。检查这些患者的临床特征并记录其表现。还对放射学进行回顾以描述磁共振成像的典型表现。同时对免疫组织化学进行详细分析并描述治疗结果。

结果

在我们2001年至2019年的记录中,共发现25例脊髓血管母细胞瘤病例。其中男性20例(80%),女性仅5例(20%)。肿瘤大体标本大小从0.24厘米至10.5厘米不等(平均3.28±2.65厘米)。组织学上,肿瘤由大的基质细胞巢组成,胞质清亮至空泡状,被薄壁毛细血管分隔。可见局灶性瘤内出血。未发现明显的细胞学异型性或核分裂象。进行免疫组织化学染色以确诊并排除其他肿瘤。20例检测了抑制素,其中16例(80%)呈阳性。神经元特异性烯醇化酶在6/8例中呈阳性。分化簇(CD)CD68在6/6例中呈阳性,波形蛋白在4/4例中呈阳性。分别对14例和8例进行了胶质纤维酸性蛋白(GFAP)和上皮膜抗原检测,结果均为阴性。细胞角蛋白AE1/AE3在13/13例中呈阴性。8例进行CD34检测,其突出显示了血管系统,肿瘤细胞呈阴性。25例中有17例有随访资料,随访时间从12个月至216个月不等(平均61.8±60.6个月)。17例有随访信息的患者中有2例(11.7%)复发。

结论

我们的经验表明,大多数情况下脊髓血管母细胞瘤可通过手术切除,复发风险较低。我们研究中的大多数患者为男性,与其他研究不同的是,我们的病例均未显示GFAP阳性。

https://cdn.ncbi.nlm.nih.gov/pmc/blobs/9d17/7881500/8da76722a52f/SNI-12-24-g006.jpg
https://cdn.ncbi.nlm.nih.gov/pmc/blobs/9d17/7881500/a6becc2fb26f/SNI-12-24-g001.jpg
https://cdn.ncbi.nlm.nih.gov/pmc/blobs/9d17/7881500/fbc83a54c9ea/SNI-12-24-g002.jpg
https://cdn.ncbi.nlm.nih.gov/pmc/blobs/9d17/7881500/754cad6f1fe1/SNI-12-24-g003.jpg
https://cdn.ncbi.nlm.nih.gov/pmc/blobs/9d17/7881500/b479d7d644e6/SNI-12-24-g004.jpg
https://cdn.ncbi.nlm.nih.gov/pmc/blobs/9d17/7881500/071ae036cc29/SNI-12-24-g005.jpg
https://cdn.ncbi.nlm.nih.gov/pmc/blobs/9d17/7881500/8da76722a52f/SNI-12-24-g006.jpg
https://cdn.ncbi.nlm.nih.gov/pmc/blobs/9d17/7881500/a6becc2fb26f/SNI-12-24-g001.jpg
https://cdn.ncbi.nlm.nih.gov/pmc/blobs/9d17/7881500/fbc83a54c9ea/SNI-12-24-g002.jpg
https://cdn.ncbi.nlm.nih.gov/pmc/blobs/9d17/7881500/754cad6f1fe1/SNI-12-24-g003.jpg
https://cdn.ncbi.nlm.nih.gov/pmc/blobs/9d17/7881500/b479d7d644e6/SNI-12-24-g004.jpg
https://cdn.ncbi.nlm.nih.gov/pmc/blobs/9d17/7881500/071ae036cc29/SNI-12-24-g005.jpg
https://cdn.ncbi.nlm.nih.gov/pmc/blobs/9d17/7881500/8da76722a52f/SNI-12-24-g006.jpg

相似文献

1
Spinal cord hemangioblastomas with a focus on clinical presentation, diagnosis, and treatment at a tertiary care hospital of Karachi, Pakistan: A retrospective chart review.巴基斯坦卡拉奇一家三级医疗医院的脊髓血管母细胞瘤:聚焦临床表现、诊断与治疗——一项回顾性病历审查
Surg Neurol Int. 2021 Jan 20;12:24. doi: 10.25259/SNI_477_2020. eCollection 2021.
2
[Clinicopathologic study of von Hippel-Lindau syndrome-related and sporadic hemangioblastomas of central nervous system].[中枢神经系统与冯·希佩尔-林道综合征相关及散发性血管母细胞瘤的临床病理研究]
Zhonghua Bing Li Xue Za Zhi. 2010 Mar;39(3):145-50.
3
Peripheral hemangioblastoma: clinicopathologic characterization in a series of 22 cases.外周性血管母细胞瘤:22 例系列的临床病理特征。
Am J Surg Pathol. 2014 Jan;38(1):119-27. doi: 10.1097/PAS.0b013e3182a266c1.
4
Histomorphological spectrum and immunohistochemical characterization of hemangioblastomas: an entity of unclear histogenesis.血管母细胞瘤的组织形态学谱系及免疫组化特征:一种组织发生不明的实体。
Indian J Pathol Microbiol. 2014 Oct-Dec;57(4):542-8. doi: 10.4103/0377-4929.142645.
5
Sporadic and Von-Hippel Lindau disease-associated spinal hemangioblastomas: institutional experience on their similarities and differences.散发性和 Von-Hippel Lindau 病相关性脊髓血管母细胞瘤:机构经验对其相似性和差异性的分析。
J Neurooncol. 2019 Jul;143(3):547-552. doi: 10.1007/s11060-019-03189-w. Epub 2019 May 14.
6
The natural history of hemangioblastomas of the central nervous system in patients with von Hippel-Lindau disease.冯·希佩尔-林道病患者中枢神经系统血管母细胞瘤的自然病史。
J Neurosurg. 2003 Jan;98(1):82-94. doi: 10.3171/jns.2003.98.1.0082.
7
Sertoli cell tumors of the ovary: a clinicopathologic and immunohistochemical study of 54 cases.卵巢支持细胞瘤:54例临床病理及免疫组化研究
Am J Surg Pathol. 2005 Feb;29(2):143-56. doi: 10.1097/01.pas.0000149692.21205.9c.
8
Spinal cord hemangioblastomas: significance of intraoperative neurophysiological monitoring for resection and long-term outcome.脊髓血管母细胞瘤:术中神经生理监测对切除及长期预后的意义
J Neurosurg Spine. 2017 Apr;26(4):483-493. doi: 10.3171/2016.8.SPINE16595. Epub 2016 Dec 16.
9
PAX8 expression in sporadic hemangioblastoma of the kidney supports a primary renal cell lineage: implications for differential diagnosis.PAX8 在肾脏孤立性血管母细胞瘤中的表达支持其源于原发性肾细胞系:对鉴别诊断的意义。
Hum Pathol. 2013 Oct;44(10):2247-55. doi: 10.1016/j.humpath.2013.05.007. Epub 2013 Jul 10.
10
A spinal tumor showing mixed features of ependymoma and hemangioblastoma: a case report and literature review.脊髓肿瘤表现为室管膜瘤和血管母细胞瘤的混合特征:病例报告及文献复习。
Brain Tumor Pathol. 2015 Apr;32(2):112-8. doi: 10.1007/s10014-014-0208-y. Epub 2014 Dec 17.

本文引用的文献

1
Stereotactic radiosurgery versus surgical resection for spinal hemangioblastoma: A systematic review.立体定向放射外科与手术切除治疗脊髓血管母细胞瘤的系统评价。
Clin Neurol Neurosurg. 2017 Mar;154:59-66. doi: 10.1016/j.clineuro.2017.01.012. Epub 2017 Jan 18.
2
Incidence and Prognosis of Spinal Hemangioblastoma: A Surveillance Epidemiology and End Results Study.脊髓血管母细胞瘤的发病率与预后:一项监测、流行病学及最终结果研究
Neuroepidemiology. 2016;46(1):14-23. doi: 10.1159/000441147. Epub 2015 Nov 19.
3
Intraspinal hemangioblastomas: analysis of 92 cases in a single institution: clinical article.
椎管内血管母细胞瘤:单中心 92 例分析:临床文章。
J Neurosurg Spine. 2014 Aug;21(2):260-9. doi: 10.3171/2014.1.SPINE13866. Epub 2014 May 16.
4
Image-guided linear accelerator-based spinal radiosurgery for hemangioblastoma.基于图像引导直线加速器的成血管细胞瘤脊髓放射外科治疗
Surg Neurol Int. 2012;3:73. doi: 10.4103/2152-7806.98386. Epub 2012 Jul 14.
5
Differentiation of localization of spinal hemangioblastomas based on imaging and pathological findings.基于影像学和病理学表现对脊髓血管母细胞瘤的定位分化。
Eur Spine J. 2011 Aug;20(8):1377-84. doi: 10.1007/s00586-011-1814-6. Epub 2011 Apr 29.
6
Operative management of spinal hemangioblastoma.脊柱血管母细胞瘤的手术治疗。
Neurosurgery. 2009 Dec;65(6):1166-77. doi: 10.1227/01.NEU.0000359306.74674.C4.
7
Hemangioblastomas of the lower spinal region: report of four cases with preoperative embolization and review of the literature.下脊柱区域血管母细胞瘤:4例术前栓塞病例报告并文献复习
AJNR Am J Neuroradiol. 2005 Apr;26(4):936-45.
8
von Hippel-Lindau disease.冯·希佩尔-林道病
Lancet. 2003 Jun 14;361(9374):2059-67. doi: 10.1016/S0140-6736(03)13643-4.
9
Spinal cord hemangioblastoma: surgical strategy and clinical outcome.脊髓血管母细胞瘤:手术策略与临床结果
J Neurooncol. 2003 Jan;61(1):27-34. doi: 10.1023/a:1021297622944.
10
The natural history of hemangioblastomas of the central nervous system in patients with von Hippel-Lindau disease.冯·希佩尔-林道病患者中枢神经系统血管母细胞瘤的自然病史。
J Neurosurg. 2003 Jan;98(1):82-94. doi: 10.3171/jns.2003.98.1.0082.