Suppr超能文献

三例机械通气患者急性低氧性呼吸衰竭的支气管镜下冷冻治疗:病例系列

Bronchoscopic Cryotherapy for Acute Hypoxemic Respiratory Failure in Three Mechanically Ventilated Patients: A Case Series.

作者信息

Tale Sudheer, Meitei Soibam P, Prakash Vipul, Negi Arjun, Mishra Mayank, Sindhwani Girish

机构信息

Department of Pulmonary and Critical Care Medicine, All India Institute of Medical Sciences, Rishikesh, India.

Department of Pulmonary Medicine, All India Institute of Medical Sciences, Dehradun, Uttarakhand, India.

出版信息

Indian J Crit Care Med. 2021 Jan;25(1):94-96. doi: 10.5005/jp-journals-10071-23707.

Abstract

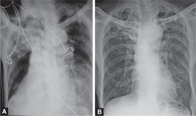
Endobronchial blood clots or mucus plugs can present with minimal symptoms or acute airway obstruction in the intensive care unit (ICU) patients. Acute airway obstruction can lead to rapid worsening of dyspnea owing to poor oxygenation due to collapse of the lung. Prompt recognition and treatment of this condition can translate into a successful outcome by decreasing morbidity and mortality and facilitating successful weaning of these patients. When conventional methods fail to relieve the obstruction, cryoextraction a novel technique, may prove to be a useful alternative for the removal of these clots and mucus plugs. Cryoextraction is best performed with rigid bronchoscopic intubation. However, in certain conditions, it may be used with a flexible fiberoptic bronchoscope (FOB) through an endotracheal tube, especially when bedside procedure is required in ICU patients. In this series, three cases are being discussed where bedside flexible bronchoscopy-guided cryoextraction was done leading to a successful resolution of acute hypoxemic respiratory failure. Tale S, Meitei SP, Prakash V, Negi A, Mishra M, Sindhwani G. Bronchoscopic Cryotherapy for Acute Hypoxemic Respiratory Failure in Three Mechanically Ventilated Patients: A Case Series. Indian J Crit Care Med 2021;25(1):94-96.

摘要

支气管内血凝块或黏液栓在重症监护病房(ICU)患者中可能表现为轻微症状或急性气道阻塞。急性气道阻塞可导致由于肺萎陷引起的氧合不良而使呼吸困难迅速加重。及时识别和治疗这种情况可通过降低发病率和死亡率并促进这些患者的成功脱机而带来成功的结果。当传统方法无法缓解阻塞时,冷冻提取这一新技术可能被证明是清除这些血凝块和黏液栓的有用替代方法。冷冻提取最好通过硬质支气管镜插管进行。然而,在某些情况下,它可通过气管内导管与可弯曲纤维支气管镜(FOB)一起使用,特别是在ICU患者需要床边操作时。在本系列中,讨论了3例床边可弯曲支气管镜引导下冷冻提取成功解决急性低氧性呼吸衰竭的病例。Tale S, Meitei SP, Prakash V, Negi A, Mishra M, Sindhwani G. 三名机械通气患者急性低氧性呼吸衰竭的支气管镜冷冻治疗:病例系列。《印度危重症医学杂志》2021年;25(1):94 - 96。

https://cdn.ncbi.nlm.nih.gov/pmc/blobs/c72e/7874292/04642ecf3ac2/ijccm-25-94-g001.jpg

文献AI研究员

20分钟写一篇综述,助力文献阅读效率提升50倍。

立即体验

用中文搜PubMed

大模型驱动的PubMed中文搜索引擎

马上搜索

文档翻译

学术文献翻译模型,支持多种主流文档格式。

立即体验