Suppr超能文献

Degos Disease (Malignant Atrophic Papulosis) With Granular IgM on Direct Immunofluorescence.

作者信息

Pukhalskaya Tatsiana, Stiegler Julia, Scott Glynis, Richardson Christopher T, Smoller Bruce

机构信息

Pathology, University of Rochester School of Medicine and Dentistry, Rochester, USA.

Dermatology, University of Rochester School of Medicine and Dentistry, Rochester, USA.

出版信息

Cureus. 2021 Jan 13;13(1):e12677. doi: 10.7759/cureus.12677.

Abstract

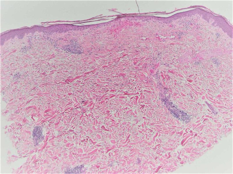
Degos disease is a rare vasculopathy characterized by skin papules with central porcelain white atrophy and a surrounding telangiectatic rim. Etiology of this condition is unknown. There are benign and systemic forms of the disease, and the latter may lead to fatality. Connective tissue diseases with Degos-like features have been described, and many authors speculate that Degos is not a specific entity but, rather, a distinctive pattern of disease that is the common endpoint of a variety of vascular insults. We describe the case of a 45-year-old female who presented with numerous red papules with sclerotic white centers and minimal systemic symptoms. Laboratory workup was notable for a negative autoimmune panel and hypercoagulation panel. Histopathology revealed epidermal atrophy, abundant dermal mucin, a perivascular lymphocytic infiltrate, interface inflammation, papillary dermal hemorrhage, and several small thrombi in the mid-to-superficial vessels. Direct immunofluorescence (DIF) showed strong granular immunoglobulin M (IgM) deposition at the dermal-epidermal junction. Based on the pathognomonic skin findings, persistently negative antinuclear antibody, lack of systemic signs of systemic lupus erythematosus, and characteristic hematoxylin and eosin findings, a diagnosis of Degos disease was rendered. In the fewer than 200 published cases of Degos disease, DIF findings have been conflicting and often negative. The DIF pattern of granular IgM is classically found in lupus erythematosus. To our knowledge, this is the first case of Degos disease reporting deposition of strong granular IgM on DIF. This case serves as additional evidence of the considerable clinical and histologic overlap between Degos disease and lupus erythematosus.

摘要
https://cdn.ncbi.nlm.nih.gov/pmc/blobs/148e/7880853/a49f0d4b7066/cureus-0013-00000012677-i01.jpg

文献AI研究员

20分钟写一篇综述,助力文献阅读效率提升50倍。

立即体验

用中文搜PubMed

大模型驱动的PubMed中文搜索引擎

马上搜索

文档翻译

学术文献翻译模型,支持多种主流文档格式。

立即体验