Suppr超能文献

Crouzon 综合征额眶前移术后严重球结膜水肿及处理:病例报告。

Severe chemosis and treatment following fronto-orbital advancement surgery for Crouzon syndrome: A case report.

机构信息

Department of Neurosurgery, Hunan Children's Hospital, Changsha, Hunan.

Department of Neurosurgery, Shanghai Jiaotong University School of Medicine, Shanghai Children's Medical Center, Shanghai.

出版信息

Medicine (Baltimore). 2021 Feb 19;100(7):e24693. doi: 10.1097/MD.0000000000024693.

Abstract

RATIONALE

Crouzon syndrome is a craniofacial malformation caused by premature fusion of fibrous sutures in infants. It is one of the most common craniosynostosis syndromes, and surgery is the only effective treatment for correcting it. Postoperative complications such as encephalocele, infections, hematoma have been reported. We herein report a case of a 62-month-old boy with Crouzon syndrome who underwent fronto-orbital advancing osteotomy, cranial vault remolding, and extensive osteotomy and subsequently developed left proptosis and severe chemosis, these complications are rare and we believe it will be of use to clinicians, physicians, and researchers alike.

PATIENT CONCERNS

The patient's skull had been malformed since birth, and he had been experiencing paroxysmal headaches coupled with vomiting for 4 months. Having never received prior treatment, he underwent fronto-orbital advancement at our clinic; afterward, left proptosis and severe chemosis occurred.

DIAGNOSIS

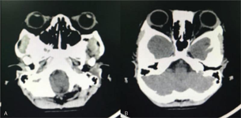
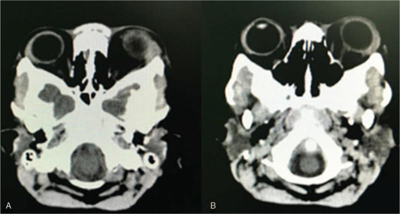
The patient was diagnosed with Crouzon syndrome, and the complications included left proptosis and severe chemosis, confirmed by the clinical manifestations, physical examination, and computed tomography (CT).

INTERVENTION

We carried out cranial vault remodeling and fronto-orbital advancement. We applied ophthalmic chlortetracycline ointment on the conjunctivae, elevated the patient's head, evacuated the hematoma, and carried out a left blepharorrhaphy.

OUTCOMES

The proptosis and chemosis resolved with no recurrence. No other complications occurred during the follow-up period (12 months), and CT scans revealed that the hematoma had disappeared. The calvarial vault reshaping was satisfactorily performed, and the patient's vision was not impaired.

LESSONS

Severe proptosis and chemosis are rare complications that can occur after fronto-orbital advancement for Crouzon syndrome. A detailed preoperative examination (including magnetic resonance imaging and CT) is essential for diagnosis. Complete hemostasis, evacuation of hematoma, and placement of a periorbital drainage tube during surgery all contribute to an effective treatment plan. An ophthalmic ointment should be administered, and the patient's head should be elevated during the procedure. Evacuation of retrobulbar epidural hematoma and blepharorrhaphy could also help relieve proptosis and chemosis. Our report describes 2 rare complications associated with the treatment for Crouzon syndrome, and we believe it will be of use to clinicians, physicians, and researchers alike.

摘要

背景

颅缝早闭症(Crouzon 综合征)是一种颅面部畸形,由婴儿期纤维性缝合过早融合引起。它是最常见的颅缝早闭综合征之一,手术是唯一有效的矫正方法。据报道,术后会出现脑膨出、感染、血肿等并发症。我们在此报告一例 62 个月大的 Crouzon 综合征患儿,行额眶前移截骨术、颅穹窿重塑术和广泛截骨术,术后出现左侧眼球突出和严重球结膜水肿,这些并发症较为罕见,我们认为这对临床医生、内科医生和研究人员都有帮助。

病例介绍

患儿自出生以来颅骨畸形,阵发性头痛伴呕吐 4 个月。患儿从未接受过治疗,在我院行额眶前移,术后出现左侧眼球突出和严重球结膜水肿。

诊断

患儿被诊断为 Crouzon 综合征,临床表现、体格检查和 CT 检查均提示存在左侧眼球突出和严重球结膜水肿等并发症。

治疗

行颅穹窿重塑和额眶前移。在球结膜应用四环素眼膏,抬高患者头部,清除血肿,并进行左侧眼睑成形术。

结果

眼球突出和球结膜水肿消退,无复发。随访期间(12 个月)无其他并发症发生,CT 扫描显示血肿已消失。颅骨穹窿重塑满意,患者视力未受损。

教训

严重的眼球突出和球结膜水肿是 Crouzon 综合征行额眶前移术后罕见的并发症。详细的术前检查(包括磁共振成像和 CT)对于诊断至关重要。术中彻底止血、清除血肿、放置眶周引流管有助于制定有效的治疗方案。术中应使用眼药膏,并抬高患者头部。清除眶内硬膜外血肿和眼睑成形术也有助于缓解眼球突出和球结膜水肿。我们报告了 2 例与 Crouzon 综合征治疗相关的罕见并发症,我们认为这对临床医生、内科医生和研究人员都有帮助。

https://cdn.ncbi.nlm.nih.gov/pmc/blobs/04e2/7899863/90718b2507ea/medi-100-e24693-g001.jpg

相似文献

1
Severe chemosis and treatment following fronto-orbital advancement surgery for Crouzon syndrome: A case report.
Medicine (Baltimore). 2021 Feb 19;100(7):e24693. doi: 10.1097/MD.0000000000024693.
2
Analysis of fronto-orbital advancement for Apert, Crouzon, Pfeiffer, and Saethre-Chotzen syndromes.
Plast Reconstr Surg. 2000 Jun;105(7):2314-23. doi: 10.1097/00006534-200006000-00002.
3
The value of the maxillo-malar osteotomy in the treatment of Crouzon syndrome with exorbitism.
Ann Plast Surg. 2008 Sep;61(3):285-9. doi: 10.1097/SAP.0b013e31815cbb3e.
4
First Vault Expansion in Apert and Crouzon-Pfeiffer Syndromes: Front or Back?
Plast Reconstr Surg. 2016 Jan;137(1):112e-121e. doi: 10.1097/PRS.0000000000001894.
7
Surgical treatment of isolated and syndromic craniosynostosis. Results and complications in 283 consecutive cases.
Neurocirugia (Astur). 2008 Dec;19(6):509-29. doi: 10.1016/s1130-1473(08)70201-x.
8
Preoperative and postoperative orbital volume in patients with Crouzon and Apert syndrome.
J Craniofac Surg. 2013 Jan;24(1):191-4. doi: 10.1097/SCS.0b013e3182668581.
9
Orbitofrontal monobloc advancement for Crouzon syndrome.
J Craniomaxillofac Surg. 2014 Sep;42(6):e335-8. doi: 10.1016/j.jcms.2014.01.030. Epub 2014 Jan 18.

引用本文的文献

1
Targeted allele-specific knockdown human recombinant ferritin nanoparticles for personalized treatment of Crouzon syndrome.
Mol Ther Nucleic Acids. 2024 Dec 12;36(1):102427. doi: 10.1016/j.omtn.2024.102427. eCollection 2025 Mar 11.
2
Unexpected massive bleeding during the modified LeFort III advancement surgery for Crouzon syndrome: A case report.
Clin Case Rep. 2024 Jun 26;12(7):e9001. doi: 10.1002/ccr3.9001. eCollection 2024 Jul.

文献AI研究员

20分钟写一篇综述,助力文献阅读效率提升50倍。

立即体验

用中文搜PubMed

大模型驱动的PubMed中文搜索引擎

马上搜索

文档翻译

学术文献翻译模型,支持多种主流文档格式。

立即体验