Jenson Matthew, Forshee William A, Padilla Rebekah M, Wynn Gregory
Radiology, University of Florida College of Medicine, Jacksonville, USA.
Cureus. 2021 Jan 15;13(1):e12717. doi: 10.7759/cureus.12717.
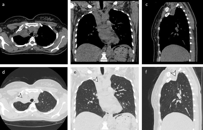
Pulmonary tuberculosis is common worldwide, and many of these patients develop endobronchial tuberculosis (EBTB). Bronchostenosis is a known complication of EBTB though most patients with endobronchial stenosis do not develop severe bronchostenosis or occlusion. We present a rare case of a patient with a right upper lobe bronchus occlusion and a history of tuberculosis.
肺结核在全球范围内都很常见,其中许多患者会发展为支气管内膜结核(EBTB)。支气管狭窄是EBTB的一种已知并发症,尽管大多数支气管内膜狭窄患者不会发展为严重的支气管狭窄或阻塞。我们报告一例罕见病例,该患者右肺上叶支气管闭塞且有结核病史。