Suppr超能文献

原发性第三脑室乳头型颅咽管瘤:5例报告及文献复习

Intrinsic Third Ventricular Papillary Craniopharyngioma: A Report of Five Cases and Literature Review.

作者信息

Hung Nguyen Duy, Ngan Vuong Kim, Duc Nguyen Minh

机构信息

Department of Radiology, Hanoi Medical University, Hanoi, Vietnam.

Department of Radiology, Viet Duc Hospital, Hanoi, Vietnam.

出版信息

Int Med Case Rep J. 2021 Feb 15;14:83-87. doi: 10.2147/IMCRJ.S295848. eCollection 2021.

Abstract

BACKGROUND

Craniopharyngiomas are common lesions that occur in the suprasellar region; however, strictly intrinsic third ventricular craniopharyngiomas are rare.

CASE SERIES

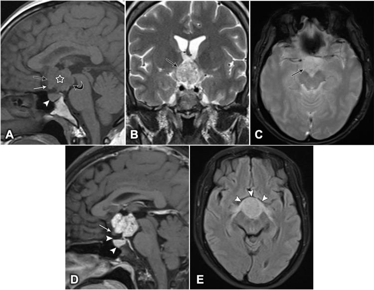
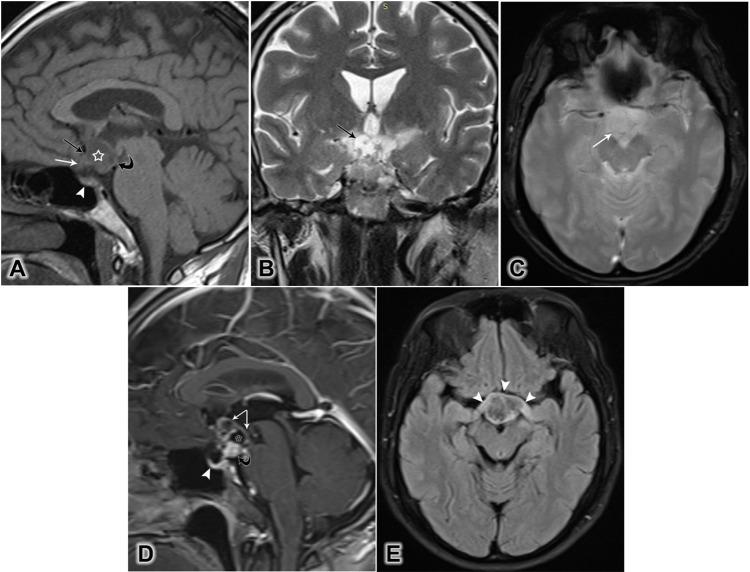
We aimed to describe the magnetic resonance imaging features observed in five cases of strictly intrinsic third ventricular papillary craniopharyngiomas, including two cases of mixed cystic and solid tumors and three cases of pure solid masses.

CONCLUSION

Among the adult population, intrinsic third ventricular papillary craniopharyngiomas should be considered when either solid or mixed cystic and solid masses are observed, in which the solid component shows heterogeneous intensity, heterogeneous and strong enhancement, and is strictly located in the third ventricle.

摘要

背景

颅咽管瘤是发生于鞍上区域的常见病变;然而,严格意义上的第三脑室内颅咽管瘤较为罕见。

病例系列

我们旨在描述5例严格意义上的第三脑室内乳头状颅咽管瘤的磁共振成像特征,其中包括2例囊实性混合肿瘤和3例纯实性肿块。

结论

在成人中,当观察到实性或囊实性混合肿块,且实性成分表现为不均匀信号强度、不均匀且明显强化,并严格位于第三脑室内时,应考虑第三脑室内原发性乳头状颅咽管瘤。

https://cdn.ncbi.nlm.nih.gov/pmc/blobs/9afb/7894859/1479c4c39b8d/IMCRJ-14-83-g0001.jpg

相似文献

1
Intrinsic Third Ventricular Papillary Craniopharyngioma: A Report of Five Cases and Literature Review.
Int Med Case Rep J. 2021 Feb 15;14:83-87. doi: 10.2147/IMCRJ.S295848. eCollection 2021.
2
Duct-like Recess in the Infundibular Portion of Third Ventricle Craniopharyngiomas: An MRI Sign Identifying the Papillary Type.
AJNR Am J Neuroradiol. 2022 Sep;43(9):1333-1340. doi: 10.3174/ajnr.A7602. Epub 2022 Aug 11.
3
Intrinsic third ventricular craniopharyngiomas: report on six cases and a review of the literature.
Surg Neurol. 2003 Sep;60(3):245-52; discussion 252-3. doi: 10.1016/s0090-3019(03)00132-0.
5
Intrinsic third ventricle craniopharyngiomas with normal pressure hydrocephalus.
Neurochirurgia (Stuttg). 1980 May;23(3):80-8. doi: 10.1055/s-2008-1053866.
8
Pretreatment diagnosis of suprasellar papillary craniopharyngioma and germ cell tumors of adult patients.
AJNR Am J Neuroradiol. 2015 Mar;36(3):508-17. doi: 10.3174/ajnr.A4142. Epub 2014 Oct 22.
9
A rare case of giant cystic adamantinomatous craniopharyngioma in an adult.
Radiol Case Rep. 2020 Apr 30;15(7):846-849. doi: 10.1016/j.radcr.2020.04.022. eCollection 2020 Jul.
10
BRAF V600E mutant papillary craniopharyngiomas: a single-institutional case series.
Pituitary. 2018 Dec;21(6):571-583. doi: 10.1007/s11102-018-0909-z.

本文引用的文献

1
Craniopharyngiomas in children - experience of consecutive 152 operated cases.
Acta Endocrinol (Buchar). 2020 Jan-Mar;16(1):103-109. doi: 10.4183/aeb.2020.103.
2
Third Ventricular Tumors: A Comprehensive Literature Review.
Cureus. 2018 Oct 5;10(10):e3417. doi: 10.7759/cureus.3417.
3
Topographic Diagnosis of Craniopharyngiomas: The Accuracy of MRI Findings Observed on Conventional T1 and T2 Images.
AJNR Am J Neuroradiol. 2017 Nov;38(11):2073-2080. doi: 10.3174/ajnr.A5361. Epub 2017 Sep 21.
4
Third ventricular craniopharyngioma.
Neurol India. 2016 Jul-Aug;64(4):834-5. doi: 10.4103/0028-3886.185370.
5
Operative outcomes and adjuvant treatment of purely third ventricle craniopharyngioma after a transcallosal approach.
Br J Neurosurg. 2012 Jun;26(3):355-60. doi: 10.3109/02688697.2011.631615. Epub 2011 Nov 21.
7
Intraventricular craniopharyngioma: morphological analysis and outcome evaluation of 17 cases.
Acta Neurochir (Wien). 2011 Apr;153(4):773-84. doi: 10.1007/s00701-010-0938-5. Epub 2011 Jan 27.
10
Intraventricular craniopharyngiomas: topographical classification and surgical approach selection based on an extensive overview.
Acta Neurochir (Wien). 2004 Aug;146(8):785-802. doi: 10.1007/s00701-004-0295-3. Epub 2004 Jun 7.

文献AI研究员

20分钟写一篇综述,助力文献阅读效率提升50倍。

立即体验

用中文搜PubMed

大模型驱动的PubMed中文搜索引擎

马上搜索

文档翻译

学术文献翻译模型,支持多种主流文档格式。

立即体验