• 文献检索
  • 文档翻译
  • 深度研究
  • 学术资讯
  • Suppr Zotero 插件Zotero 插件
  • 邀请有礼
  • 套餐&价格
  • 历史记录
应用&插件
Suppr Zotero 插件Zotero 插件浏览器插件Mac 客户端Windows 客户端微信小程序
定价
高级版会员购买积分包购买API积分包
服务
文献检索文档翻译深度研究API 文档MCP 服务
关于我们
关于 Suppr公司介绍联系我们用户协议隐私条款
关注我们

Suppr 超能文献

核心技术专利:CN118964589B侵权必究
粤ICP备2023148730 号-1Suppr @ 2026

文献检索

告别复杂PubMed语法,用中文像聊天一样搜索,搜遍4000万医学文献。AI智能推荐,让科研检索更轻松。

立即免费搜索

文件翻译

保留排版,准确专业,支持PDF/Word/PPT等文件格式,支持 12+语言互译。

免费翻译文档

深度研究

AI帮你快速写综述,25分钟生成高质量综述,智能提取关键信息,辅助科研写作。

立即免费体验

复发性库欣病患者的三次成功妊娠

Three Successful Pregnancies in a Patient with Recurrent Cushing's Disease.

作者信息

Benothman W, Saad G, Kacem M, Ach K

机构信息

Endocrinology Unit, Department of Endocrinology, Farhat Hached University Hospital, Avenue Ibn El Jazzar, Sousse 4000, Tunisia.

出版信息

Case Rep Endocrinol. 2021 Feb 13;2021:5517303. doi: 10.1155/2021/5517303. eCollection 2021.

DOI:10.1155/2021/5517303
PMID:33628528
原文链接:https://pmc.ncbi.nlm.nih.gov/articles/PMC7899752/
Abstract

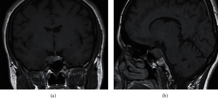
The association of pregnancy and Cushing's disease (CD) is rare. A 28-year-old woman was admitted for clinical suspicion of Cushing's syndrome. The investigations confirmed the diagnosis of CD with secondary hypogonadotropic hypogonadism due to an invasive pituitary macroadenoma. The patient underwent transsphenoidal adenomectomy, and histopathology showed an adrenocorticotropic hormone pituitary adenoma. Initial remission of CD ensued, and fertility was restored as the patient had 2 uncomplicated pregnancies. Five years and 10 months after surgery, a third spontaneous pregnancy was confirmed with underlying recurrent CD. Having mild hypercortisolism, CD was managed expectantly. The outcome was a healthy full-term neonate with no maternal complications during pregnancy or labor. Our case highlights the challenge faced by physicians of choosing the optimal approach to active CD in pregnancy. In cases where maternal and fetal complications are mild, conservative approach may be used and specific treatment can be postponed until after delivery.

摘要

妊娠与库欣病(CD)的关联较为罕见。一名28岁女性因临床怀疑库欣综合征入院。检查确诊为CD,伴有因侵袭性垂体大腺瘤导致的继发性低促性腺激素性性腺功能减退。患者接受了经蝶窦腺瘤切除术,组织病理学显示为促肾上腺皮质激素垂体腺瘤。CD最初缓解,患者恢复生育能力并顺利经历了2次妊娠。术后5年10个月,确诊第三次自然妊娠合并复发性CD。鉴于存在轻度皮质醇增多症,对CD采取了观察等待的处理方式。结果是产下一名健康的足月新生儿,孕期及分娩过程中未出现母体并发症。我们的病例凸显了医生在为孕期活动性CD选择最佳治疗方法时面临的挑战。在母婴并发症较轻的情况下,可采用保守方法,将特定治疗推迟至分娩后进行。

https://cdn.ncbi.nlm.nih.gov/pmc/blobs/b39f/7899752/a707a01dc28b/CRIE2021-5517303.003.jpg
https://cdn.ncbi.nlm.nih.gov/pmc/blobs/b39f/7899752/77e46ff66d83/CRIE2021-5517303.001.jpg
https://cdn.ncbi.nlm.nih.gov/pmc/blobs/b39f/7899752/3a84440e7501/CRIE2021-5517303.002.jpg
https://cdn.ncbi.nlm.nih.gov/pmc/blobs/b39f/7899752/a707a01dc28b/CRIE2021-5517303.003.jpg
https://cdn.ncbi.nlm.nih.gov/pmc/blobs/b39f/7899752/77e46ff66d83/CRIE2021-5517303.001.jpg
https://cdn.ncbi.nlm.nih.gov/pmc/blobs/b39f/7899752/3a84440e7501/CRIE2021-5517303.002.jpg
https://cdn.ncbi.nlm.nih.gov/pmc/blobs/b39f/7899752/a707a01dc28b/CRIE2021-5517303.003.jpg

相似文献

1
Three Successful Pregnancies in a Patient with Recurrent Cushing's Disease.复发性库欣病患者的三次成功妊娠
Case Rep Endocrinol. 2021 Feb 13;2021:5517303. doi: 10.1155/2021/5517303. eCollection 2021.
2
Repeat transsphenoidal surgery for Cushing's disease.库欣病的经蝶窦重复手术
J Neurosurg. 1989 Oct;71(4):520-7. doi: 10.3171/jns.1989.71.4.0520.
3
Surgical management of recurrent Cushing's disease in pregnancy: A case report.妊娠复发性库欣病的外科治疗:一例报告。
Surg Neurol Int. 2015 Nov 25;6(Suppl 25):S640-5. doi: 10.4103/2152-7806.170472. eCollection 2015.
4
UNCOMPLICATED PREGNANCY IN A PATIENT WITH CUSHING'S DISEASE.库欣病患者的单纯妊娠
Acta Endocrinol (Buchar). 2017 Apr-Jun;13(2):215-219. doi: 10.4183/aeb.2017.215.
5
Rapidly progressive ACTH-dependent Cushing's disease masquerading as ectopic ACTH-producing Cushing's syndrome: illustrative case.迅速进展的促肾上腺皮质激素(ACTH)依赖性库欣病伪装成异位促肾上腺皮质激素分泌性库欣综合征:病例说明
J Neurosurg Case Lessons. 2021 Jul 5;2(1):CASE21151. doi: 10.3171/CASE21151.
6
Cabergoline treatment for recurrent Cushing's disease during pregnancy.卡麦角林治疗妊娠期复发性库欣病。
Hormones (Athens). 2016 Jul;15(3):453-458. doi: 10.14310/horm.2002.1685.
7
Cushing's disease and pregnancy: case report and literature review.库欣病与妊娠:病例报告及文献综述
Endocr Pract. 2007 May-Jun;13(3):296-9. doi: 10.4158/EP.13.3.296.
8
Acquired prolactin deficiency (APD) after treatment for Cushing's disease is a reliable marker of irreversible severe GHD but does not reflect disease status.库欣病治疗后获得性催乳素缺乏(APD)是不可逆性严重生长激素缺乏(GHD)的可靠标志物,但不能反映疾病状态。
Clin Endocrinol (Oxf). 2004 Apr;60(4):476-83. doi: 10.1111/j.1365-2265.2004.02004.x.
9
Intracavernous sinus ectopic adrenocorticotropin-secreting tumours causing therapeutic failure in transsphenoidal surgery for Cushing's disease.海绵窦内异位促肾上腺皮质激素分泌肿瘤导致库欣病经蝶窦手术治疗失败
Acta Neurochir (Wien). 2000;142(8):855-64. doi: 10.1007/s007010070070.
10
Cushing's disease: current medical therapies and molecular insights guiding future therapies.库欣病:当前的医学治疗方法及指导未来治疗的分子见解。
Neurosurg Focus. 2015 Feb;38(2):E11. doi: 10.3171/2014.10.FOCUS14700.

本文引用的文献

1
The Incidence of Pregnancy-Associated Cushing's Disease and Its Relation to Pregnancy: A Retrospective Study.妊娠相关库欣病的发病率及其与妊娠的关系:一项回顾性研究。
Front Endocrinol (Lausanne). 2020 May 29;11:305. doi: 10.3389/fendo.2020.00305. eCollection 2020.
2
Pregnancy during the course of Cushing's syndrome: a case report and literature review.库欣综合征病程中的妊娠:一例病例报告及文献综述
Endocrinol Diabetes Metab Case Rep. 2020 Apr 12;2020. doi: 10.1530/EDM-20-0022.
3
A successful pregnancy in a patient with secondary hypertension caused by adrenal adenoma: a case report.
继发于肾上腺腺瘤的继发性高血压患者成功妊娠:病例报告。
BMC Pregnancy Childbirth. 2019 Apr 3;19(1):116. doi: 10.1186/s12884-019-2262-2.
4
Surgery for Cushing's disease in pregnancy: our experience and a literature review.妊娠期库欣病的手术治疗:我们的经验及文献综述
Ann R Coll Surg Engl. 2019 Jan;101(1):e26-e31. doi: 10.1308/rcsann.2018.0175. Epub 2018 Oct 5.
5
Pregnancy-associated Cushing's disease? An exploratory retrospective study.妊娠相关库欣病?一项探索性回顾性研究。
Pituitary. 2018 Dec;21(6):584-592. doi: 10.1007/s11102-018-0910-6.
6
MANAGEMENT OF ENDOCRINE DISEASE: Management of Cushing's syndrome during pregnancy: solved and unsolved questions.内分泌疾病管理:妊娠期间库欣综合征的管理:已解决和未解决的问题。
Eur J Endocrinol. 2018 Jun;178(6):R259-R266. doi: 10.1530/EJE-17-1058. Epub 2018 Mar 9.
7
Adrenal Cushing's syndrome during pregnancy.妊娠期库欣综合征。
Eur J Endocrinol. 2017 Nov;177(5):K13-K20. doi: 10.1530/EJE-17-0263. Epub 2017 Aug 17.
8
Cushing's syndrome and pregnancy outcomes: a systematic review of published cases.库欣综合征与妊娠结局:已发表病例的系统评价
Endocrine. 2017 Feb;55(2):555-563. doi: 10.1007/s12020-016-1117-0. Epub 2016 Oct 4.
9
Cabergoline treatment for recurrent Cushing's disease during pregnancy.卡麦角林治疗妊娠期复发性库欣病。
Hormones (Athens). 2016 Jul;15(3):453-458. doi: 10.14310/horm.2002.1685.
10
How to diagnose and manage Cushing's disease during pregnancy, when hypercortisolism is mild?如何在怀孕期间诊断和管理皮质醇增多症,当皮质醇增多症较轻时?
Gynecol Endocrinol. 2012 Aug;28(8):637-9. doi: 10.3109/09513590.2011.650762. Epub 2012 Feb 6.