• 文献检索
  • 文档翻译
  • 深度研究
  • 学术资讯
  • Suppr Zotero 插件Zotero 插件
  • 邀请有礼
  • 套餐&价格
  • 历史记录
应用&插件
Suppr Zotero 插件Zotero 插件浏览器插件Mac 客户端Windows 客户端微信小程序
定价
高级版会员购买积分包购买API积分包
服务
文献检索文档翻译深度研究API 文档MCP 服务
关于我们
关于 Suppr公司介绍联系我们用户协议隐私条款
关注我们

Suppr 超能文献

核心技术专利:CN118964589B侵权必究
粤ICP备2023148730 号-1Suppr @ 2026

文献检索

告别复杂PubMed语法,用中文像聊天一样搜索,搜遍4000万医学文献。AI智能推荐,让科研检索更轻松。

立即免费搜索

文件翻译

保留排版,准确专业,支持PDF/Word/PPT等文件格式,支持 12+语言互译。

免费翻译文档

深度研究

AI帮你快速写综述,25分钟生成高质量综述,智能提取关键信息,辅助科研写作。

立即免费体验

自发性冠状动脉夹层:年轻男性ST段抬高型心肌梗死的罕见病因。

Spontaneous Coronary Artery Dissection: An Unusual Cause of ST-Elevation Myocardial Infarction in Young Males.

作者信息

Rahman Tanvir, Moghadam Reihaneh, Rinder Morton

机构信息

Internal Medicine, St Luke's Hospital, Chesterfield, USA.

Internal Medicine, St. Luke's Hospital, Chesterfield, USA.

出版信息

Cureus. 2021 Jan 20;13(1):e12827. doi: 10.7759/cureus.12827.

DOI:10.7759/cureus.12827
PMID:33628690
原文链接:https://pmc.ncbi.nlm.nih.gov/articles/PMC7895732/
Abstract

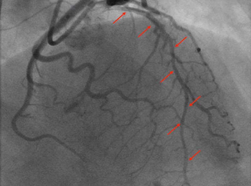
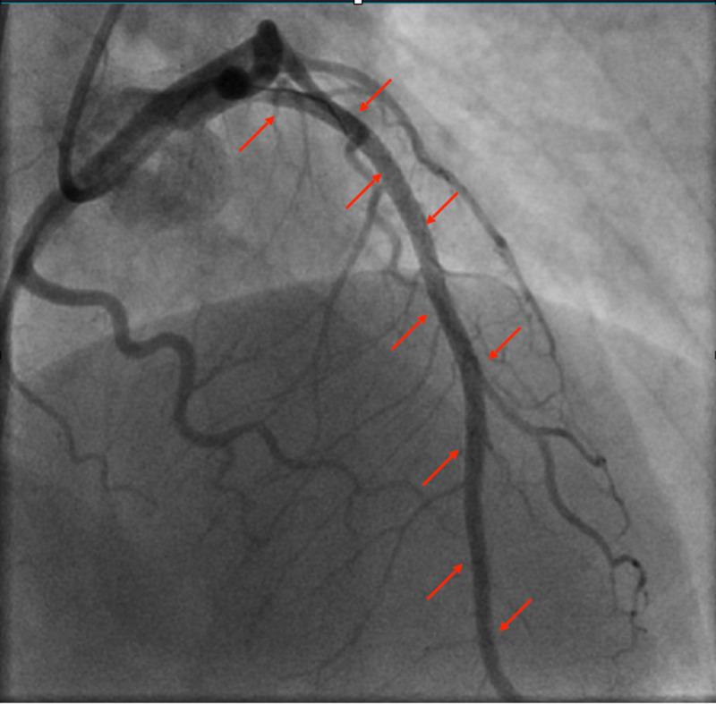
Spontaneous coronary artery dissection (SCAD) is a non-traumatic, non-iatrogenic, and non-atherosclerotic coronary artery disorder that manifests clinically as an acute coronary syndrome (ACS), arrhythmia, or sudden cardiac death (SCD). It is a rare cause of ACS (1.7-4%) and SCD (0.5%), more commonly in women than men. It is rarely reported in males. We report a case of acute ST-elevation myocardial infarction (STEMI) due to SCAD in a 44-year-old healthy male.

摘要

自发性冠状动脉夹层(SCAD)是一种非创伤性、非医源性且非动脉粥样硬化性的冠状动脉疾病,临床上表现为急性冠状动脉综合征(ACS)、心律失常或心源性猝死(SCD)。它是ACS(1.7 - 4%)和SCD(0.5%)的罕见病因,女性比男性更常见。男性中鲜有报道。我们报告一例44岁健康男性因SCAD导致的急性ST段抬高型心肌梗死(STEMI)病例。

https://cdn.ncbi.nlm.nih.gov/pmc/blobs/91ed/7895732/a96f4d4c7900/cureus-0013-00000012827-i05.jpg
https://cdn.ncbi.nlm.nih.gov/pmc/blobs/91ed/7895732/9db9eb5cfcb4/cureus-0013-00000012827-i01.jpg
https://cdn.ncbi.nlm.nih.gov/pmc/blobs/91ed/7895732/2e60eb9eda44/cureus-0013-00000012827-i02.jpg
https://cdn.ncbi.nlm.nih.gov/pmc/blobs/91ed/7895732/bdd3ec411285/cureus-0013-00000012827-i03.jpg
https://cdn.ncbi.nlm.nih.gov/pmc/blobs/91ed/7895732/43847d60577f/cureus-0013-00000012827-i04.jpg
https://cdn.ncbi.nlm.nih.gov/pmc/blobs/91ed/7895732/a96f4d4c7900/cureus-0013-00000012827-i05.jpg
https://cdn.ncbi.nlm.nih.gov/pmc/blobs/91ed/7895732/9db9eb5cfcb4/cureus-0013-00000012827-i01.jpg
https://cdn.ncbi.nlm.nih.gov/pmc/blobs/91ed/7895732/2e60eb9eda44/cureus-0013-00000012827-i02.jpg
https://cdn.ncbi.nlm.nih.gov/pmc/blobs/91ed/7895732/bdd3ec411285/cureus-0013-00000012827-i03.jpg
https://cdn.ncbi.nlm.nih.gov/pmc/blobs/91ed/7895732/43847d60577f/cureus-0013-00000012827-i04.jpg
https://cdn.ncbi.nlm.nih.gov/pmc/blobs/91ed/7895732/a96f4d4c7900/cureus-0013-00000012827-i05.jpg

相似文献

1
Spontaneous Coronary Artery Dissection: An Unusual Cause of ST-Elevation Myocardial Infarction in Young Males.自发性冠状动脉夹层:年轻男性ST段抬高型心肌梗死的罕见病因。
Cureus. 2021 Jan 20;13(1):e12827. doi: 10.7759/cureus.12827.
2
Pill to Pain: First Case of Topiramate-Induced Chronic Spontaneous Coronary Artery Dissection (SCAD).药丸致痛:首例托吡酯诱发的慢性自发性冠状动脉夹层(SCAD)
Cureus. 2021 Feb 10;13(2):e13263. doi: 10.7759/cureus.13263.
3
Successful coronary intervention for spontaneous coronary dissection in a patient with fibromuscular dysplasia.纤维肌性发育异常患者自发性冠状动脉夹层的成功冠状动脉介入治疗。
J Cardiol Cases. 2013 Oct 2;8(5):158-160. doi: 10.1016/j.jccase.2013.07.011. eCollection 2013 Nov.
4
Successful Percutaneous Coronary Intervention in a Patient With aVR ST-Segment Elevation Myocardial Infarction Due to Spontaneous Atherosclerotic Coronary Artery Dissection.自发性动脉粥样硬化性冠状动脉夹层导致的aVR导联ST段抬高型心肌梗死患者经皮冠状动脉介入治疗成功
Cureus. 2021 Nov 13;13(11):e19545. doi: 10.7759/cureus.19545. eCollection 2021 Nov.
5
Saved by Menorrhagia: Spontaneous Coronary Artery Dissection Complicated With a Left Ventricular Thrombus.月经过多挽救生命:自发性冠状动脉夹层并发左心室血栓
Cureus. 2023 Oct 25;15(10):e47623. doi: 10.7759/cureus.47623. eCollection 2023 Oct.
6
A Non-atherosclerotic Heart Tears Apart: A Case of Spontaneous Coronary Artery Dissection in a Healthy Postmenopausal Woman.一颗非动脉粥样硬化的心脏破裂:一例健康绝经后女性自发性冠状动脉夹层病例。
Cureus. 2022 May 29;14(5):e25459. doi: 10.7759/cureus.25459. eCollection 2022 May.
7
Revascularization in Patients With Spontaneous Coronary Artery Dissection and ST-Segment Elevation Myocardial Infarction.自发性冠状动脉夹层合并 ST 段抬高型心肌梗死患者的血运重建。
J Am Coll Cardiol. 2019 Sep 10;74(10):1290-1300. doi: 10.1016/j.jacc.2019.06.065.
8
Spontaneous Coronary Arterial Dissection in a Young Female in the Postpartum Period: A Case Report From Sub-Saharan Africa.一名撒哈拉以南非洲地区年轻产后女性的自发性冠状动脉夹层:病例报告
Cureus. 2023 May 25;15(5):e39507. doi: 10.7759/cureus.39507. eCollection 2023 May.
9
Spontaneous Coronary Artery Dissection in Young Patients: A Case Series and Review of Current Management Algorithm.年轻患者自发性冠状动脉夹层:病例系列及当前管理算法综述
Cureus. 2023 May 23;15(5):e39393. doi: 10.7759/cureus.39393. eCollection 2023 May.
10
Spontaneous Coronary Artery Dissection in Patients With Fibromuscular Dysplasia.纤维肌发育不良患者的自发性冠状动脉夹层
Cureus. 2021 Mar 4;13(3):e13696. doi: 10.7759/cureus.13696.

引用本文的文献

1
Spontaneous coronary artery dissection in patients with prior psychophysical stress: a systematic review of case reports and case series.既往精神心理应激患者的自发性冠状动脉夹层:病例报告和病例系列的系统评价。
BMC Cardiovasc Disord. 2024 May 3;24(1):235. doi: 10.1186/s12872-024-03902-2.

本文引用的文献

1
Revascularization in Patients With Spontaneous Coronary Artery Dissection and ST-Segment Elevation Myocardial Infarction.自发性冠状动脉夹层合并 ST 段抬高型心肌梗死患者的血运重建。
J Am Coll Cardiol. 2019 Sep 10;74(10):1290-1300. doi: 10.1016/j.jacc.2019.06.065.
2
Spontaneous Coronary Artery Dissection: Current State of the Science: A Scientific Statement From the American Heart Association.自发性冠状动脉夹层:科学现状:美国心脏协会的科学声明。
Circulation. 2018 May 8;137(19):e523-e557. doi: 10.1161/CIR.0000000000000564. Epub 2018 Feb 22.
3
Spontaneous coronary artery dissection: Case series and review of literature.
自发性冠状动脉夹层:病例系列及文献综述
Indian Heart J. 2016 Jul-Aug;68(4):480-5. doi: 10.1016/j.ihj.2015.11.039. Epub 2016 Jan 12.
4
Pre-Disposing and Precipitating Factors in Men With Spontaneous Coronary Artery Dissection.男性自发性冠状动脉夹层的易感因素和诱发因素
JACC Cardiovasc Interv. 2016 Apr 25;9(8):866-868. doi: 10.1016/j.jcin.2016.02.024.
5
Prognostic impact of spontaneous coronary artery dissection in young female patients with acute myocardial infarction: A report from the Angina Pectoris-Myocardial Infarction Multicenter Investigators in Japan.年轻女性急性心肌梗死患者自发性冠状动脉夹层的预后影响:来自日本心绞痛-心肌梗死多中心研究者的报告
Int J Cardiol. 2016 Mar 15;207:341-8. doi: 10.1016/j.ijcard.2016.01.188. Epub 2016 Jan 14.
6
Spontaneous Coronary Artery Dissection: Angiographic Follow-Up and Long-Term Clinical Outcome in a Predominantly Medically Treated Population.自发性冠状动脉夹层:以药物治疗为主的人群中的血管造影随访及长期临床结局
Catheter Cardiovasc Interv. 2017 Jan;89(1):59-68. doi: 10.1002/ccd.26383. Epub 2015 Dec 28.
7
Angiographic appearance of spontaneous coronary artery dissection with intramural hematoma proven on intracoronary imaging.经冠状动脉内成像证实为壁内血肿的自发性冠状动脉夹层的血管造影表现。
Catheter Cardiovasc Interv. 2016 Feb 1;87(2):E54-61. doi: 10.1002/ccd.26022. Epub 2015 Jul 21.
8
Prevalence of extracoronary vascular abnormalities and fibromuscular dysplasia in patients with spontaneous coronary artery dissection.自发性冠状动脉夹层患者的冠状动脉外血管异常和纤维肌发育不良的患病率
Am J Cardiol. 2015 Jun 15;115(12):1672-7. doi: 10.1016/j.amjcard.2015.03.011. Epub 2015 Mar 23.
9
Spontaneous coronary artery dissection: revascularization versus conservative therapy.自发性冠状动脉夹层:血运重建与保守治疗。
Circ Cardiovasc Interv. 2014 Dec;7(6):777-86. doi: 10.1161/CIRCINTERVENTIONS.114.001659. Epub 2014 Nov 18.
10
Prevalence of spontaneous coronary artery dissection in patients with acute coronary syndrome.急性冠状动脉综合征患者自发性冠状动脉夹层的患病率。
Eur Heart J Acute Cardiovasc Care. 2016 Jun;5(3):263-70. doi: 10.1177/2048872613504310. Epub 2013 Sep 11.