Suppr超能文献

伪装成坏死性溃疡性牙周炎的牙龈鳞状细胞癌。

Gingival squamous cell carcinoma masquerading as necrotizing ulcerative periodontitis.

作者信息

Khan Saif, Akhtar Kafil, Ahad Abdul, Uppal Jaiti

机构信息

Department of Periodontics, Dr. Ziauddin Ahmad Dental College, Aligarh, Uttar Pradesh, India.

Department of Pathology, J N Medical College, Faculty of Medicine, Aligarh Muslim University, Aligarh, Uttar Pradesh, India.

出版信息

J Indian Soc Periodontol. 2021 Jan-Feb;25(1):61-64. doi: 10.4103/jisp.jisp_175_20. Epub 2020 Sep 21.

Abstract

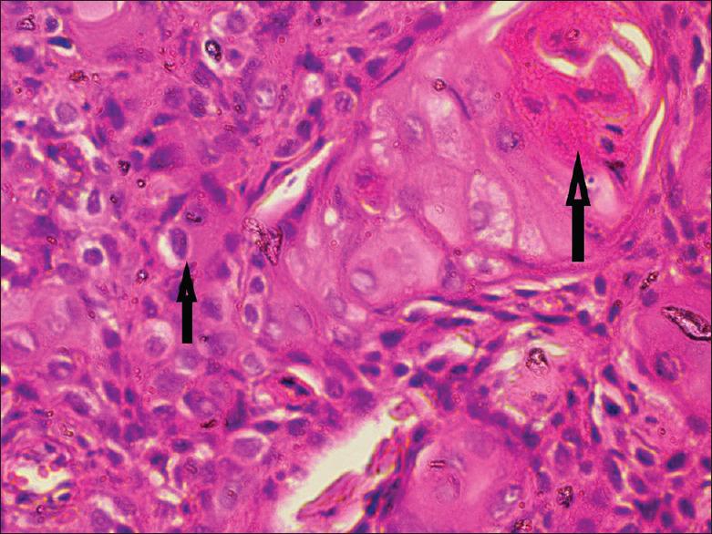
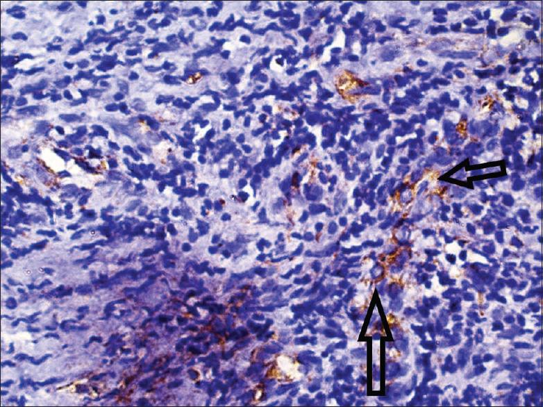
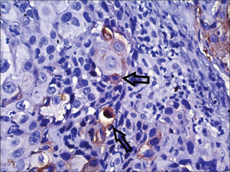
Necrotizing ulcerative periodontitis (NUP) is a painful and debilitating condition seen mostly in an immunocompromised state. Although squamous cell carcinoma (SCC) on gingiva is not uncommon, its presentation as a benign necrotizing lesion on gingiva is rare. Such presentations may lead to delayed diagnosis and poor prognosis. This report describes a case of a 34-year-old male presenting clinically with NUP around mandibular posterior teeth. Clinical features were misleading, but the histological findings established the diagnosis of well-differentiated SCC. Immunohistochemistry also showed features of epithelial-mesenchymal transition with decreased expression of E-cadherin and increased vimentin expression showing local invasion and metastasis. The patient was referred to the oncology department for evaluation of possible metastasis and further management of carcinoma.

摘要

坏死性溃疡性牙周炎(NUP)是一种主要见于免疫功能低下状态的疼痛性且使人衰弱的病症。虽然牙龈鳞状细胞癌(SCC)并不罕见,但其表现为牙龈上的良性坏死性病变则较为罕见。此类表现可能导致诊断延迟和预后不良。本报告描述了一例34岁男性患者,临床上表现为下颌后牙周围的NUP。临床特征具有误导性,但组织学检查结果确诊为高分化SCC。免疫组织化学还显示出上皮-间质转化的特征,E-钙黏蛋白表达降低,波形蛋白表达增加,提示局部侵袭和转移。该患者被转诊至肿瘤科,以评估可能的转移情况并对癌症进行进一步治疗。

https://cdn.ncbi.nlm.nih.gov/pmc/blobs/17f6/7904020/8bfeb01eed2a/JISP-25-61-g001.jpg

文献AI研究员

20分钟写一篇综述,助力文献阅读效率提升50倍。

立即体验

用中文搜PubMed

大模型驱动的PubMed中文搜索引擎

马上搜索

文档翻译

学术文献翻译模型,支持多种主流文档格式。

立即体验