• 文献检索
  • 文档翻译
  • 深度研究
  • 学术资讯
  • Suppr Zotero 插件Zotero 插件
  • 邀请有礼
  • 套餐&价格
  • 历史记录
应用&插件
Suppr Zotero 插件Zotero 插件浏览器插件Mac 客户端Windows 客户端微信小程序
定价
高级版会员购买积分包购买API积分包
服务
文献检索文档翻译深度研究API 文档MCP 服务
关于我们
关于 Suppr公司介绍联系我们用户协议隐私条款
关注我们

Suppr 超能文献

核心技术专利:CN118964589B侵权必究
粤ICP备2023148730 号-1Suppr @ 2026

文献检索

告别复杂PubMed语法,用中文像聊天一样搜索,搜遍4000万医学文献。AI智能推荐,让科研检索更轻松。

立即免费搜索

文件翻译

保留排版,准确专业,支持PDF/Word/PPT等文件格式,支持 12+语言互译。

免费翻译文档

深度研究

AI帮你快速写综述,25分钟生成高质量综述,智能提取关键信息,辅助科研写作。

立即免费体验

胸椎血管瘤致快速进展性脊髓病并酷似恶性肿瘤:1例报告

Thoracic spine hemangioma causing rapidly progressive myelopathy and mimicking a malignant tumor: A case report.

作者信息

Iida Shunpei, Kobayashi Fumiaki, Kawano Ryutaro, Saita Kazuo, Ogihara Satoshi

机构信息

Department of Orthopaedic Surgery, Saitama Medical Center, Saitama Medical University, 1981 Kamoda, Kawagoe, Saitama 350-8550, Japan.

Department of Pathology, Saitama Medical Center, Saitama Medical University, 1981 Kamoda, Kawagoe, Saitama 350-8550, Japan.

出版信息

Radiol Case Rep. 2021 Feb 11;16(4):938-941. doi: 10.1016/j.radcr.2021.01.060. eCollection 2021 Apr.

DOI:10.1016/j.radcr.2021.01.060
PMID:33659033
原文链接:https://pmc.ncbi.nlm.nih.gov/articles/PMC7890091/
Abstract

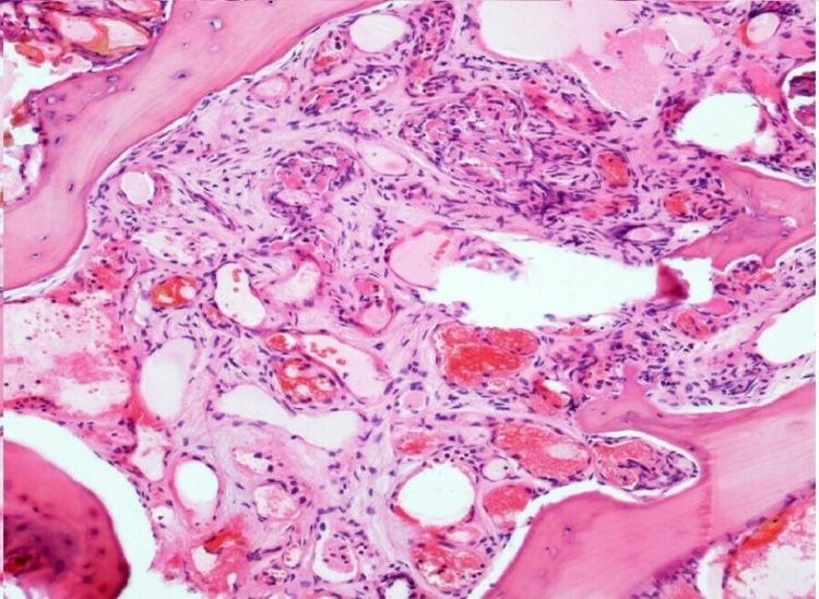
Vertebral hemangiomas are common benign tumors that are mostly asymptomatic and are discovered incidentally. Only 0.9-1.2% of all vertebral hemangiomas, termed aggressive vertebral hemangiomas, expand to cause pain and neural compression. We present an extremely rare case of a 49-year-old woman who had an aggressive vertebral hemangioma of the thoracic spine that caused rapidly progressive myelopathy with remarkable irregular extraosseous bone proliferation, which mimicked a malignant vertebral tumor. In this case, despite the lesion's hostile appearance during imaging, the pathological diagnosis was benign and symptom-based surgical treatment with posterior decompression and stabilization provided good clinical outcomes during the postoperative 18 months follow-up period. In this case, despite the use of standard imaging modalities (radiograph, CT, and MRI), making a preoperative imaging diagnosis of an aggressive vertebral hemangioma was difficult, and although aggressive vertebral hemangiomas with atypical radiological features are rare, they should be considered as a differential diagnosis.

摘要

椎体血管瘤是常见的良性肿瘤,大多无症状,多为偶然发现。在所有椎体血管瘤中,只有0.9%-1.2%的被称为侵袭性椎体血管瘤,会扩大并导致疼痛和神经受压。我们报告了一例极其罕见的病例,一名49岁女性患有胸椎侵袭性椎体血管瘤,导致快速进展性脊髓病,并伴有明显的不规则椎体外骨质增生,酷似恶性椎体肿瘤。在该病例中,尽管病变在影像学上表现凶险,但病理诊断为良性,基于症状的手术治疗采用后路减压和稳定术,在术后18个月的随访期内取得了良好的临床效果。在该病例中,尽管使用了标准的影像学检查方法(X线片、CT和MRI),术前对侵袭性椎体血管瘤进行影像学诊断仍很困难,虽然具有非典型放射学特征的侵袭性椎体血管瘤很少见,但应将其作为鉴别诊断考虑。

https://cdn.ncbi.nlm.nih.gov/pmc/blobs/562e/7890091/888a1ced67c1/gr5.jpg
https://cdn.ncbi.nlm.nih.gov/pmc/blobs/562e/7890091/94f234bf24bf/gr1.jpg
https://cdn.ncbi.nlm.nih.gov/pmc/blobs/562e/7890091/421a54f63067/gr2.jpg
https://cdn.ncbi.nlm.nih.gov/pmc/blobs/562e/7890091/e971609eca5e/gr3.jpg
https://cdn.ncbi.nlm.nih.gov/pmc/blobs/562e/7890091/3f2b29665a2b/gr4.jpg
https://cdn.ncbi.nlm.nih.gov/pmc/blobs/562e/7890091/888a1ced67c1/gr5.jpg
https://cdn.ncbi.nlm.nih.gov/pmc/blobs/562e/7890091/94f234bf24bf/gr1.jpg
https://cdn.ncbi.nlm.nih.gov/pmc/blobs/562e/7890091/421a54f63067/gr2.jpg
https://cdn.ncbi.nlm.nih.gov/pmc/blobs/562e/7890091/e971609eca5e/gr3.jpg
https://cdn.ncbi.nlm.nih.gov/pmc/blobs/562e/7890091/3f2b29665a2b/gr4.jpg
https://cdn.ncbi.nlm.nih.gov/pmc/blobs/562e/7890091/888a1ced67c1/gr5.jpg

相似文献

1
Thoracic spine hemangioma causing rapidly progressive myelopathy and mimicking a malignant tumor: A case report.胸椎血管瘤致快速进展性脊髓病并酷似恶性肿瘤:1例报告
Radiol Case Rep. 2021 Feb 11;16(4):938-941. doi: 10.1016/j.radcr.2021.01.060. eCollection 2021 Apr.
2
Rapidly Progressive Myelopathy Caused by Aggressive Vertebral Hemangioma.侵袭性椎体血管瘤所致快速进展性脊髓病
Case Rep Orthop. 2019 Nov 15;2019:8927310. doi: 10.1155/2019/8927310. eCollection 2019.
3
Vertebral hemangiomas: a review on diagnosis and management.脊柱血管瘤:诊断与治疗的综述。
J Orthop Surg Res. 2024 May 24;19(1):310. doi: 10.1186/s13018-024-04799-5.
4
Extraosseous extension of vertebral hemangioma, a rare cause of spinal cord compression.椎体血管瘤的骨外扩展,一种导致脊髓压迫的罕见原因。
Spine (Phila Pa 1976). 1999 Oct 15;24(20):2111-4. doi: 10.1097/00007632-199910150-00009.
5
Atypical vertebral hemangioma: an aggressive form of a benign disease. Case Report and Literature Review.非典型性椎体血管瘤:良性疾病的侵袭形式。病例报告和文献复习。
J Musculoskelet Neuronal Interact. 2021 Jun 1;21(2):317-321.
6
Aggressive Vertebral Body Hemangioma Causing Compressive Myelopathy - Two Case Reports.侵袭性椎体血管瘤致压迫性脊髓病——两例报告
J Orthop Case Rep. 2017 Mar-Apr;7(2):7-10. doi: 10.13107/jocr.2250-0685.724.
7
Surgical management of aggressive vertebral hemangiomas causing spinal cord compression: long-term clinical follow-up of five cases.侵袭性椎体血管瘤致脊髓压迫的手术治疗:5例长期临床随访
J Orthop Sci. 2010 May;15(3):350-6. doi: 10.1007/s00776-010-1483-z. Epub 2010 Jun 18.
8
Acute spinal cord compression caused by vertebral hemangioma.椎体血管瘤引起的急性脊髓压迫
Spine J. 2004 Sep-Oct;4(5):595-600. doi: 10.1016/j.spinee.2003.08.034.
9
Aggressive Vertebral Hemangioma Causing Recurring Myelopathy -A Rare Case Report and Review of Literature.侵袭性椎体血管瘤致复发性脊髓病——1例罕见病例报告及文献复习
J Orthop Case Rep. 2021 Jun;11(6):19-22. doi: 10.13107/jocr.2021.v11.i06.2240.
10
Surgical treatment of aggressive vertebral hemangiomas.侵袭性椎体血管瘤的外科治疗
Neurosurg Focus. 2016 Aug;41(2):E7. doi: 10.3171/2016.5.FOCUS16169.

引用本文的文献

1
Atypical Aggressive Hemangioma of Thoracic Vertebrae Associated With Thoracic Myelopathy-A Case Report and Review of the Literature.胸椎非典型侵袭性血管瘤伴胸椎脊髓病——病例报告及文献复习
Case Rep Orthop. 2024 Aug 13;2024:2307950. doi: 10.1155/2024/2307950. eCollection 2024.
2
Revision total en bloc spondylectomy for a recurrent aggressive vertebral haemangioma of the thoracic spine causing progressive thoracic myelopathy with segmental kyphosis.整块翻修性脊柱切除术治疗复发性侵袭性胸椎血管瘤,该血管瘤导致进行性胸段脊髓病并伴有节段性后凸畸形。
J Surg Case Rep. 2024 Jul 16;2024(7):rjae461. doi: 10.1093/jscr/rjae461. eCollection 2024 Jul.

本文引用的文献

1
Treatment of Typical Enneking Stage 3 Thoracic Aggressive Vertebral Hemangiomas with Pain and Neurologic Deficits: Results After at Least 36 Months of Follow-Up.典型 Enneking 分期 3 型伴疼痛和神经功能缺损的胸腰椎侵袭性血管瘤的治疗:至少 36 个月随访后的结果。
World Neurosurg. 2020 Feb;134:e642-e648. doi: 10.1016/j.wneu.2019.10.158. Epub 2019 Nov 2.
2
Aggressive Vertebral Hemangioma Causing Spinal Cord Compression: Presenting a Study of Two Cases and Review of Literature.侵袭性椎体血管瘤导致脊髓压迫:两例病例报告及文献复习
J Orthop Case Rep. 2018 Mar-Apr;8(2):33-37. doi: 10.13107/jocr.2250-0685.1038.
3
A Child with a Rare Extraosseous Extension and Pathologic Fracture from a Vertebral Hemangioma: A Case Report.
一名患有罕见椎骨血管瘤骨外扩展及病理性骨折的儿童:病例报告
JBJS Case Connect. 2017 Oct-Dec;7(4):e86. doi: 10.2106/JBJS.CC.17.00057.
4
A Symptomatic Case of Thoracic Vertebral Hemangioma Causing Lower Limb Spastic Paresis.一例导致下肢痉挛性轻瘫的胸椎血管瘤症状性病例。
Am J Case Rep. 2016 Oct 31;17:805-809. doi: 10.12659/ajcr.898562.
5
A case report of spondylectomy with circumference reconstruction for aggressive vertebral hemangioma covering the whole cervical spine (C4) with progressive spinal disorder.全颈椎(C4)侵袭性椎体血管瘤伴进行性脊柱疾病行椎体切除术及环形重建的病例报告
Eur Spine J. 2017 May;26(Suppl 1):69-74. doi: 10.1007/s00586-016-4765-0. Epub 2016 Sep 9.
6
Surgical treatment of aggressive vertebral hemangiomas.侵袭性椎体血管瘤的外科治疗
Neurosurg Focus. 2016 Aug;41(2):E7. doi: 10.3171/2016.5.FOCUS16169.
7
Rare case of multiple aggressive vertebral hemangiomas.多发性侵袭性椎体血管瘤罕见病例。
J Nat Sci Biol Med. 2015 Jul-Dec;6(2):439-42. doi: 10.4103/0976-9668.160030.
8
Blood Loss in Surgery for Aggressive Vertebral Haemangioma with and without Embolisation.侵袭性椎体血管瘤手术中有无栓塞时的失血情况
Asian Spine J. 2015 Jun;9(3):483-91. doi: 10.4184/asj.2015.9.3.483. Epub 2015 Jun 8.
9
Aggressive vertebral hemangioma of the thoracic spine without typical radiological appearance.胸腰椎侵袭性血管瘤,影像学表现不典型。
Eur Spine J. 2012 Oct;21(10):1994-9. doi: 10.1007/s00586-012-2349-1. Epub 2012 Jun 26.
10
Aggressive hemangioma of the thoracic spine.胸椎侵袭性血管瘤
J Radiol Case Rep. 2011;5(10):7-13. doi: 10.3941/jrcr.v5i10.828. Epub 2011 Oct 1.