Suppr超能文献

自由放养的黑斑羚()和转角牛羚()的乳汁成分及其与其他非洲牛科动物的比较。

Milk Composition of Free-Ranging Impala () and Tsessebe (), and Comparison with Other African Bovidae.

作者信息

Osthoff Gernot, Hugo Arnold, Madende Moses, Schmidt Lauren, Kobeni Sibusiso, Deacon Francois

机构信息

Department of Microbial, Biochemical and Food Biotechnology, University of the Free State, Bloemfontein 9300, South Africa.

Department of Animal, Wildlife and Grassland Sciences, University of the Free State, Bloemfontein 9300, South Africa.

出版信息

Animals (Basel). 2021 Feb 17;11(2):516. doi: 10.3390/ani11020516.

Abstract

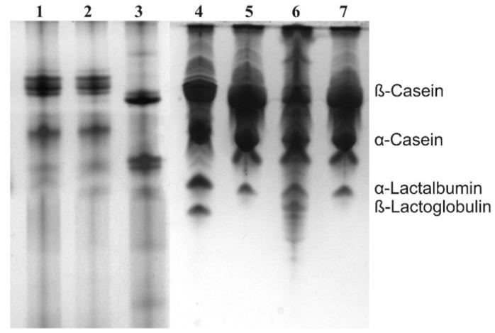
The major nutrient and fatty acid composition of the milk of impala and tsessebe is reported and compared with other Bovidae and species. The proximate composition of impala milk was 5.56 ± 1.96% fat, 6.60 ± 0.51% protein, and 4.36 ± 0.94% lactose, and that of tsessebe milk was 8.44 ± 3.19%, 5.15 ± 0.49%, and 6.10 ± 3.85%, respectively. The high protein content of impala milk accounted for 42% of gross energy, which is typical for African Bovids that use a "hider" postnatal care system, compared to the 25% of the tsessebe, a "follower". Electrophoresis showed that the molecular size and surface charge of the tsessebe caseins resembled that of other Alcelaphinae members, while that of the impala resembled that of Hippotraginae. The milk composition of these two species was compared by statistical methods with 13 other species representing eight suborders, families, or subfamilies of African Artiodactyla. This showed that the tsessebe milk resembled that of four other species of the Alcelaphinae sub-family and that the milk of this sub-family differs from other Artiodactyla by its specific margins of nutrient contents and milk fat with a high content of medium-length fatty acids (C8-C12) above 17% of the total fatty acids.

摘要

报告了黑斑羚和转角牛羚乳汁的主要营养成分及脂肪酸组成,并与其他牛科动物和物种进行了比较。黑斑羚乳汁的近似成分分别为脂肪5.56±1.96%、蛋白质6.60±0.51%、乳糖4.36±0.94%;转角牛羚乳汁的近似成分分别为脂肪8.44±3.19%、蛋白质5.15±0.49%、乳糖6.10±3.85%。黑斑羚乳汁中高蛋白含量占总能量的42%,这对于采用“躲藏者”产后护理系统的非洲牛科动物来说是典型的,相比之下,作为“跟随者”的转角牛羚这一比例为25%。电泳显示,转角牛羚酪蛋白的分子大小和表面电荷与其他狷羚亚科成员相似,而黑斑羚的则与马羚亚科相似。通过统计方法将这两个物种的乳汁成分与代表非洲偶蹄目八个亚目、科或亚科的其他13个物种进行了比较。结果表明,转角牛羚的乳汁与狷羚亚科的其他四个物种相似,并且该亚科的乳汁与其他偶蹄目动物的不同之处在于其特定的营养成分和乳脂肪含量范围,其中中长链脂肪酸(C8 - C12)含量较高,占总脂肪酸的17%以上。

https://cdn.ncbi.nlm.nih.gov/pmc/blobs/ba7a/7922303/9308043c498e/animals-11-00516-g001.jpg

文献AI研究员

20分钟写一篇综述,助力文献阅读效率提升50倍。

立即体验

用中文搜PubMed

大模型驱动的PubMed中文搜索引擎

马上搜索

文档翻译

学术文献翻译模型,支持多种主流文档格式。

立即体验