• 文献检索
  • 文档翻译
  • 深度研究
  • 学术资讯
  • Suppr Zotero 插件Zotero 插件
  • 邀请有礼
  • 套餐&价格
  • 历史记录
应用&插件
Suppr Zotero 插件Zotero 插件浏览器插件Mac 客户端Windows 客户端微信小程序
定价
高级版会员购买积分包购买API积分包
服务
文献检索文档翻译深度研究API 文档MCP 服务
关于我们
关于 Suppr公司介绍联系我们用户协议隐私条款
关注我们

Suppr 超能文献

核心技术专利:CN118964589B侵权必究
粤ICP备2023148730 号-1Suppr @ 2026

文献检索

告别复杂PubMed语法,用中文像聊天一样搜索,搜遍4000万医学文献。AI智能推荐,让科研检索更轻松。

立即免费搜索

文件翻译

保留排版,准确专业,支持PDF/Word/PPT等文件格式,支持 12+语言互译。

免费翻译文档

深度研究

AI帮你快速写综述,25分钟生成高质量综述,智能提取关键信息,辅助科研写作。

立即免费体验

作为B7分子阻断剂的修饰型rCTLA4-Ig的结构预测与表达

Structure Prediction and Expression of Modified rCTLA4-Ig as a Blocker for B7 Molecules.

作者信息

Mahdizadeh Hossein, Salimian Jafar, Noormohammadi Zahra, Amani Jafar, Halabian Raheleh, Panahi Yunes

机构信息

Department of Biology, Science and Research branch, Islamic Azad University, Tehran, Iran.

Chemical Injuries Research Center, Systems Biology and Poisonings Institute, Baqiyatallah University of Medical Sciences, Tehran, Iran.

出版信息

Iran J Pharm Res. 2020 Summer;19(3):329-348. doi: 10.22037/ijpr.2020.112959.14040.

DOI:10.22037/ijpr.2020.112959.14040
PMID:33680034
原文链接:https://pmc.ncbi.nlm.nih.gov/articles/PMC7757981/
Abstract

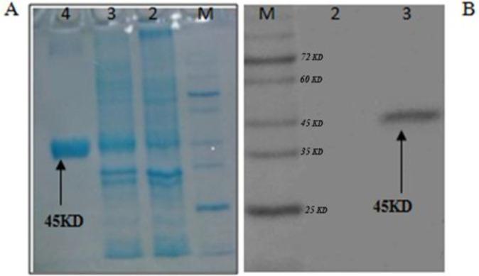
CTLA4-Ig (Abatacept) has been produced to suppress immune response by inhibition of T cells functions in autoimmune disease. A new drug, which is called belatacept, has recently been recently developed that is more efficient. The development has been occurred by two substitutions (A29Y, L104E) in the extracellular domain of CTLA4. In the present study, the bioinformatics analysis was used in order to make a new structure that has a better function in comparison with belatacept. Firstly, eight different structures were designed. Thereafter, the secondary and 3D structures, mRNA structure, docking of chimeric proteins with CD80/CD86, antigenicity and affinity of designed chimeric molecules were predicted. Based on the criteria, a new candidate molecule was selected and its gene synthesized. The gene was cloned and expressed in BL21 (DE3) successfully. The purified rCTLA4-Ig was analyzed by SDS-PAGE, western blotting, and ELISA. Circular dichroism analysis (CD analysis) was used for characterization of the rCTLA4-Ig. Affinity of rCTLA4-Ig was also evaluated by the flow cytometry method. Finally, its biological activity was determined by T cell inhibition test. The results showed rCTLA4-Ig and the belatacept protein have some similarities in structure and function. In addition, rCTLA4-Ig was able to bind CD80/CD86 and inhibit T cell function. Although flow cytomery results showed that the standard protein (CTLA4-Ig), represented better affinity than rCTLA4-Ig, the recombinant protein was able to inhibit T cell proliferation as well as CTLA4-Ig.

摘要

CTLA4-Ig(阿巴西普)已被制备用于通过抑制自身免疫性疾病中T细胞的功能来抑制免疫反应。最近开发了一种名为贝拉西普的新药,其效率更高。这种开发是通过CTLA4细胞外结构域中的两个取代(A29Y、L104E)实现的。在本研究中,使用生物信息学分析来构建一种与贝拉西普相比具有更好功能的新结构。首先,设计了八种不同的结构。此后,预测了二级和三维结构、mRNA结构、嵌合蛋白与CD80/CD86的对接、设计的嵌合分子的抗原性和亲和力。根据这些标准,选择了一种新的候选分子并合成了其基因。该基因成功克隆并在BL21(DE3)中表达。通过SDS-PAGE、蛋白质印迹和ELISA对纯化的rCTLA4-Ig进行分析。使用圆二色性分析(CD分析)对rCTLA4-Ig进行表征。还通过流式细胞术方法评估rCTLA4-Ig的亲和力。最后,通过T细胞抑制试验确定其生物学活性。结果表明,rCTLA4-Ig与贝拉西普蛋白在结构和功能上有一些相似之处。此外,rCTLA4-Ig能够结合CD80/CD86并抑制T细胞功能。尽管流式细胞术结果表明标准蛋白(CTLA4-Ig)的亲和力比rCTLA4-Ig更好,但重组蛋白能够像CTLA4-Ig一样抑制T细胞增殖。

https://cdn.ncbi.nlm.nih.gov/pmc/blobs/a16c/7757981/b923caf06f21/ijpr-19-329-g010.jpg
https://cdn.ncbi.nlm.nih.gov/pmc/blobs/a16c/7757981/af76a94753d9/ijpr-19-329-g001.jpg
https://cdn.ncbi.nlm.nih.gov/pmc/blobs/a16c/7757981/3a86ff5385de/ijpr-19-329-g002.jpg
https://cdn.ncbi.nlm.nih.gov/pmc/blobs/a16c/7757981/33947a19aa64/ijpr-19-329-g003.jpg
https://cdn.ncbi.nlm.nih.gov/pmc/blobs/a16c/7757981/8654a60d8bbb/ijpr-19-329-g004.jpg
https://cdn.ncbi.nlm.nih.gov/pmc/blobs/a16c/7757981/5c49a00ceda2/ijpr-19-329-g005.jpg
https://cdn.ncbi.nlm.nih.gov/pmc/blobs/a16c/7757981/47afa519661f/ijpr-19-329-g006.jpg
https://cdn.ncbi.nlm.nih.gov/pmc/blobs/a16c/7757981/686fb0c7f41d/ijpr-19-329-g007.jpg
https://cdn.ncbi.nlm.nih.gov/pmc/blobs/a16c/7757981/59ac894a8e4e/ijpr-19-329-g008.jpg
https://cdn.ncbi.nlm.nih.gov/pmc/blobs/a16c/7757981/79604871d52f/ijpr-19-329-g009.jpg
https://cdn.ncbi.nlm.nih.gov/pmc/blobs/a16c/7757981/b923caf06f21/ijpr-19-329-g010.jpg
https://cdn.ncbi.nlm.nih.gov/pmc/blobs/a16c/7757981/af76a94753d9/ijpr-19-329-g001.jpg
https://cdn.ncbi.nlm.nih.gov/pmc/blobs/a16c/7757981/3a86ff5385de/ijpr-19-329-g002.jpg
https://cdn.ncbi.nlm.nih.gov/pmc/blobs/a16c/7757981/33947a19aa64/ijpr-19-329-g003.jpg
https://cdn.ncbi.nlm.nih.gov/pmc/blobs/a16c/7757981/8654a60d8bbb/ijpr-19-329-g004.jpg
https://cdn.ncbi.nlm.nih.gov/pmc/blobs/a16c/7757981/5c49a00ceda2/ijpr-19-329-g005.jpg
https://cdn.ncbi.nlm.nih.gov/pmc/blobs/a16c/7757981/47afa519661f/ijpr-19-329-g006.jpg
https://cdn.ncbi.nlm.nih.gov/pmc/blobs/a16c/7757981/686fb0c7f41d/ijpr-19-329-g007.jpg
https://cdn.ncbi.nlm.nih.gov/pmc/blobs/a16c/7757981/59ac894a8e4e/ijpr-19-329-g008.jpg
https://cdn.ncbi.nlm.nih.gov/pmc/blobs/a16c/7757981/79604871d52f/ijpr-19-329-g009.jpg
https://cdn.ncbi.nlm.nih.gov/pmc/blobs/a16c/7757981/b923caf06f21/ijpr-19-329-g010.jpg

相似文献

1
Structure Prediction and Expression of Modified rCTLA4-Ig as a Blocker for B7 Molecules.作为B7分子阻断剂的修饰型rCTLA4-Ig的结构预测与表达
Iran J Pharm Res. 2020 Summer;19(3):329-348. doi: 10.22037/ijpr.2020.112959.14040.
2
Immunosuppressive effect of ASP2408, a novel CD86-selective variant of CTLA4-Ig, in rats and cynomolgus monkeys.新型CTLA4-Ig的CD86选择性变体ASP2408对大鼠和食蟹猴的免疫抑制作用。
Int Immunopharmacol. 2016 Nov;40:310-317. doi: 10.1016/j.intimp.2016.09.009. Epub 2016 Sep 20.
3
Porcine CTLA4-Ig lacks a MYPPPY motif, binds inefficiently to human B7 and specifically suppresses human CD4+ T cell responses costimulated by pig but not human B7.猪CTLA4-Ig缺乏MYPPPY基序,与人B7的结合效率低下,且特异性抑制由猪B7而非人B7共刺激的人CD4+T细胞反应。
J Immunol. 2000 Sep 15;165(6):3175-81. doi: 10.4049/jimmunol.165.6.3175.
4
Affinity and cross-reactivity engineering of CTLA4-Ig to modulate T cell costimulation.CTLA4-Ig 的亲和性和交叉反应性工程改造以调节 T 细胞共刺激。
J Immunol. 2012 Nov 1;189(9):4470-7. doi: 10.4049/jimmunol.1201813. Epub 2012 Sep 26.
5
ASP2408 and ASP2409, novel CTLA4-Ig variants with CD86-selective ligand binding activity and improved immunosuppressive potency, created by directed evolution.ASP2408和ASP2409是新型CTLA4-Ig变体,具有CD86选择性配体结合活性且免疫抑制效力得到提高,通过定向进化产生。
Protein Eng Des Sel. 2016 May;29(5):159-67. doi: 10.1093/protein/gzw002. Epub 2016 Mar 10.
6
The Effect of ASP2409, a Novel CD86-Selective Variant of CTLA4-Ig, on Renal Allograft Rejection in Nonhuman Primates.新型CTLA4-Ig的CD86选择性变体ASP2409对非人灵长类动物肾移植排斥反应的影响
Transplantation. 2016 Dec;100(12):2611-2620. doi: 10.1097/TP.0000000000001397.
7
Targeting the CD80/CD86 costimulatory pathway with CTLA4-Ig directs microglia toward a repair phenotype and promotes axonal outgrowth.用CTLA4-Ig靶向CD80/CD86共刺激途径可引导小胶质细胞向修复表型转变并促进轴突生长。
Glia. 2015 Dec;63(12):2298-312. doi: 10.1002/glia.22894. Epub 2015 Jul 27.
8
A CD80-Biased CTLA4-Ig Fusion Protein with Superior In Vivo Efficacy by Simultaneous Engineering of Affinity, Selectivity, Stability, and FcRn Binding.一种通过亲和力、选择性、稳定性和FcRn结合的同步工程改造而具有卓越体内疗效的偏向CD80的CTLA4-Ig融合蛋白。
J Immunol. 2017 Jan 1;198(1):528-537. doi: 10.4049/jimmunol.1600682. Epub 2016 Nov 23.
9
CTLA4-Ig/CD86 interactions in cultured human endothelial cells: effects on VEGFR-2 and ICAM1 expression.培养的人内皮细胞中CTLA4-Ig与CD86的相互作用:对血管内皮生长因子受体2(VEGFR-2)和细胞间黏附分子1(ICAM1)表达的影响
Clin Exp Rheumatol. 2015 Mar-Apr;33(2):250-4. Epub 2015 Apr 9.
10
Context-restricted PD-(L)1 checkpoint agonism by CTLA4-Ig therapies inhibits T cell activity.CTLA4-Ig 疗法通过限制 PD-(L)1 检查点的作用抑制 T 细胞活性。
Cell Rep. 2024 Oct 22;43(10):114834. doi: 10.1016/j.celrep.2024.114834. Epub 2024 Oct 8.

本文引用的文献

1
Effects of N-Glycosylation on the Structure, Function, and Stability of a Plant-Made Fc-Fusion Anthrax Decoy Protein.N-糖基化对植物源Fc融合炭疽诱饵蛋白的结构、功能及稳定性的影响
Front Plant Sci. 2019 Jun 28;10:768. doi: 10.3389/fpls.2019.00768. eCollection 2019.
2
Glycans as Key Checkpoints of T Cell Activity and Function.糖链作为 T 细胞活性和功能的关键检查点。
Front Immunol. 2018 Nov 27;9:2754. doi: 10.3389/fimmu.2018.02754. eCollection 2018.
3
physicochemical characterization and topology analysis of Respiratory burst oxidase homolog (Rboh) proteins from Arabidopsis and rice.
拟南芥和水稻呼吸爆发氧化酶同源物(Rboh)蛋白的物理化学特性及拓扑结构分析
Bioinformation. 2018 Mar 31;14(3):93-100. doi: 10.6026/97320630014093. eCollection 2018.
4
Belatacept and Long-Term Outcomes in Kidney Transplantation.贝利尤单抗与肾移植的长期结局。
N Engl J Med. 2016 Jan 28;374(4):333-43. doi: 10.1056/NEJMoa1506027.
5
In silico ADME/T modelling for rational drug design.用于合理药物设计的计算机辅助药物代谢动力学/药物处置建模
Q Rev Biophys. 2015 Nov;48(4):488-515. doi: 10.1017/S0033583515000190. Epub 2015 Sep 2.
6
Response to the comment on 'protein-protein binding affinity prediction from amino acid sequence'.对“基于氨基酸序列预测蛋白质-蛋白质结合亲和力”评论的回应。
Bioinformatics. 2015 Mar 15;31(6):978. doi: 10.1093/bioinformatics/btu821. Epub 2014 Dec 12.
7
Versatile characterization of glycosylation modification in CTLA4-Ig fusion proteins by liquid chromatography-mass spectrometry.通过液相色谱-质谱联用对CTLA4-Ig融合蛋白中糖基化修饰进行多方面表征
MAbs. 2014;6(6):1474-85. doi: 10.4161/mabs.36313.
8
Experience with subcutaneous abatacept for rheumatoid arthritis: an update for clinicians.类风湿关节炎皮下用阿巴西普治疗的经验:临床医生的最新进展。
Ther Adv Musculoskelet Dis. 2014 Oct;6(5):159-68. doi: 10.1177/1759720X14551567.
9
Protein-protein binding affinity prediction from amino acid sequence.从氨基酸序列预测蛋白质-蛋白质结合亲和力。
Bioinformatics. 2014 Dec 15;30(24):3583-9. doi: 10.1093/bioinformatics/btu580. Epub 2014 Aug 28.
10
Extending the serum half-life of G-CSF via fusion with the domain III of human serum albumin.通过与人血清白蛋白的域 III 融合来延长 G-CSF 的血清半衰期。
Biomed Res Int. 2013;2013:107238. doi: 10.1155/2013/107238. Epub 2013 Sep 15.