MacDougall Kira N, Schwartz Benjamin, Harewood Janine, Bukhari Zaheer, Neculiseanu Elvira
Internal Medicine, Northwell Health, Staten Island, USA.
Hematology and Oncology, State University of New York (SUNY) Downstate Health Sciences University, Brooklyn, USA.
Cureus. 2021 Jan 31;13(1):e13031. doi: 10.7759/cureus.13031.
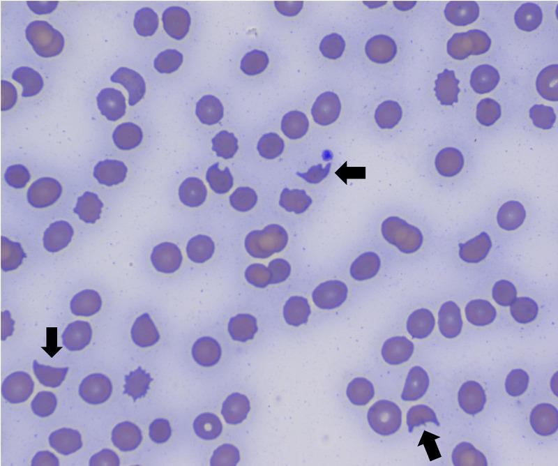
A 47-year-old male with stage IV pancreatic cancer developed gemcitabine-induced thrombotic microangiopathy (GiTMA) after treatment with gemcitabine and nab-paclitaxel. GiTMA is a rare and life-threatening complication with an incidence ranging from 0.015% to 1.4% and reported mortality rate ranging from 50% to 90%. Clinically, GiTMA manifests as microangiopathic hemolytic anemia, thrombocytopenia, and renal failure. Early identification of GiTMA is essential to initiate early treatment and improve survival. Treatment of GiTMA includes discontinuation of gemcitabine, along with initiation of steroids, therapeutic plasma exchange (TPE), rituximab, and eculizumab. To our knowledge, this is the first case of GiTMA treated with ravulizumab, a long-acting complement inhibitor. Given the increasing number of patients treated with gemcitabine and seriousness of this complication, it is important for physicians to be aware of this disease entity and maintain a high index of suspicion when evaluating patients with microangiopathic hemolytic anemia, thrombocytopenia, and renal failure.
一名47岁的IV期胰腺癌男性患者在接受吉西他滨和白蛋白结合型紫杉醇治疗后发生了吉西他滨诱导的血栓性微血管病(GiTMA)。GiTMA是一种罕见且危及生命的并发症,发病率在0.015%至1.4%之间,报告的死亡率在50%至90%之间。临床上,GiTMA表现为微血管病性溶血性贫血、血小板减少和肾衰竭。早期识别GiTMA对于启动早期治疗和提高生存率至关重要。GiTMA的治疗包括停用吉西他滨,同时开始使用类固醇、治疗性血浆置换(TPE)、利妥昔单抗和依库珠单抗。据我们所知,这是第一例用长效补体抑制剂ravulizumab治疗的GiTMA病例。鉴于接受吉西他滨治疗的患者数量不断增加以及这种并发症的严重性,医生了解这种疾病实体并在评估患有微血管病性溶血性贫血、血小板减少和肾衰竭的患者时保持高度怀疑指数非常重要。