Suppr超能文献

指神经内脂肪瘤:一例报告及文献综述

Intraneural Lipoma of the Digital Nerve: A Case Report and Literature Review.

作者信息

DeSano Jeffrey, Gardner Preston, Hart Justin W, Samuel Samson, Williams Keoni

机构信息

Plastic and Reconstructive Surgery, Beaumont Health, Royal Oak, USA.

Hand Surgery, Michigan Surgery Specialists, Warren, USA.

出版信息

Cureus. 2021 Feb 2;13(2):e13074. doi: 10.7759/cureus.13074.

Abstract

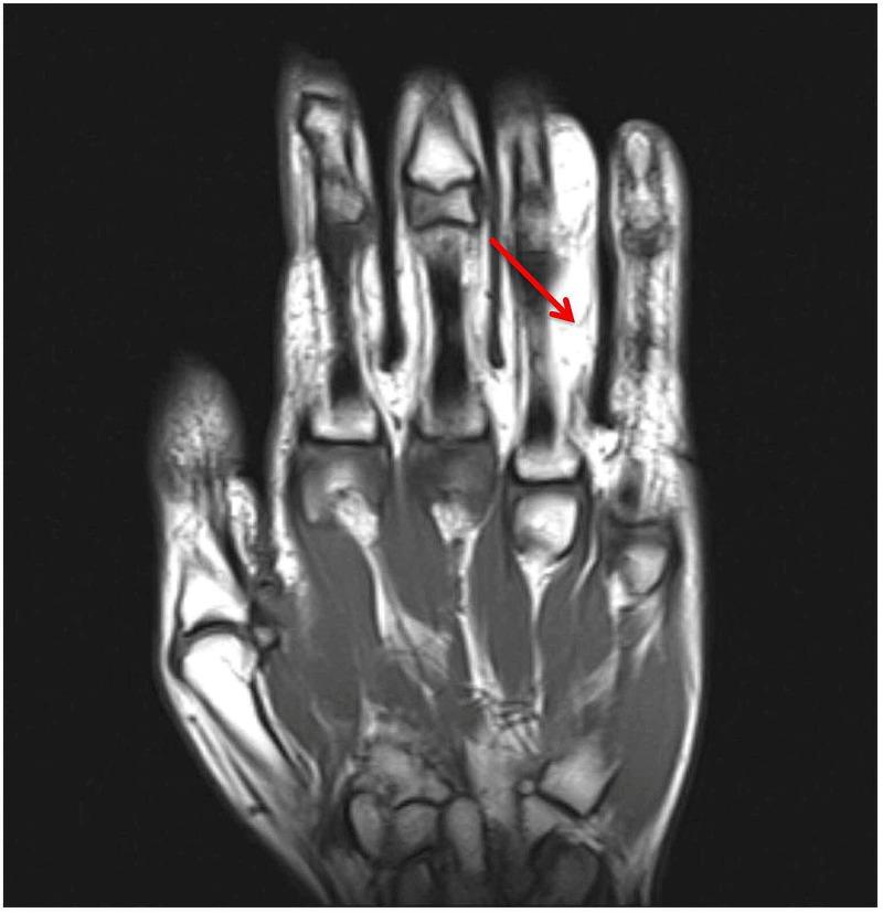
Intraneural lipomas are rare soft-tissue tumors that can occur particularly within the median nerve. Even fewer cases have been reported of their occurrence within the ulnar nerve. These masses can cause compression neuropathies. In this report, we present the first documented case of an intraneural lipoma of an ulnar digital nerve.

摘要

神经内脂肪瘤是一种罕见的软组织肿瘤,尤其可发生于正中神经内。而发生于尺神经内的病例报道则更少。这些肿物可导致压迫性神经病变。在本报告中,我们呈现了首例有记录的尺侧指神经神经内脂肪瘤病例。

https://cdn.ncbi.nlm.nih.gov/pmc/blobs/fc23/7931264/5d5d15d9ac30/cureus-0013-00000013074-i01.jpg

文献AI研究员

20分钟写一篇综述,助力文献阅读效率提升50倍。

立即体验

用中文搜PubMed

大模型驱动的PubMed中文搜索引擎

马上搜索

文档翻译

学术文献翻译模型,支持多种主流文档格式。

立即体验