Nautiyal Amit, Narayanan Arun, Mitra Deepanjan, Honnegowda Thittamarnahalli Muguregowda
Department of Nuclear Medicine and Radiology, Institute of Nuclear Medicine and Molecular Imaging, AMRI Hospitals, Kolkata, West Bengal, India.
Department of Periodontics, Kannur Dental College, Kerala, India.
Ann Maxillofac Surg. 2020 Jul-Dec;10(2):422-428. doi: 10.4103/ams.ams_192_19. Epub 2020 Jul 7.
With the advent of functional endoscopic sinus surgery and coronal computed tomography (CT) imaging, more attention has been paid toward paranasal region anatomy. Detailed knowledge of anatomic variations in paranasal sinus region is critical for surgeons performing endoscopic sinus surgery as well as for the radiologist involved in the pre- and post-operative assessment. The anatomical variants with some accompanying pathologies would directly influence the success of diagnostic and therapeutic management of paranasal sinus diseases. Our study intends to explore the anatomy of paranasal air sinus through CT and to describe its variants, which may predispose to chronic sinusitis and complications in endoscopic sinonasal surgery.
This was a retrospective study carried out in a tertiary institution. Two hundred and fifty patients without paranasal sinus symptoms who presented for head CT studies and gave consent for a coronal section scan of the paranasal sinuses to be taken in addition to the axial section of the head were included in the study. The CT examination was performed with GE Hispeed-NX/I Base-2002 Dual Slice Helical CT machine.
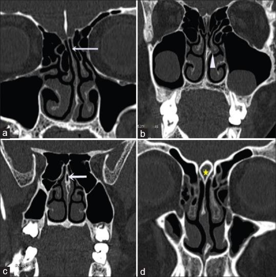
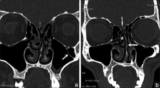
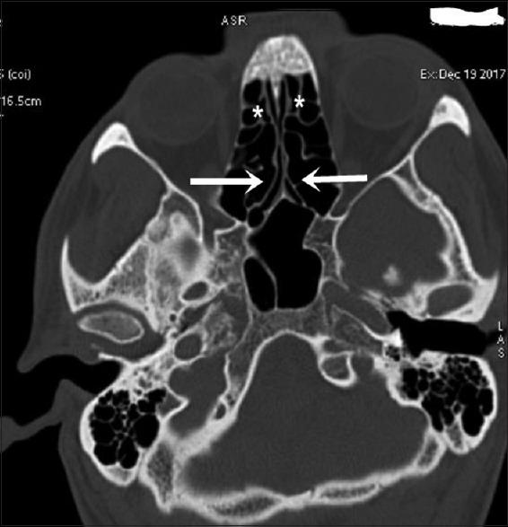
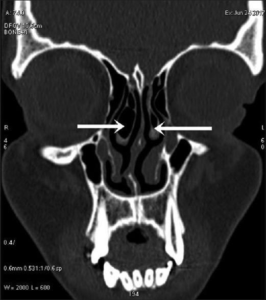
Among 250 study population, 100 were females and 150 males. Among these 423 cases of anatomical variants were observed. The most common anatomical variants were pneumatization of the middle nasal turbinates 30.73%. This is followed by agger nasi cells 21.64%, Haller's cells 22.91%, septal deviation 21.91%, and sphenoid sinus septation (20.18%).
CT is the gold standard in the radiologic investigation of the paranasal sinuses, sinonasal lesions, and inflammatory disease or pre- and post-surgical assessment. It has the capability of disclosing in greatest detail any anatomical variations, which could be causing or precipitating the sinusitis.
随着功能性鼻内镜鼻窦手术及冠状位计算机断层扫描(CT)成像技术的出现,鼻旁区域解剖结构受到了更多关注。鼻窦区域解剖变异的详细知识对于进行鼻内镜鼻窦手术的外科医生以及参与术前和术后评估的放射科医生至关重要。伴有某些相关病变的解剖变异会直接影响鼻窦疾病诊断和治疗管理的成功率。我们的研究旨在通过CT探索鼻旁窦的解剖结构,并描述其变异情况,这些变异可能易导致慢性鼻窦炎及鼻内镜鼻窦手术中的并发症。
这是一项在三级医疗机构进行的回顾性研究。纳入250例无鼻窦症状的患者,这些患者因头部CT检查就诊,并同意除头部轴位扫描外,还进行鼻窦冠状位扫描。CT检查使用GE Hispeed-NX/I Base-2002双排螺旋CT机进行。
在250名研究对象中,女性100名,男性150名。在这些病例中观察到423例解剖变异。最常见的解剖变异是中鼻甲气化,占30.73%。其次是鼻丘气房,占21.64%,Haller气房,占22.91%,鼻中隔偏曲,占21.91%,以及蝶窦分隔,占20.18%。
CT是鼻窦、鼻鼻窦病变、炎性疾病或手术前后评估的放射学检查的金标准。它能够最详细地揭示任何可能导致或引发鼻窦炎的解剖变异。