• 文献检索
  • 文档翻译
  • 深度研究
  • 学术资讯
  • Suppr Zotero 插件Zotero 插件
  • 邀请有礼
  • 套餐&价格
  • 历史记录
应用&插件
Suppr Zotero 插件Zotero 插件浏览器插件Mac 客户端Windows 客户端微信小程序
定价
高级版会员购买积分包购买API积分包
服务
文献检索文档翻译深度研究API 文档MCP 服务
关于我们
关于 Suppr公司介绍联系我们用户协议隐私条款
关注我们

Suppr 超能文献

核心技术专利:CN118964589B侵权必究
粤ICP备2023148730 号-1Suppr @ 2026

文献检索

告别复杂PubMed语法,用中文像聊天一样搜索,搜遍4000万医学文献。AI智能推荐,让科研检索更轻松。

立即免费搜索

文件翻译

保留排版,准确专业,支持PDF/Word/PPT等文件格式,支持 12+语言互译。

免费翻译文档

深度研究

AI帮你快速写综述,25分钟生成高质量综述,智能提取关键信息,辅助科研写作。

立即免费体验

一位 34 岁男性静脉药物使用者,第三次三尖瓣心内膜炎发作,经重复瓣膜手术治疗。

A 34-Year-Old Male Intravenous Drug User with a Third Episode of Tricuspid Valve Endocarditis Treated with Repeat Valve Surgery.

机构信息

Department of Anesthesiology and Perioperative Medicine, University Hospitals/Case Western Reserve University, Cleveland, OH, USA.

Department of Cardiovascular and Thoracic Surgery, West Virginia University, Morgantown, WV, USA.

出版信息

Am J Case Rep. 2021 Mar 29;22:e927385. doi: 10.12659/AJCR.927385.

DOI:10.12659/AJCR.927385
PMID:33776054
原文链接:https://pmc.ncbi.nlm.nih.gov/articles/PMC8021270/
Abstract

BACKGROUND Intravenous drug use is an epidemic in the United States. One of the complications of intravenous drug use can be infective endocarditis. The treatment for this disease is a combination of intravenous antibiotics, cardiac surgery consultation, and multidisciplinary psychiatric care. Despite surgical intervention, recurrence of disease is common. In the setting of recurrent infective endocarditis in the setting of intravenous drug use, the ethics of redo cardiac surgery has not been well-established. CASE REPORT A 34-year-old man with history of intravenous drug use presented on 3 separate occasions with infective endocarditis resulting in 3 tricuspid valve surgeries within fewer than 7 months. He said he had not injected drugs since before his first operation, he was considered to have a strong social support system, and he completed his postoperative antibiotic regimens each time. However, prior to his last operation, the patient had a urine drug screen positive for opiates without recorded prescribed opioids. Pathology reports from the 3 intraoperative specimens showed different pathogens each time. An extensive interprofessional discussion ensued. CONCLUSIONS Infective endocarditis in the setting of intravenous drug use and its treatments continue to be a point of ethical and medical discussion for all professionals involved with the care of these patients. This case could be used as an example of individualized decision-making, with rigorous ethical and medical discussion factoring into each decision for cardiac surgery. The ongoing treatment for patients with recurrent endocarditis in the setting of intravenous drug use requires more research and guidelines to help medical professionals better care for this patient population.

摘要

背景

静脉注射毒品在美国是一种流行现象。静脉注射毒品的一种并发症可能是感染性心内膜炎。这种疾病的治疗方法是静脉内使用抗生素、心脏手术咨询和多学科精神科护理的组合。尽管进行了手术干预,但疾病的复发仍然很常见。在静脉注射毒品引起的复发性感染性心内膜炎的情况下,再次进行心脏手术的伦理问题尚未得到很好的确立。

病例报告

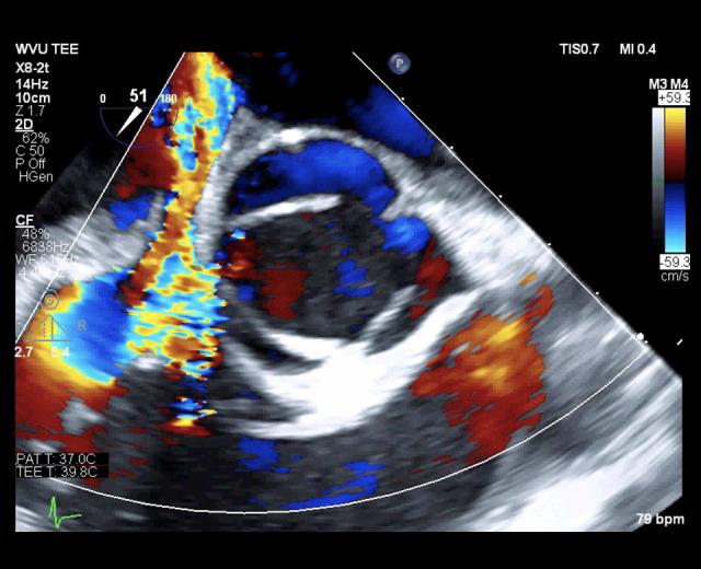
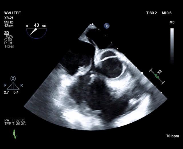
一名 34 岁男性,有静脉注射毒品史,因感染性心内膜炎在不到 7 个月的时间内进行了 3 次三尖瓣手术。他说他在第一次手术前没有注射过毒品,他有一个强大的社会支持系统,并且每次都完成了术后抗生素治疗方案。然而,在他最后一次手术前,患者的尿液药物筛查呈阿片类药物阳性,而没有记录的阿片类药物处方。3 次术中标本的病理报告显示每次都有不同的病原体。随后进行了广泛的跨专业讨论。

结论

静脉注射毒品引起的感染性心内膜炎及其治疗方法继续成为所有参与这些患者护理的专业人员的伦理和医学讨论点。这个病例可以作为个体化决策的一个例子,严格的伦理和医学讨论纳入了每次心脏手术的决策。在静脉注射毒品引起的复发性心内膜炎的持续治疗中,需要更多的研究和指南来帮助医疗专业人员更好地照顾这一患者群体。

https://cdn.ncbi.nlm.nih.gov/pmc/blobs/27a1/8021270/fe6e4547d63b/amjcaserep-22-e927385-g003.jpg
https://cdn.ncbi.nlm.nih.gov/pmc/blobs/27a1/8021270/32fb1dd67774/amjcaserep-22-e927385-g001.jpg
https://cdn.ncbi.nlm.nih.gov/pmc/blobs/27a1/8021270/a3ed30e3bc87/amjcaserep-22-e927385-g002.jpg
https://cdn.ncbi.nlm.nih.gov/pmc/blobs/27a1/8021270/fe6e4547d63b/amjcaserep-22-e927385-g003.jpg
https://cdn.ncbi.nlm.nih.gov/pmc/blobs/27a1/8021270/32fb1dd67774/amjcaserep-22-e927385-g001.jpg
https://cdn.ncbi.nlm.nih.gov/pmc/blobs/27a1/8021270/a3ed30e3bc87/amjcaserep-22-e927385-g002.jpg
https://cdn.ncbi.nlm.nih.gov/pmc/blobs/27a1/8021270/fe6e4547d63b/amjcaserep-22-e927385-g003.jpg

相似文献

1
A 34-Year-Old Male Intravenous Drug User with a Third Episode of Tricuspid Valve Endocarditis Treated with Repeat Valve Surgery.一位 34 岁男性静脉药物使用者,第三次三尖瓣心内膜炎发作,经重复瓣膜手术治疗。
Am J Case Rep. 2021 Mar 29;22:e927385. doi: 10.12659/AJCR.927385.
2
Recurrent Bioprosthetic Valve Serratia marcescens Endocarditis in Intravenous Drug Users.静脉药物使用者复发性生物瓣黏质沙雷菌心内膜炎。
Am J Case Rep. 2023 Jul 6;24:e939292. doi: 10.12659/AJCR.939292.
3
Pulmonary valve neocuspidization and tricuspid valve replacement in intravenous drug abusers with infective endocarditis: Report of two cases.静脉药物滥用患者感染性心内膜炎行肺动脉瓣新瓣化和三尖瓣置换术:两例报告。
Interact Cardiovasc Thorac Surg. 2022 Jul 9;35(2). doi: 10.1093/icvts/ivac063.
4
[Tricuspid valve repair for active infective endocarditis in a drug addict].[药物成瘾者活动性感染性心内膜炎的三尖瓣修复术]
Kyobu Geka. 2007 Aug;60(9):812-5.
5
Cardiac surgery for infective endocarditis in patients with intravenous drug use.静脉吸毒患者感染性心内膜炎的心脏手术
Interact Cardiovasc Thorac Surg. 2016 May;22(5):633-40. doi: 10.1093/icvts/ivv397. Epub 2016 Jan 29.
6
Eikenella corrodens endocarditis of the tricuspid valve in an intravenous drug user.静脉吸毒者三尖瓣的腐蚀艾肯菌心内膜炎。
Pol Merkur Lekarski. 2017 Feb 20;42(248):81-83.
7
A rare Serratia marcescens-associated acute endocarditis of a tricuspid valve in an intravenous drug user : A case report and literature review.静脉药物使用者罕见的阴沟肠杆菌相关性三尖瓣急性心内膜炎:病例报告及文献复习。
Wien Klin Wochenschr. 2023 Nov;135(21-22):631-636. doi: 10.1007/s00508-023-02217-0. Epub 2023 May 31.
8
Isolated Tricuspid Valvectomy: A Series of cases with Intravenous Drug Abuse Associated Tricuspid Valve Endocarditis.孤立性三尖瓣切除术:一系列与静脉药物滥用相关的三尖瓣心内膜炎病例
Thorac Cardiovasc Surg. 2019 Dec;67(8):631-636. doi: 10.1055/s-0038-1672173. Epub 2018 Oct 8.
9
[Tricuspid valve infective endocarditis in intravenous drug abuser].静脉药物滥用者的三尖瓣感染性心内膜炎
Vnitr Lek. 2013 Oct;59(10):939-42.
10
Tricuspid Valve Infective Endocarditis Due to in Intravenous Drug User.静脉药物使用者所致三尖瓣感染性心内膜炎
Hawaii J Med Public Health. 2019 Mar;78(3):98-102.

引用本文的文献

1
Recurrent Bioprosthetic Valve Serratia marcescens Endocarditis in Intravenous Drug Users.静脉药物使用者复发性生物瓣黏质沙雷菌心内膜炎。
Am J Case Rep. 2023 Jul 6;24:e939292. doi: 10.12659/AJCR.939292.
2
Virulent endocarditis due to : A systematic review of the literature.由……引起的恶性心内膜炎:文献系统综述
World J Cardiol. 2022 Oct 26;14(10):546-556. doi: 10.4330/wjc.v14.i10.546.
3
Erratum: A 34-Year-Old Male Intravenous Drug User with a Third Episode of Tricuspid Valve Endocarditis Treated with Repeat Valve Surgery.

本文引用的文献

1
Ethical Dilemma: Should Continuous Intravenous Drug Use Affect Appropriate Management in Prosthetic Valve Endocarditis?伦理困境:持续静脉注射毒品是否会影响人工瓣膜心内膜炎的合理治疗?
Cureus. 2020 Jun 5;12(6):e8458. doi: 10.7759/cureus.8458.
2
Infective endocarditis in intravenous drug users.静脉药物使用者中的感染性心内膜炎。
Trends Cardiovasc Med. 2020 Nov;30(8):491-497. doi: 10.1016/j.tcm.2019.11.007. Epub 2019 Nov 26.
3
Risk of reoperative valve surgery for endocarditis associated with drug use.因药物使用相关的心内膜炎而再次行瓣膜手术的风险。
勘误:一名34岁男性静脉吸毒者,第三次发生三尖瓣心内膜炎,接受再次瓣膜手术治疗。
Am J Case Rep. 2021 Aug 17;22:e934383. doi: 10.12659/AJCR.934383.
J Thorac Cardiovasc Surg. 2020 Apr;159(4):1262-1268.e2. doi: 10.1016/j.jtcvs.2019.06.055. Epub 2019 Jul 10.
4
Management of endocarditis among persons who inject drugs: A narrative review of surgical and psychiatric approaches and controversies.注射吸毒者心内膜炎的管理:手术和精神科方法及争议的叙述性综述。
Gen Hosp Psychiatry. 2019 Mar-Apr;57:44-49. doi: 10.1016/j.genhosppsych.2019.01.008. Epub 2019 Jan 31.
5
Drug and Opioid-Involved Overdose Deaths - United States, 2013-2017.药物和阿片类药物滥用相关的过量死亡-美国,2013-2017 年。
MMWR Morb Mortal Wkly Rep. 2018 Jan 4;67(5152):1419-1427. doi: 10.15585/mmwr.mm675152e1.
6
Tricuspid valve endocarditis.三尖瓣心内膜炎
Ann Cardiothorac Surg. 2017 May;6(3):255-261. doi: 10.21037/acs.2017.03.09.
7
2016 The American Association for Thoracic Surgery (AATS) consensus guidelines: Surgical treatment of infective endocarditis: Executive summary.2016年美国胸外科协会(AATS)共识指南:感染性心内膜炎的外科治疗:执行摘要。
J Thorac Cardiovasc Surg. 2017 Jun;153(6):1241-1258.e29. doi: 10.1016/j.jtcvs.2016.09.093. Epub 2017 Jan 24.
8
Epidemiological and mortality trends in infective endocarditis, a 17-year population-based prospective study.感染性心内膜炎的流行病学和死亡率趋势:一项基于人群的17年前瞻性研究
Cardiovasc Diagn Ther. 2017 Feb;7(1):27-35. doi: 10.21037/cdt.2016.08.09.
9
Emergency Hybrid Approach to Ruptured Femoral Pseudoaneurysm in HIV-positive Intravenous Drug Abusers.HIV 阳性静脉吸毒者股动脉假性动脉瘤破裂的急诊混合治疗方法
Ann Vasc Surg. 2017 Apr;40:297.e5-297.e12. doi: 10.1016/j.avsg.2016.07.086. Epub 2016 Nov 28.
10
Surgical outcomes of infective endocarditis among intravenous drug users.静脉药物使用者感染性心内膜炎的手术治疗结果。
J Thorac Cardiovasc Surg. 2016 Sep;152(3):832-841.e1. doi: 10.1016/j.jtcvs.2016.02.072. Epub 2016 Mar 12.