Suppr超能文献

反复耳部出血伴双侧严重感音神经性听力损失:一例孟乔森综合征病例。

Recurrent ear bleed with profound bilateral sensorineural hearing loss: A case of Munchausen syndrome.

作者信息

Adhikari Tika Ram, Dorji Thinley

机构信息

Department of ENT and Head and Neck Surgery, Jigme Dorji Wangchuck National Referral Hospital, Thimphu, Bhutan.

Department of Internal Medicine, Jigme Dorji Wangchuck National Referral Hospital, Thimphu, Bhutan.

出版信息

SAGE Open Med Case Rep. 2021 Mar 12;9:2050313X211000869. doi: 10.1177/2050313X211000869. eCollection 2021.

Abstract

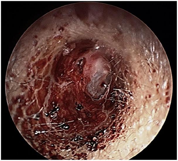
Factitious disorders and Munchausen syndromes present with history and physical symptoms to all specialties, and they are often extensively evaluated. Diagnosis of Munchausen syndrome is a challenge and patients often do not receive the correct diagnosis and appropriate care especially in settings where access to mental health professionals is difficult. We present a case of recurrent bleed from the right ear, bilateral profound hearing loss and jerky movement of limbs that was extensively evaluated and followed up for 4 years until a diagnosis of Munchausen syndrome was reached. This case reports the risk of harm to the patient and wastage of healthcare resources unless physicians begin to actively evaluate for factitious disorders.

摘要

做作性障碍和孟乔森综合征会向所有专科呈现病史和身体症状,并且它们常常会接受广泛评估。孟乔森综合征的诊断具有挑战性,尤其是在难以获得心理健康专业人员帮助的情况下,患者往往无法得到正确诊断和适当治疗。我们报告一例右耳反复出血、双侧重度听力丧失和肢体抽搐运动的病例,该病例接受了广泛评估并随访4年,最终确诊为孟乔森综合征。本病例报告了除非医生开始积极评估做作性障碍,否则患者可能受到伤害以及医疗资源被浪费的风险。

https://cdn.ncbi.nlm.nih.gov/pmc/blobs/ba2f/7958153/14f7cd93180a/10.1177_2050313X211000869-fig1.jpg

文献检索

告别复杂PubMed语法,用中文像聊天一样搜索,搜遍4000万医学文献。AI智能推荐,让科研检索更轻松。

立即免费搜索

文件翻译

保留排版,准确专业,支持PDF/Word/PPT等文件格式,支持 12+语言互译。

免费翻译文档

深度研究

AI帮你快速写综述,25分钟生成高质量综述,智能提取关键信息,辅助科研写作。

立即免费体验