Suppr超能文献

LY3023414通过PI3K/Akt/GSK3信号通路抑制成骨作用和破骨细胞生成。

LY3023414 inhibits both osteogenesis and osteoclastogenesis through the PI3K/Akt/GSK3 signalling pathway.

作者信息

Chen Xiaojun, Chen Wei, Aung Zin Mar, Han Wenqing, Zhang Yan, Chai Gang

机构信息

Department of Plastic and Reconstructive Surgery, Shanghai Ninth People's Hospital, Shanghai Jiao Tong University School of Medicine, Shanghai, China.

出版信息

Bone Joint Res. 2021 Apr;10(4):237-249. doi: 10.1302/2046-3758.104.BJR-2020-0255.R2.

Abstract

AIMS

LY3023414 is a novel oral phosphatidylinositol 3-kinase (PI3K)/mammalian target of rapamycin (mTOR) dual inhibitor designed for advanced cancers, for which a phase II clinical study was completed in March 2020; however, little is known about its effect on bone modelling/remodelling. In this study, we aimed to explore the function of LY3023414 in bone modelling/remodelling.

METHODS

The function of LY3023414 was explored in the context of osteogenesis (bone formation by osteoblasts) and osteoclastogenesis (osteoclast formation and bone resorption). Murine preosteoblast MC3T3-E1 cell line and murine bone marrow-derived macrophage cells (BMMs) were subjected to different treatments. An MTS cell proliferation assay was used to examine the cytotoxicity. Thereafter, different induction conditions were applied, such as MCSF and RANKL for osteoclastogenesis and osteogenic media for osteogenesis. Specific staining, a bone resorption assay, and quantitative real-time polymerase chain reaction (qRT-PCR) were subsequently used to evaluate the effect of LY3023414. Moreover, small interfering RNA (siRNA) was applied to knockdown Akt1 or Akt2 for further validation. Lastly, western blot was used to examine the exact mechanism of action.

RESULTS

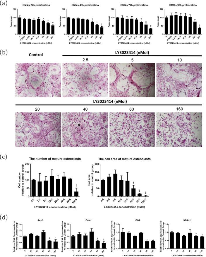
LY3023414 attenuated PI3K/protein kinase B (Akt)/GSK3-dependent activation of β-catenin and nuclear factor-activated T cell 1 (NFATc1) during osteogenesis and osteoclastogenesis, respectively. LY3023414 mainly inhibited osteoclast formation instead of mature osteoclast function. Moreover, it suppressed osteogenesis both in the early stage of differentiation and late stage of calcification. Similarly, gene knockdown of Akt isoforms by siRNA downregulated osteogenic and osteoclastogenic processes, indicating that Akt1 and Akt2 acted synergistically.

CONCLUSION

LY3023414 can suppress osteogenesis and osteoclastogenesis through inhibition of the PI3K/Akt/GSK3 signalling pathway, which highlights the potential benefits and side effects of LY3023414 for future clinical applications. Cite this article:  2021;10(4):237-249.

摘要

目的

LY3023414是一种新型口服磷脂酰肌醇3激酶(PI3K)/哺乳动物雷帕霉素靶蛋白(mTOR)双重抑制剂,用于治疗晚期癌症,其II期临床研究已于2020年3月完成;然而,关于其对骨建模/重塑的影响知之甚少。在本研究中,我们旨在探讨LY3023414在骨建模/重塑中的作用。

方法

在成骨(成骨细胞形成骨)和破骨细胞生成(破骨细胞形成和骨吸收)的背景下探讨LY3023414的作用。对小鼠前成骨细胞MC3T3-E1细胞系和小鼠骨髓来源的巨噬细胞(BMMs)进行不同处理。采用MTS细胞增殖试验检测细胞毒性。此后,应用不同的诱导条件,如用于破骨细胞生成的MCSF和RANKL以及用于成骨的成骨培养基。随后使用特异性染色、骨吸收试验和定量实时聚合酶链反应(qRT-PCR)来评估LY3023414的作用。此外,应用小干扰RNA(siRNA)敲低Akt1或Akt2以进行进一步验证。最后,使用蛋白质印迹法检测确切的作用机制。

结果

LY3023414分别在成骨和破骨细胞生成过程中减弱了PI3K/蛋白激酶B(Akt)/GSK3依赖的β-连环蛋白和核因子活化T细胞1(NFATc1)的激活。LY3023414主要抑制破骨细胞形成而非成熟破骨细胞功能。此外,它在分化早期和钙化晚期均抑制成骨。同样,通过siRNA敲低Akt亚型的基因下调了成骨和破骨细胞生成过程,表明Akt1和Akt2协同作用。

结论

LY3023414可通过抑制PI3K/Akt/GSK3信号通路抑制成骨和破骨细胞生成,这突出了LY3023414在未来临床应用中的潜在益处和副作用。引用本文:2021;10(4):237-249。

https://cdn.ncbi.nlm.nih.gov/pmc/blobs/2e36/8076989/a36daa684ad5/BJR-10-237-g0001.jpg

文献AI研究员

20分钟写一篇综述,助力文献阅读效率提升50倍。

立即体验

用中文搜PubMed

大模型驱动的PubMed中文搜索引擎

马上搜索

文档翻译

学术文献翻译模型,支持多种主流文档格式。

立即体验