Chou Ming-Huei, Chuang Hui-Ching, Lin Yu-Tsai, Tsai Ming-Hsien, Kao Ying-Hsien, Lin I-Chun, Huang Tai-Lin, Fang Fu-Min, Chien Chih-Yen
Graduate Institute of Clinical Medical Sciences, Chang Gung University College of Medicine, Kaohsiung 83301, Taiwan.
Center for General Education, Cheng-Shiu University, Kaohsiung 83347, Taiwan.
Int J Mol Sci. 2021 Mar 17;22(6):3046. doi: 10.3390/ijms22063046.
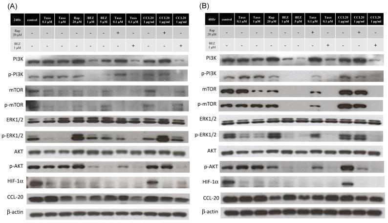
Patients with advanced head and neck squamous cell carcinoma (HNSCC) usually show a dismal prognosis. It is this worthwhile to develop new, effective therapeutic regimens for these patients, such as molecular targeted therapy, which is promising as an alternative or combination treatment for HNSCC. The mammalian target of rapamycin (mTOR) pathway, which plays an important role in the carcinogenesis of HNSCC, is the most frequently activated, and is thus worthy of further investigation. In this study, two human HNSCC cell lines, FaDu and SAS, were evaluated for cell growth with trypan blue staining and tumor growth using an orthotopic xenograft model. The immunohistochemical expression of mTOR in the subcutaneous xenograft model and the inhibitory effects of docetaxel on the growth and state of activation of the PI3K/mTOR pathway were also evaluated and examined by colony formation and Western blot, respectively. Cell proliferation and migration were measured by water-soluble tetrazolium salt (WST-1) and Oris cell migration assay, respectively. Furthermore, the effects of rapamycin and BEZ235, a phosphatidylinositol 3-kinases (PI3K) and mTOR inhibitor in combination with docetaxel or CCL20 were evaluated in the FaDu and SAS cells. The results showed that the expression of mTOR was significantly higher in the SAS and FaDu xenograft models than in the control. Docetaxel treatment significantly suppressed HNSCC cell proliferation and migration in vitro via the PI3K/mTOR/CCL-20 signaling pathway. Additionally, when administered in a dose-dependent fashion, mTOR inhibitors inhibited the growth and migration of the HNSCC cells. This combination was synergistic with docetaxel, resulting in almost complete cell growth and migration arrest. In conclusion, docetaxel significantly inhibited HNSCC cell proliferation and migration in vitro via the PI3K/mTOR/CCL-20 signaling pathway. The synergistic and additive activity of mTOR inhibitors combined with docetaxel shows potential as a new treatment strategy for HNSCC.
晚期头颈部鳞状细胞癌(HNSCC)患者通常预后不佳。因此,为这些患者开发新的有效治疗方案是很有价值的,比如分子靶向治疗,它有望成为HNSCC的替代或联合治疗方法。雷帕霉素哺乳动物靶点(mTOR)通路在HNSCC的致癌过程中起重要作用,是最常被激活的通路,因此值得进一步研究。在本研究中,使用台盼蓝染色评估了两种人HNSCC细胞系FaDu和SAS的细胞生长情况,并利用原位异种移植模型评估了肿瘤生长情况。还分别通过集落形成和蛋白质免疫印迹法评估和检测了皮下异种移植模型中mTOR的免疫组化表达以及多西他赛对PI3K/mTOR通路的生长和激活状态的抑制作用。分别通过水溶性四氮唑盐(WST-1)和Oris细胞迁移试验测量细胞增殖和迁移。此外,还在FaDu和SAS细胞中评估了雷帕霉素和BEZ235(一种磷脂酰肌醇3激酶(PI3K)和mTOR抑制剂)与多西他赛或CCL20联合使用的效果。结果显示,mTOR在SAS和FaDu异种移植模型中的表达明显高于对照组。多西他赛治疗通过PI3K/mTOR/CCL-20信号通路显著抑制体外HNSCC细胞的增殖和迁移。此外,以剂量依赖方式给药时,mTOR抑制剂抑制了HNSCC细胞的生长和迁移。这种联合用药与多西他赛具有协同作用,导致细胞生长和迁移几乎完全停滞。总之,多西他赛通过PI3K/mTOR/CCL-20信号通路显著抑制体外HNSCC细胞的增殖和迁移。mTOR抑制剂与多西他赛联合使用的协同和相加活性显示出作为HNSCC新治疗策略的潜力。