• 文献检索
  • 文档翻译
  • 深度研究
  • 学术资讯
  • Suppr Zotero 插件Zotero 插件
  • 邀请有礼
  • 套餐&价格
  • 历史记录
应用&插件
Suppr Zotero 插件Zotero 插件浏览器插件Mac 客户端Windows 客户端微信小程序
定价
高级版会员购买积分包购买API积分包
服务
文献检索文档翻译深度研究API 文档MCP 服务
关于我们
关于 Suppr公司介绍联系我们用户协议隐私条款
关注我们

Suppr 超能文献

核心技术专利:CN118964589B侵权必究
粤ICP备2023148730 号-1Suppr @ 2026

文献检索

告别复杂PubMed语法,用中文像聊天一样搜索,搜遍4000万医学文献。AI智能推荐,让科研检索更轻松。

立即免费搜索

文件翻译

保留排版,准确专业,支持PDF/Word/PPT等文件格式,支持 12+语言互译。

免费翻译文档

深度研究

AI帮你快速写综述,25分钟生成高质量综述,智能提取关键信息,辅助科研写作。

立即免费体验

线粒体综合征再探讨

Mitochondrial Syndromes Revisited.

作者信息

Orsucci Daniele, Caldarazzo Ienco Elena, Rossi Andrea, Siciliano Gabriele, Mancuso Michelangelo

机构信息

Unit of Neurology, San Luca Hospital, 55100 Lucca, Italy.

Medical Affairs and Scientific Communications, 1260 Nyon, Switzerland.

出版信息

J Clin Med. 2021 Mar 17;10(6):1249. doi: 10.3390/jcm10061249.

DOI:10.3390/jcm10061249
PMID:33802970
原文链接:https://pmc.ncbi.nlm.nih.gov/articles/PMC8002645/
Abstract

In the last ten years, the knowledge of the genetic basis of mitochondrial diseases has significantly advanced. However, the vast phenotypic variability linked to mitochondrial disorders and the peculiar characteristics of their genetics make mitochondrial disorders a complex group of disorders. Although specific genetic alterations have been associated with some syndromic presentations, the genotype-phenotype relationship in mitochondrial disorders is complex (a single mutation can cause several clinical syndromes, while different genetic alterations can cause similar phenotypes). This review will revisit the most common syndromic pictures of mitochondrial disorders, from a clinical rather than a molecular perspective. We believe that the new phenotype definitions implemented by recent large multicenter studies, and revised here, may contribute to a more homogeneous patient categorization, which will be useful in future studies on natural history and clinical trials.

摘要

在过去十年中,线粒体疾病的遗传基础研究取得了显著进展。然而,与线粒体疾病相关的巨大表型变异性及其遗传学的独特特征,使线粒体疾病成为一组复杂的疾病。尽管特定的基因改变已与某些综合征表现相关联,但线粒体疾病的基因型-表型关系很复杂(单个突变可导致多种临床综合征,而不同的基因改变可导致相似的表型)。本综述将从临床而非分子角度重新审视线粒体疾病最常见的综合征表现。我们认为,近期大型多中心研究所采用并在此修订的新表型定义,可能有助于实现更统一的患者分类,这将对未来的自然史研究和临床试验有用。

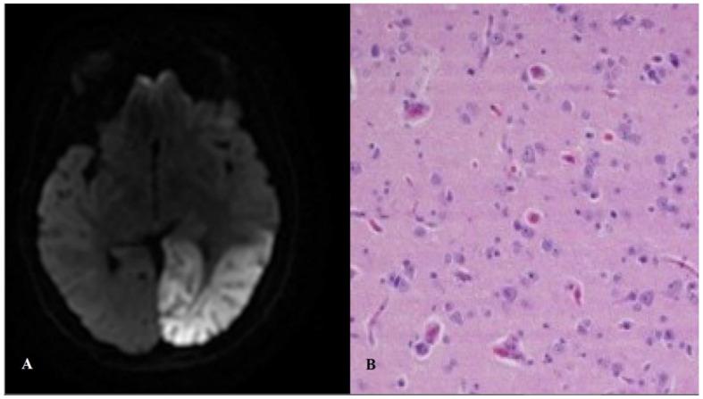
https://cdn.ncbi.nlm.nih.gov/pmc/blobs/fedf/8002645/3b0bdd3f8fac/jcm-10-01249-g002.jpg
https://cdn.ncbi.nlm.nih.gov/pmc/blobs/fedf/8002645/7449e81a132f/jcm-10-01249-g001.jpg
https://cdn.ncbi.nlm.nih.gov/pmc/blobs/fedf/8002645/3b0bdd3f8fac/jcm-10-01249-g002.jpg
https://cdn.ncbi.nlm.nih.gov/pmc/blobs/fedf/8002645/7449e81a132f/jcm-10-01249-g001.jpg
https://cdn.ncbi.nlm.nih.gov/pmc/blobs/fedf/8002645/3b0bdd3f8fac/jcm-10-01249-g002.jpg

相似文献

1
Mitochondrial Syndromes Revisited.线粒体综合征再探讨
J Clin Med. 2021 Mar 17;10(6):1249. doi: 10.3390/jcm10061249.
2
Mitochondrial Medicine in the COVID-19 Era.新冠疫情时代的线粒体医学
J Clin Med. 2021 Nov 10;10(22):5235. doi: 10.3390/jcm10225235.
3
Revisiting mitochondrial ocular myopathies: a study from the Italian Network.线粒体脑肌病伴高乳酸血症和卒中样发作的临床、病理和遗传学研究进展
J Neurol. 2017 Aug;264(8):1777-1784. doi: 10.1007/s00415-017-8567-z. Epub 2017 Jul 10.
4
Epilepsy in mitochondrial disorders.线粒体疾病相关癫痫
Seizure. 2012 Jun;21(5):316-21. doi: 10.1016/j.seizure.2012.03.003. Epub 2012 Mar 27.
5
Mutations in the ND5 subunit of complex I of the mitochondrial DNA are a frequent cause of oxidative phosphorylation disease.线粒体DNA复合体I的ND5亚基突变是氧化磷酸化疾病的常见病因。
J Med Genet. 2007 Apr;44(4):e74. doi: 10.1136/jmg.2006.045716.
6
The expanding clinical spectrum of mitochondrial diseases.线粒体疾病不断扩展的临床谱。
Brain Dev. 1993 Jan-Feb;15(1):1-22. doi: 10.1016/0387-7604(93)90002-p.
7
Genetic, pathogenetic, and phenotypic implications of the mitochondrial A3243G tRNALeu(UUR) mutation.线粒体A3243G亮氨酰-tRNA(UUR)突变的遗传、致病机制及表型影响
Acta Neurol Scand. 2007 Jul;116(1):1-14. doi: 10.1111/j.1600-0404.2007.00836.x.
8
Clinical features of mtDNA-related syndromes in adulthood.成人中线粒体 DNA 相关综合征的临床特征。
Arch Biochem Biophys. 2021 Jan 15;697:108689. doi: 10.1016/j.abb.2020.108689. Epub 2020 Nov 20.
9
Heterogeneity in the phenotypic expression of the mutation in the mitochondrial tRNA(Leu) (UUR) gene generally associated with the MELAS subset of mitochondrial encephalomyopathies.线粒体脑肌病MELAS亚型通常与线粒体tRNA(Leu)(UUR)基因突变的表型表达异质性相关。
Aust N Z J Med. 1994 Apr;24(2):188-93. doi: 10.1111/j.1445-5994.1994.tb00556.x.
10
Unique presentation of LHON/MELAS overlap syndrome caused by m.13046T>C in MTND5.由线粒体DNA编码的NADH脱氢酶亚基5(MTND5)基因m.13046T>C突变导致的Leber遗传性视神经病变/线粒体脑肌病伴乳酸血症和卒中样发作重叠综合征的独特表现
Ophthalmic Genet. 2016 Dec;37(4):419-423. doi: 10.3109/13816810.2015.1092045. Epub 2016 Feb 19.

引用本文的文献

1
Causes of and Solutions to Mitochondrial Disorders: A Literature Review.线粒体疾病的病因与解决方案:文献综述
Int J Mol Sci. 2025 Jul 11;26(14):6645. doi: 10.3390/ijms26146645.
2
Spectrum of clinical neuroimaging in mitochondrial disorders: a neuroanatomical approach.线粒体疾病的临床神经影像学谱:一种神经解剖学方法
Pediatr Radiol. 2025 May 2. doi: 10.1007/s00247-025-06252-z.
3
Application of rapid clinical exome sequencing technology in the diagnosis of critically ill pediatric patients with suspected genetic diseases.

本文引用的文献

1
Multi-Omics Approaches to Improve Mitochondrial Disease Diagnosis: Challenges, Advances, and Perspectives.改善线粒体疾病诊断的多组学方法:挑战、进展与展望
Front Mol Biosci. 2020 Nov 2;7:590842. doi: 10.3389/fmolb.2020.590842. eCollection 2020.
2
Primary mitochondrial myopathy: Clinical features and outcome measures in 118 cases from Italy.原发性线粒体肌病:来自意大利的118例患者的临床特征及疗效评估
Neurol Genet. 2020 Oct 20;6(6):e519. doi: 10.1212/NXG.0000000000000519. eCollection 2020 Dec.
3
Mitochondrial disorders of the OXPHOS system.
快速临床外显子组测序技术在疑似遗传疾病危重症儿科患者诊断中的应用
Front Genet. 2025 Mar 10;16:1526077. doi: 10.3389/fgene.2025.1526077. eCollection 2025.
4
Clinical manifestations and pathogenesis of mitochondrial dysfunction in short stature.身材矮小中线粒体功能障碍的临床表现与发病机制。
World J Pediatr. 2025 Mar;21(3):223-251. doi: 10.1007/s12519-025-00881-y. Epub 2025 Feb 26.
5
Targeting Mitochondrial Dysfunction in Cerebral Ischemia: Advances in Pharmacological Interventions.针对脑缺血中线粒体功能障碍:药理学干预进展
Antioxidants (Basel). 2025 Jan 18;14(1):108. doi: 10.3390/antiox14010108.
6
Disease models of Leigh syndrome: From yeast to organoids. Leigh 综合征的疾病模型:从酵母到类器官。
J Inherit Metab Dis. 2024 Nov;47(6):1292-1321. doi: 10.1002/jimd.12804. Epub 2024 Oct 9.
7
Neuroglobin overexpression in cerebellar neurons of Harlequin mice improves mitochondrial homeostasis and reduces ataxic behavior.神经球蛋白在哈林顿鼠小脑神经元中的过表达改善了线粒体的动态平衡并减少了共济失调行为。
Mol Ther. 2024 Jul 3;32(7):2150-2175. doi: 10.1016/j.ymthe.2024.05.030. Epub 2024 May 24.
8
Primary Coenzyme Q10 Deficiency-Related Ataxias.原发性辅酶Q10缺乏相关共济失调
J Clin Med. 2024 Apr 19;13(8):2391. doi: 10.3390/jcm13082391.
9
A Case Report of a Clinically Suspected Diagnosis of Mitochondrial Encephalomyopathy, Lactic Acidosis, and Stroke-Like Episodes (MELAS) Syndrome With Cardiac Impairment.一例临床疑似诊断为线粒体脑肌病伴乳酸酸中毒和卒中样发作(MELAS)综合征合并心脏损害的病例报告。
Cureus. 2024 Mar 26;16(3):e56980. doi: 10.7759/cureus.56980. eCollection 2024 Mar.
10
Red Flags in Primary Mitochondrial Diseases: What Should We Recognize?原发性线粒体疾病的“危险信号”:我们应该识别什么?
Int J Mol Sci. 2023 Nov 25;24(23):16746. doi: 10.3390/ijms242316746.
氧化磷酸化系统的线粒体疾病。
FEBS Lett. 2021 Apr;595(8):1062-1106. doi: 10.1002/1873-3468.13995. Epub 2020 Dec 18.
4
MITO-FIND: A study in 390 patients to determine a diagnostic strategy for mitochondrial disease.MITO-FIND:一项针对 390 名患者的研究,旨在确定线粒体疾病的诊断策略。
Mol Genet Metab. 2020 Sep-Oct;131(1-2):66-82. doi: 10.1016/j.ymgme.2020.08.009. Epub 2020 Sep 18.
5
Visual Outcomes in Leber Hereditary Optic Neuropathy Patients With the m.11778G>A (MTND4) Mitochondrial DNA Mutation.携带 m.11778G>A(MTND4)线粒体 DNA 突变的 Leber 遗传性视神经病变患者的视觉结果。
J Neuroophthalmol. 2020 Dec;40(4):547-557. doi: 10.1097/WNO.0000000000001045.
6
Mitochondrial neurogastrointestinal encephalomyopathy (MNGIE): Position paper on diagnosis, prognosis, and treatment by the MNGIE International Network.线粒体神经胃肠型脑肌病(MNGIE):MNGIE 国际网络关于诊断、预后和治疗的立场文件。
J Inherit Metab Dis. 2021 Mar;44(2):376-387. doi: 10.1002/jimd.12300. Epub 2020 Sep 8.
7
Long-term screening for primary mitochondrial DNA variants associated with Leber hereditary optic neuropathy: incidence, penetrance and clinical features.长期筛查与 Leber 遗传性视神经病变相关的原发性线粒体 DNA 变异:发生率、外显率和临床特征。
Mitochondrion. 2020 Sep;54:128-132. doi: 10.1016/j.mito.2020.08.007. Epub 2020 Aug 28.
8
Impact of cardiovascular involvement on the clinical course of paediatric mitochondrial disorders.心血管受累对儿科线粒体疾病临床病程的影响。
Orphanet J Rare Dis. 2020 Jul 31;15(1):196. doi: 10.1186/s13023-020-01466-w.
9
Mitofusin 2 Dysfunction and Disease in Mice and Men.小鼠和人类中的线粒体融合蛋白2功能障碍与疾病
Front Physiol. 2020 Jul 9;11:782. doi: 10.3389/fphys.2020.00782. eCollection 2020.
10
Altered spontaneous brain activity at attack and remission stages in patients with mitochondrial encephalomyopathy, lactic acidosis and stroke-like episodes (MELAS): Beyond stroke-like lesions.线粒体脑肌病伴高乳酸血症和卒中样发作(MELAS)患者在发作期和缓解期自发性脑活动的改变:超越卒中样病灶。
Mitochondrion. 2020 Sep;54:49-56. doi: 10.1016/j.mito.2020.07.002. Epub 2020 Jul 15.