Suppr超能文献

病例报告:母源性单亲二体导致的硫胺素反应性巨幼细胞贫血综合征的遗传和临床特征

Case Report: Genetic and Clinical Features of Maternal Uniparental Isodisomy-Induced Thiamine-Responsive Megaloblastic Anemia Syndrome.

作者信息

Kang Pengjiang, Zhang Weihua, Wen Jinquan, Zhang Jiming, Li Fei, Sun Wuxia

机构信息

Caihong Hospital, Xianyang, China.

出版信息

Front Pediatr. 2021 Mar 19;9:630329. doi: 10.3389/fped.2021.630329. eCollection 2021.

Abstract

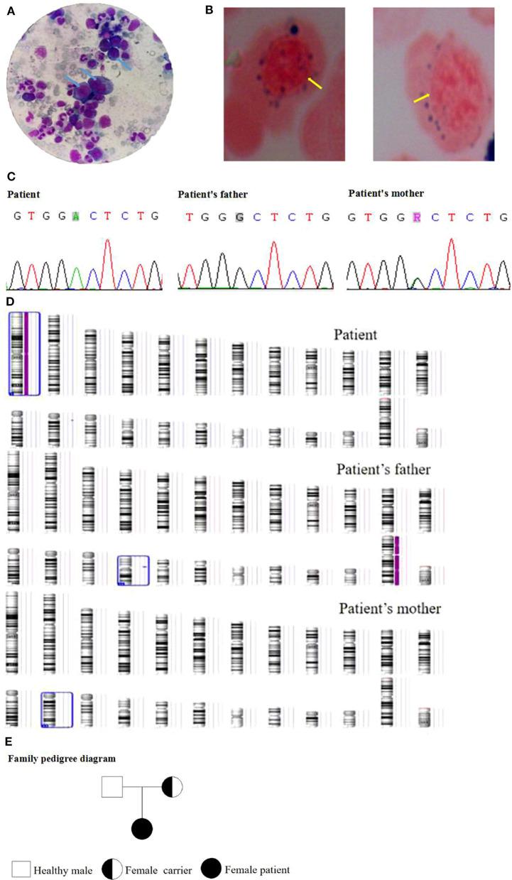
Thiamine-responsive megaloblastic anemia syndrome (TRMA) is a rare autosomal recessive hereditary disease due to mutations in . Some cases show familial inheritance. A female patient (from a gravida 1, para 1 mother) of 3.5 years of age was admitted to the Pediatric Hematology Department of Xianyang Caihong Hospital in June 2019. The patient had severe anemia, acupoint-size bleeding spots, and a few ecchymoses all over her body, as well as astigmatism and hyperopia. Hearing was normal. The patient had diabetes. Bone marrow biopsy suggested a myelodysplastic syndrome. The patient had a c.515G>A (p.G172D) homozygous mutation of (NM_006996), indicating TRMA. Genetic testing revealed that the two alleles were inherited from her mother alone due to maternal uniparental isodisomy (UPD). The patient was treated with thiamine and a subcutaneous injection of insulin. The patient recovered well and was discharged. She continued thiamine and insulin at the same dose and was followed once a month. The last follow-up on September 15, 2020, showed no anemia or bleeding. She had a sound hearing and normal blood routine and fasting glucose levels. Hyperopia and astigmatism did not improve. The patient had TRMA induced by the c.515G>A (p.G172D) homozygous mutation of inherited through maternal UPD. The genetic diagnosis of TRMA is of significance for guiding clinical treatment. Early treatment with exogenous thiamine can improve some of the clinical features of TRMA.

摘要

硫胺素反应性巨幼细胞贫血综合征(TRMA)是一种罕见的常染色体隐性遗传病,病因是[基因名称]发生突变。部分病例呈现家族遗传。一名3.5岁女性患者(母亲为初产妇,产1次)于2019年6月入住咸阳彩虹医院儿科血液科。该患者患有严重贫血,全身有针尖大小的出血点及少量瘀斑,还伴有散光和远视。听力正常。患者患有糖尿病。骨髓活检提示骨髓增生异常综合征。患者存在[基因名称](NM_006996)的c.515G>A(p.G172D)纯合突变,提示为TRMA。基因检测显示,由于母亲单亲二体性(UPD),两个等位基因均单独遗传自其母亲。患者接受了硫胺素治疗及皮下注射胰岛素。患者恢复良好并出院。她继续按相同剂量使用硫胺素和胰岛素,每月随访一次。2020年9月15日的最后一次随访显示无贫血或出血情况。听力正常,血常规及空腹血糖水平正常。远视和散光未改善。该患者因通过母亲UPD遗传的[基因名称]的c.515G>A(p.G172D)纯合突变导致TRMA。TRMA的基因诊断对指导临床治疗具有重要意义。早期使用外源性硫胺素治疗可改善TRMA的部分临床特征。

https://cdn.ncbi.nlm.nih.gov/pmc/blobs/99fd/8017196/fc61e27c830d/fped-09-630329-g0001.jpg

相似文献

6
Leber's congenital amaurosis as the retinal degenerative phenotype in thiamine responsive megaloblastic anemia: a case report.
Ophthalmic Genet. 2014 Jun;35(2):119-24. doi: 10.3109/13816810.2013.793363. Epub 2013 May 2.
7
Thiamine responsive megaloblastic anemia: a novel SLC19A2 compound heterozygous mutation in two siblings.
Pediatr Diabetes. 2013 Aug;14(5):384-7. doi: 10.1111/j.1399-5448.2012.00921.x. Epub 2013 Jan 4.
8
Infantile-onset thiamine responsive megaloblastic anemia syndrome with SLC19A2 mutation: a case report.
Arch Argent Pediatr. 2017 Jun 1;115(3):e153-e156. doi: 10.5546/aap.2017.eng.e153.

引用本文的文献

1
Precision treatment of beta-cell monogenic diabetes: a systematic review.
Commun Med (Lond). 2024 Jul 18;4(1):145. doi: 10.1038/s43856-024-00556-1.
2
Acute hearing and visual loss caused by thiamine deficiency.
BMC Neurol. 2023 Jul 31;23(1):285. doi: 10.1186/s12883-023-03337-w.
3
Systematic Review of Treatment of Beta-Cell Monogenic Diabetes.
medRxiv. 2023 Sep 22:2023.05.12.23289807. doi: 10.1101/2023.05.12.23289807.

本文引用的文献

1
Uniparental isodisomy of chromosome 1 results in glycogen storage disease type III with profound growth retardation.
Mol Genet Genomic Med. 2019 May;7(5):e634. doi: 10.1002/mgg3.634. Epub 2019 Mar 27.
2
[Thiamine-responsive megaloblastic anemia or Rogers syndrome: A literature review].
Rev Med Interne. 2019 Jan;40(1):20-27. doi: 10.1016/j.revmed.2018.06.005. Epub 2018 Jul 19.
3
A Novel Mutation of SLC19A2 in a Chinese Zhuang Ethnic Family with Thiamine-Responsive Megaloblastic Anemia.
Cell Physiol Biochem. 2018;47(5):1989-1997. doi: 10.1159/000491467. Epub 2018 Jul 3.
4
Pharmacogenomics in diabetes: outcomes of thiamine therapy in TRMA syndrome.
Diabetologia. 2018 May;61(5):1027-1036. doi: 10.1007/s00125-018-4554-x. Epub 2018 Feb 15.
5
Mandibuloacral Dysplasia Caused by LMNA Mutations and Uniparental Disomy.
Case Rep Genet. 2014;2014:508231. doi: 10.1155/2014/508231. Epub 2014 Feb 3.
6
Thiamine-responsive megaloblastic anemia (TRMA) in an Austrian boy with compound heterozygous SLC19A2 mutations.
Eur J Pediatr. 2012 Nov;171(11):1711-5. doi: 10.1007/s00431-012-1730-8. Epub 2012 May 11.
7
Obesity in pycnodysostosis due to UPD1: possible effect of an imprinted gene on chromosome 1.
Am J Med Genet A. 2011 Jun;155A(6):1483-6. doi: 10.1002/ajmg.a.33989. Epub 2011 May 12.
8
Rhizomelic chrondrodysplasia punctata type 2 resulting from paternal isodisomy of chromosome 1.
Am J Med Genet A. 2010 Jul;152A(7):1812-7. doi: 10.1002/ajmg.a.33489.
10
Zellweger syndrome resulting from maternal isodisomy of chromosome 1.
Am J Med Genet A. 2007 Sep 15;143A(18):2172-7. doi: 10.1002/ajmg.a.31912.

文献AI研究员

20分钟写一篇综述,助力文献阅读效率提升50倍。

立即体验

用中文搜PubMed

大模型驱动的PubMed中文搜索引擎

马上搜索

文档翻译

学术文献翻译模型,支持多种主流文档格式。

立即体验