From the Department of Orthopaedic Surgery, Tripler Army Medical Center, Honolulu, HI (Dr. Lausé, Dr. Krul, Dr. Bottoni), and the Department of Orthopaedics, Walter Reed National Military Medical Center, Bethesda, MD (Dr. Baird).
J Am Acad Orthop Surg Glob Res Rev. 2021 Apr 6;5(4):e00089. doi: 10.5435/JAAOSGlobal-D-20-00089.
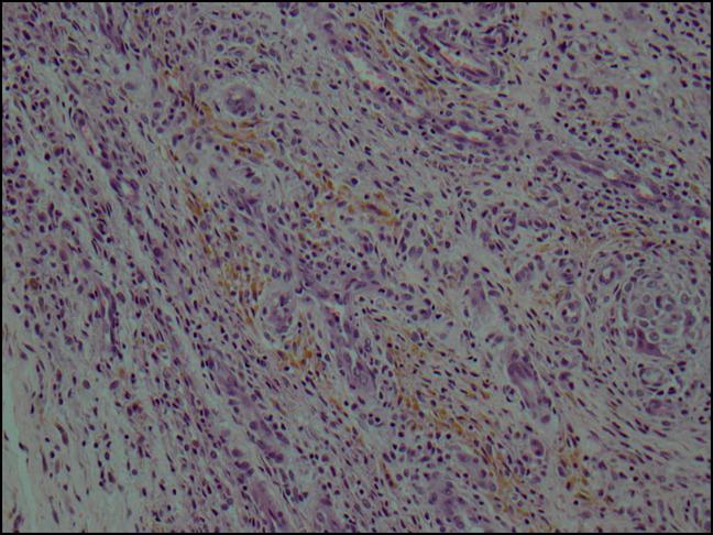
Tenosynovial giant-cell tumor (TGCT) is an intraarticular giant-cell tumor of the synovial tissue and tendon sheaths which often mimics multiple conditions on presentation. This case report describes a previously asymptomatic 67-year-old man with preliminary clinical and laboratory evaluation suggestive of septic arthritis; however, arthroscopy revealed diffuse synovitis, and biopsy confirmed TGCT. To our knowledge, this is the first report of TGCT presenting as septic arthritis in an adult patient. This diagnosis should be considered in evaluation of acute, atraumatic knee pain with associated inflammatory marker elevation.
腱鞘巨细胞瘤(TGCT)是一种发生于滑膜组织和腱鞘的关节内巨细胞瘤,其在发病时常表现为多种类似的病症。本病例报告描述了一例此前无症状的 67 岁男性,初步的临床和实验室评估提示为化脓性关节炎;然而,关节镜检查显示弥漫性滑膜炎,活检证实为 TGCT。据我们所知,这是首例成人 TGCT 表现为化脓性关节炎的病例报告。在评估伴有炎症标志物升高的急性、非创伤性膝关节疼痛时,应考虑到这一诊断。