• 文献检索
  • 文档翻译
  • 深度研究
  • 学术资讯
  • Suppr Zotero 插件Zotero 插件
  • 邀请有礼
  • 套餐&价格
  • 历史记录
应用&插件
Suppr Zotero 插件Zotero 插件浏览器插件Mac 客户端Windows 客户端微信小程序
定价
高级版会员购买积分包购买API积分包
服务
文献检索文档翻译深度研究API 文档MCP 服务
关于我们
关于 Suppr公司介绍联系我们用户协议隐私条款
关注我们

Suppr 超能文献

核心技术专利:CN118964589B侵权必究
粤ICP备2023148730 号-1Suppr @ 2026

文献检索

告别复杂PubMed语法,用中文像聊天一样搜索,搜遍4000万医学文献。AI智能推荐,让科研检索更轻松。

立即免费搜索

文件翻译

保留排版,准确专业,支持PDF/Word/PPT等文件格式,支持 12+语言互译。

免费翻译文档

深度研究

AI帮你快速写综述,25分钟生成高质量综述,智能提取关键信息,辅助科研写作。

立即免费体验

碳酸酐酶IX的组织表达与基底细胞癌更具侵袭性的表型相关。

Tissue Expression of Carbonic Anhydrase IX Correlates to More Aggressive Phenotype of Basal Cell Carcinoma.

作者信息

Russo Daniela, Varricchio Silvia, Ilardi Gennaro, Martino Francesco, Di Crescenzo Rosa Maria, Pignatiello Sara, Scalvenzi Massimiliano, Costa Claudia, Mascolo Massimo, Merolla Francesco, Staibano Stefania

机构信息

Pathology Unit, Department of Advanced Biomedical Sciences, University of Naples "Federico II", Naples, Italy.

Dermatology Unit, Department of Clinical Medicine and Surgery, University of Naples "Federico II", Naples, Italy.

出版信息

Front Oncol. 2021 Mar 25;11:659332. doi: 10.3389/fonc.2021.659332. eCollection 2021.

DOI:10.3389/fonc.2021.659332
PMID:33842375
原文链接:https://pmc.ncbi.nlm.nih.gov/articles/PMC8027352/
Abstract

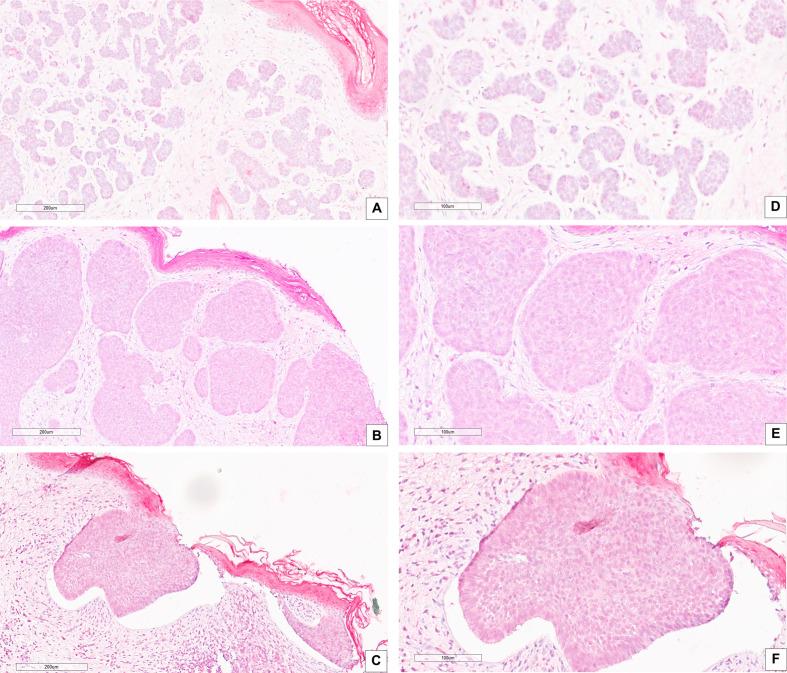
Basal cell carcinoma (BCC) is the most common cancer in the white-skinned population accounting for about 15% of all neoplasms. Its incidence is increasing worldwide, at a rate of about 10% per year. BCC, although infrequently metastasizing, very often causes extensive tissue losses, due to the high propensity toward stromal infiltration, particularly in its dedifferentiated forms, with disfiguring and debilitating results. To date, there still is limited availability of therapeutic treatments alternative to surgery. We evaluated the immunohistochemical expression of the carbonic anhydrase IX (CAIX), one of the main markers of tissue hypoxia, in a set of 85 archived FFPE BCC tissues, including the main subtypes, with different clinical outcomes, to demonstrate a possible relationship between hypoxic phenotype and biological aggressiveness of these neoplasms. Our results showed that the expression level of the CAIX protein contributes to the stratification of BCC in the different risk classes for recurrence. We hypothesize for CAIX a potential therapeutic role as a target therapy in the treatment of more aggressive BCCs, thus providing an alternative to surgical and pharmacological therapy with Hedgehog inhibitors, a promising example of target therapy in BCCs.

摘要

基底细胞癌(BCC)是白种人群中最常见的癌症,约占所有肿瘤的15%。其发病率在全球范围内呈上升趋势,每年约增长10%。BCC虽然很少发生转移,但由于其对基质浸润的高度倾向,特别是在其去分化形式中,常常导致广泛的组织损失,造成毁容和功能丧失的后果。迄今为止,除手术外的治疗方法仍然有限。我们评估了碳酸酐酶IX(CAIX)这一组织缺氧的主要标志物之一在一组85例存档的FFPE BCC组织中的免疫组化表达,这些组织包括主要亚型,具有不同的临床结局,以证明这些肿瘤的缺氧表型与生物学侵袭性之间可能存在的关系。我们的结果表明,CAIX蛋白的表达水平有助于将BCC分层为不同的复发风险类别。我们推测CAIX作为一种潜在的治疗靶点,在治疗侵袭性更强的BCC中具有治疗作用,从而为手术和使用刺猬蛋白抑制剂的药物治疗提供了一种替代方案,刺猬蛋白抑制剂是BCC靶向治疗的一个有前景的例子。

https://cdn.ncbi.nlm.nih.gov/pmc/blobs/78a8/8027352/26c9f8fb608d/fonc-11-659332-g003.jpg
https://cdn.ncbi.nlm.nih.gov/pmc/blobs/78a8/8027352/81f551b329c7/fonc-11-659332-g001.jpg
https://cdn.ncbi.nlm.nih.gov/pmc/blobs/78a8/8027352/a80e71fe8c1c/fonc-11-659332-g002.jpg
https://cdn.ncbi.nlm.nih.gov/pmc/blobs/78a8/8027352/26c9f8fb608d/fonc-11-659332-g003.jpg
https://cdn.ncbi.nlm.nih.gov/pmc/blobs/78a8/8027352/81f551b329c7/fonc-11-659332-g001.jpg
https://cdn.ncbi.nlm.nih.gov/pmc/blobs/78a8/8027352/a80e71fe8c1c/fonc-11-659332-g002.jpg
https://cdn.ncbi.nlm.nih.gov/pmc/blobs/78a8/8027352/26c9f8fb608d/fonc-11-659332-g003.jpg

相似文献

1
Tissue Expression of Carbonic Anhydrase IX Correlates to More Aggressive Phenotype of Basal Cell Carcinoma.碳酸酐酶IX的组织表达与基底细胞癌更具侵袭性的表型相关。
Front Oncol. 2021 Mar 25;11:659332. doi: 10.3389/fonc.2021.659332. eCollection 2021.
2
Depletion of carbonic anhydrase IX abrogates hypoxia-induced overexpression of stanniocalcin-1 in triple negative breast cancer cells.碳酸酐酶 IX 的耗竭可消除缺氧诱导的三阴性乳腺癌细胞中 1 型 STC 的过度表达。
Cancer Biol Ther. 2017 Aug 3;18(8):596-605. doi: 10.1080/15384047.2017.1345390. Epub 2017 Jun 30.
3
High stromal carbonic anhydrase IX expression is associated with nodal metastasis and decreased survival in patients with surgically-treated oral cavity squamous cell carcinoma.高基质碳酸酐酶 IX 表达与手术治疗的口腔鳞状细胞癌患者的淋巴结转移和生存降低相关。
Oral Oncol. 2012 Jul;48(7):615-22. doi: 10.1016/j.oraloncology.2012.01.018. Epub 2012 Feb 25.
4
Overexpression of Carbonic Anhydrase IX is a Dismal Prognostic Marker in Breast Carcinoma in Egyptian Patients.碳酸酐酶IX过表达是埃及乳腺癌患者预后不良的标志物。
Appl Immunohistochem Mol Morphol. 2016 Jul;24(6):405-13. doi: 10.1097/PAI.0000000000000208.
5
Serum carbonic anhydrase IX and its prognostic relevance in vulvar cancer.血清碳酸酐酶 IX 及其在外阴癌中的预后相关性。
Int J Gynecol Cancer. 2011 Jan;21(1):141-8. doi: 10.1097/IGC.0b013e318204c34f.
6
Carbonic anhydrase IX is a marker of hypoxia and correlates with higher Gleason scores and ISUP grading in prostate cancer.碳酸酐酶IX是缺氧的标志物,与前列腺癌中较高的Gleason评分和国际泌尿病理学会(ISUP)分级相关。
Diagn Pathol. 2016 May 25;11(1):45. doi: 10.1186/s13000-016-0495-1.
7
Aberrant expression of membranous carbonic anhydrase IX (CAIX) is associated with unfavorable disease course in papillary and clear cell renal cell carcinoma.膜性碳酸酐酶IX(CAIX)的异常表达与乳头状和透明细胞肾细胞癌的不良病程相关。
Urol Oncol. 2018 Dec;36(12):531.e19-531.e25. doi: 10.1016/j.urolonc.2018.08.015. Epub 2018 Oct 12.
8
CAIX furthers tumour progression in the hypoxic tumour microenvironment of esophageal carcinoma and is a possible therapeutic target.CAIX 促进食管癌缺氧肿瘤微环境中的肿瘤进展,是一个可能的治疗靶点。
J Enzyme Inhib Med Chem. 2018 Dec;33(1):1024-1033. doi: 10.1080/14756366.2018.1475369.
9
Prognostic relevance of carbonic anhydrase IX expression is distinct in various subtypes of breast cancer and its silencing suppresses self-renewal capacity of breast cancer cells.碳酸酐酶IX表达的预后相关性在乳腺癌的不同亚型中有所不同,其沉默可抑制乳腺癌细胞的自我更新能力。
Cancer Chemother Pharmacol. 2015 Feb;75(2):235-46. doi: 10.1007/s00280-014-2635-1. Epub 2014 Nov 25.
10
Identification of Carbonic Anhydrase IX as a Novel Target for Endoscopic Molecular Imaging of Human Bladder Cancer.鉴定碳酸酐酶IX作为人膀胱癌内镜分子成像的新靶点。
Cell Physiol Biochem. 2018;47(4):1565-1577. doi: 10.1159/000490875. Epub 2018 Jun 27.

引用本文的文献

1
Tumor Hypoxia and CD8 T-Cell Infiltration in Patients With Advanced Laryngeal Cancer.晚期喉癌患者的肿瘤缺氧与CD8 T细胞浸润
Otolaryngol Head Neck Surg. 2025 May 5. doi: 10.1002/ohn.1291.
2
In Silico and In Vitro Studies on an Asymmetrical Porphyrin Derivative with Therapeutic Potential in Skin Disorders.具有治疗皮肤疾病潜力的不对称卟啉衍生物的计算机模拟和体外研究。
Pharmaceuticals (Basel). 2024 May 27;17(6):688. doi: 10.3390/ph17060688.
3
Hypoxia in Skin Cancer: Molecular Basis and Clinical Implications.皮肤癌中的缺氧:分子基础与临床意义。

本文引用的文献

1
In vitro and in vivo BNCT investigations using a carborane containing sulfonamide targeting CAIX epitopes on malignant pleural mesothelioma and breast cancer cells.采用含硼烷的磺胺类化合物对恶性胸膜间皮瘤和乳腺癌细胞中的 CAIX 表位进行的体外和体内 BNCT 研究。
Sci Rep. 2020 Nov 6;10(1):19274. doi: 10.1038/s41598-020-76370-1.
2
Inhibition of Melanoma Cell Migration and Invasion Targeting the Hypoxic Tumor Associated CAXII.靶向缺氧肿瘤相关碳酸酐酶 XII 抑制黑色素瘤细胞迁移和侵袭
Cancers (Basel). 2020 Oct 17;12(10):3018. doi: 10.3390/cancers12103018.
3
Epidemiology of Skin Cancer: Update 2019.
Int J Mol Sci. 2023 Feb 23;24(5):4430. doi: 10.3390/ijms24054430.
4
Terminators or Guardians? Design, Synthesis, and Cytotoxicity Profiling of Chalcone-Sulfonamide Hybrids.终结者还是守护者?查耳酮-磺酰胺杂化物的设计、合成及细胞毒性分析
ACS Omega. 2023 Feb 17;8(8):7666-7683. doi: 10.1021/acsomega.2c07285. eCollection 2023 Feb 28.
5
New Insights into Conformationally Restricted Carbonic Anhydrase Inhibitors.构象受限碳酸酐酶抑制剂的新见解。
Molecules. 2023 Jan 16;28(2):890. doi: 10.3390/molecules28020890.
皮肤癌的流行病学:2019 年更新。
Adv Exp Med Biol. 2020;1268:123-139. doi: 10.1007/978-3-030-46227-7_6.
4
Carbonic anhydrase IX (CA9) expression in multiple renal epithelial tumour subtypes.碳酸酐酶 9(CA9)在多种肾上皮肿瘤亚型中的表达。
Histopathology. 2020 Oct;77(4):659-666. doi: 10.1111/his.14204. Epub 2020 Sep 12.
5
Prognostic value of CAIX expression in oral squamous cell carcinoma: a systematic review and meta-analysis.CAIX 表达在口腔鳞状细胞癌中的预后价值:系统评价和荟萃分析。
J Enzyme Inhib Med Chem. 2020 Dec;35(1):1258-1266. doi: 10.1080/14756366.2020.1772250.
6
A Machine-learning Approach for the Assessment of the Proliferative Compartment of Solid Tumors on Hematoxylin-Eosin-Stained Sections.一种基于苏木精-伊红染色切片评估实体瘤增殖区室的机器学习方法。
Cancers (Basel). 2020 May 25;12(5):1344. doi: 10.3390/cancers12051344.
7
The Carbonic Anhydrase IX inhibitor SLC-0111 as emerging agent against the mesenchymal stem cell-derived pro-survival effects on melanoma cells.碳酸酐酶 IX 抑制剂 SLC-0111 作为一种新兴药物,可抑制间充质干细胞衍生的促生存作用对黑色素瘤细胞的影响。
J Enzyme Inhib Med Chem. 2020 Dec;35(1):1185-1193. doi: 10.1080/14756366.2020.1764549.
8
Pharmacological Inhibition of CA-IX Impairs Tumor Cell Proliferation, Migration and Invasiveness.CA-IX 抑制的药理学作用会损害肿瘤细胞的增殖、迁移和侵袭能力。
Int J Mol Sci. 2020 Apr 23;21(8):2983. doi: 10.3390/ijms21082983.
9
Design, synthesis & biological evaluation of ferulic acid-based small molecule inhibitors against tumor-associated carbonic anhydrase IX.基于阿魏酸的小分子抑制剂的设计、合成与肿瘤相关碳酸酐酶 IX 的生物评价。
Bioorg Med Chem. 2020 May 1;28(9):115424. doi: 10.1016/j.bmc.2020.115424. Epub 2020 Mar 17.
10
Sulfocoumarins, specific carbonic anhydrase IX and XII inhibitors, interact with cancer multidrug resistant phenotype through pH regulation and reverse P-glycoprotein mediated resistance.磺酰脲类化合物,特异性碳酸酐酶 IX 和 XII 抑制剂,通过调节 pH 值和逆转 P-糖蛋白介导的耐药性与癌症多药耐药表型相互作用。
Eur J Pharm Sci. 2019 Oct 1;138:105012. doi: 10.1016/j.ejps.2019.105012. Epub 2019 Jul 19.