• 文献检索
  • 文档翻译
  • 深度研究
  • 学术资讯
  • Suppr Zotero 插件Zotero 插件
  • 邀请有礼
  • 套餐&价格
  • 历史记录
应用&插件
Suppr Zotero 插件Zotero 插件浏览器插件Mac 客户端Windows 客户端微信小程序
定价
高级版会员购买积分包购买API积分包
服务
文献检索文档翻译深度研究API 文档MCP 服务
关于我们
关于 Suppr公司介绍联系我们用户协议隐私条款
关注我们

Suppr 超能文献

核心技术专利:CN118964589B侵权必究
粤ICP备2023148730 号-1Suppr @ 2026

文献检索

告别复杂PubMed语法,用中文像聊天一样搜索,搜遍4000万医学文献。AI智能推荐,让科研检索更轻松。

立即免费搜索

文件翻译

保留排版,准确专业,支持PDF/Word/PPT等文件格式,支持 12+语言互译。

免费翻译文档

深度研究

AI帮你快速写综述,25分钟生成高质量综述,智能提取关键信息,辅助科研写作。

立即免费体验

锂预处理通过上调细胞 ROS 促进间充质干细胞治疗退变的椎间盘。

The preconditioning of lithium promotes mesenchymal stem cell-based therapy for the degenerated intervertebral disc via upregulating cellular ROS.

机构信息

Department of Orthopedics, Changxing People's Hospital, Changxing, China.

Department of Orthopaedics, 2nd Affiliated Hospital, School of Medicine, Zhejiang University, #88 Jiefang Road, Hangzhou, China.

出版信息

Stem Cell Res Ther. 2021 Apr 14;12(1):239. doi: 10.1186/s13287-021-02306-9.

DOI:10.1186/s13287-021-02306-9
PMID:33853670
原文链接:https://pmc.ncbi.nlm.nih.gov/articles/PMC8048279/
Abstract

UNLABELLED

Adipose-derived stem cell (ADSC) is one of the most widely used candidate cell for intervertebral disc (IVD) degeneration-related disease. However, the poor survival and low differentiation efficacy in stressed host microenvironment limit the therapeutic effects of ADSC-based therapy. The preconditioning has been found effective to boost the proliferation and the functioning of stem cells in varying pathological condition. Lithium is a common anti-depression drug and has been proved effective to enhance stem cell functioning. In this study, the effects of preconditioning using LiCl on the cellular behavior of ADSC was investigated, and specially in a degenerative IVD-like condition.

METHOD

The cellular toxicity on rat ADSC was assessed by detecting lactate dehydrogenase (LDH) production after treatment with a varying concentration of lithium chloride (LiCl). The proliferative capacity of ADSC was determined by detecting Ki67 expression and the relative cell number of ADSC. Then, the preconditioned ADSC was challenged by a degenerative IVD-like condition. And the cell viability as well as the nucleus pulpous (NP) cell differentiation efficacy of preconditioned ADSC was evaluated by detecting the major marker expression and extracellular matrix (ECM) deposit. The therapeutic effects of preconditioned ADSC were evaluated using an IVD degeneration rat model, and the NP morphology and ECM content were assessed.

RESULTS

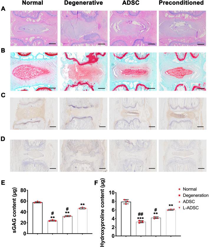
A concentration range of 1-10 mmol/L of LiCl was applied in the following study, since a higher concentration of LiCl causes a major cell death (about 40%). The relative cell number was similar between preconditioned groups and the control group after preconditioning. The Ki67 expression was elevated after preconditioning. Consistently, the preconditioned ADSC showed stronger proliferation capacity. Besides, the preconditioned groups exhibit higher expression of NP markers than the control group after NP cell induction. Moreover, the preconditioning of LiCl reduced the cell death and promoted ECM deposits, when challenged with a degenerative IVD-like culture. Mechanically, the preconditioning of LiCl induced an increased cellular reactive oxidative species (ROS) level and activation of ERK1/2, which was found closely related to the enhanced cell survival and ECM deposits after preconditioning. The treatment with preconditioned ADSC showed better therapeutic effects than control ADSC transplantation, with better NP preservation and ECM deposits.

CONCLUSION

These results suggest that the preconditioning with a medium level of LiCl boosts the cell proliferation and differentiation efficacy under a normal or hostile culture condition via the activation of cellular ROS/ERK axis. It is a promising pre-treatment of ADSC to promote the cell functioning and the following regenerative capacity, with superior therapeutic effects than untreated ADSC transplantation.

摘要

未加标签

脂肪来源干细胞(ADSC)是最广泛用于治疗椎间盘(IVD)退变相关疾病的候选细胞之一。然而,在应激宿主微环境中,ADSC 的存活能力差和分化效率低限制了基于 ADSC 的治疗效果。预处理已被发现可有效促进不同病理条件下干细胞的增殖和功能。锂是一种常用的抗抑郁药,已被证明可有效增强干细胞的功能。在这项研究中,研究了使用 LiCl 进行预处理对 ADSC 细胞行为的影响,特别是在退行性 IVD 样条件下。

方法

通过检测不同浓度氯化锂(LiCl)处理后大鼠 ADSC 中乳酸脱氢酶(LDH)的产生来评估细胞毒性。通过检测 Ki67 表达和 ADSC 的相对细胞数来确定 ADSC 的增殖能力。然后,用退行性 IVD 样条件挑战预处理的 ADSC。通过检测主要标志物的表达和细胞外基质(ECM)沉积来评估预处理 ADSC 的细胞活力和核髓核(NP)细胞分化效果。使用 IVD 退变大鼠模型评估预处理 ADSC 的治疗效果,并评估 NP 形态和 ECM 含量。

结果

在以下研究中应用了 1-10mmol/L 的 LiCl 浓度范围,因为较高浓度的 LiCl 会导致主要细胞死亡(约 40%)。预处理后,预处理组和对照组的相对细胞数相似。Ki67 表达升高后进行预处理。同样,预处理后的 ADSC 显示出更强的增殖能力。此外,NP 细胞诱导后,预处理组 NP 标志物的表达高于对照组。此外,在退行性 IVD 样培养条件下,LiCl 的预处理减少了细胞死亡并促进了 ECM 沉积。从机制上讲,LiCl 的预处理诱导细胞活性氧(ROS)水平升高和 ERK1/2 激活,这与预处理后细胞存活和 ECM 沉积的增强密切相关。与对照 ADSC 移植相比,预处理 ADSC 的治疗效果更好,NP 保存和 ECM 沉积更好。

结论

这些结果表明,通过激活细胞 ROS/ERK 轴,中等浓度 LiCl 的预处理可在正常或恶劣培养条件下促进细胞增殖和分化效果。它是促进 ADSC 细胞功能和随后再生能力的有前途的预处理方法,其治疗效果优于未经处理的 ADSC 移植。

https://cdn.ncbi.nlm.nih.gov/pmc/blobs/0f65/8048279/0e57f5443e92/13287_2021_2306_Fig8_HTML.jpg
https://cdn.ncbi.nlm.nih.gov/pmc/blobs/0f65/8048279/e3f6d4e5aafb/13287_2021_2306_Fig1_HTML.jpg
https://cdn.ncbi.nlm.nih.gov/pmc/blobs/0f65/8048279/52acf356cfb8/13287_2021_2306_Fig2_HTML.jpg
https://cdn.ncbi.nlm.nih.gov/pmc/blobs/0f65/8048279/74c679928653/13287_2021_2306_Fig3_HTML.jpg
https://cdn.ncbi.nlm.nih.gov/pmc/blobs/0f65/8048279/4d5720b1406d/13287_2021_2306_Fig4_HTML.jpg
https://cdn.ncbi.nlm.nih.gov/pmc/blobs/0f65/8048279/9f1b3ab5ff85/13287_2021_2306_Fig5_HTML.jpg
https://cdn.ncbi.nlm.nih.gov/pmc/blobs/0f65/8048279/2f3ab569ad15/13287_2021_2306_Fig6_HTML.jpg
https://cdn.ncbi.nlm.nih.gov/pmc/blobs/0f65/8048279/deb2af4aca88/13287_2021_2306_Fig7_HTML.jpg
https://cdn.ncbi.nlm.nih.gov/pmc/blobs/0f65/8048279/0e57f5443e92/13287_2021_2306_Fig8_HTML.jpg
https://cdn.ncbi.nlm.nih.gov/pmc/blobs/0f65/8048279/e3f6d4e5aafb/13287_2021_2306_Fig1_HTML.jpg
https://cdn.ncbi.nlm.nih.gov/pmc/blobs/0f65/8048279/52acf356cfb8/13287_2021_2306_Fig2_HTML.jpg
https://cdn.ncbi.nlm.nih.gov/pmc/blobs/0f65/8048279/74c679928653/13287_2021_2306_Fig3_HTML.jpg
https://cdn.ncbi.nlm.nih.gov/pmc/blobs/0f65/8048279/4d5720b1406d/13287_2021_2306_Fig4_HTML.jpg
https://cdn.ncbi.nlm.nih.gov/pmc/blobs/0f65/8048279/9f1b3ab5ff85/13287_2021_2306_Fig5_HTML.jpg
https://cdn.ncbi.nlm.nih.gov/pmc/blobs/0f65/8048279/2f3ab569ad15/13287_2021_2306_Fig6_HTML.jpg
https://cdn.ncbi.nlm.nih.gov/pmc/blobs/0f65/8048279/deb2af4aca88/13287_2021_2306_Fig7_HTML.jpg
https://cdn.ncbi.nlm.nih.gov/pmc/blobs/0f65/8048279/0e57f5443e92/13287_2021_2306_Fig8_HTML.jpg

相似文献

1
The preconditioning of lithium promotes mesenchymal stem cell-based therapy for the degenerated intervertebral disc via upregulating cellular ROS.锂预处理通过上调细胞 ROS 促进间充质干细胞治疗退变的椎间盘。
Stem Cell Res Ther. 2021 Apr 14;12(1):239. doi: 10.1186/s13287-021-02306-9.
2
Intervertebral disc regeneration with an adipose mesenchymal stem cell-derived tissue-engineered construct in a rat nucleotomy model.脂肪间充质干细胞衍生的组织工程构建物在大鼠核切模型中对椎间盘的再生作用。
Acta Biomater. 2019 Mar 15;87:118-129. doi: 10.1016/j.actbio.2019.01.050. Epub 2019 Jan 25.
3
Genipin cross-linked type II collagen/chondroitin sulfate composite hydrogel-like cell delivery system induces differentiation of adipose-derived stem cells and regenerates degenerated nucleus pulposus.金合欢素交联型 II 型胶原蛋白/硫酸软骨素复合水凝胶样细胞输送系统诱导脂肪来源干细胞分化并再生退变的髓核。
Acta Biomater. 2018 Apr 15;71:496-509. doi: 10.1016/j.actbio.2018.03.019. Epub 2018 Mar 16.
4
Potential use of human adipose mesenchymal stromal cells for intervertebral disc regeneration: a preliminary study on biglycan-deficient murine model of chronic disc degeneration.人脂肪间充质基质细胞在椎间盘再生中的潜在应用:对核心蛋白聚糖缺陷型慢性椎间盘退变小鼠模型的初步研究
Arthritis Res Ther. 2014 Oct 8;16(5):457. doi: 10.1186/s13075-014-0457-5.
5
Intervertebral disc and stem cells cocultured in biomimetic extracellular matrix stimulated by cyclic compression in perfusion bioreactor.椎间盘与干细胞在灌注生物反应器中通过循环压缩刺激的仿生细胞外基质中共培养。
Spine J. 2014 Sep 1;14(9):2127-40. doi: 10.1016/j.spinee.2013.11.062. Epub 2014 May 29.
6
Human umbilical cord-derived mesenchymal stem cells and their chondroprogenitor derivatives reduced pain and inflammation signaling and promote regeneration in a rat intervertebral disc degeneration model.人脐带间充质干细胞及其软骨前体细胞衍生物可减少大鼠椎间盘退变模型中的疼痛和炎症信号传导,并促进其再生。
Mol Cell Biochem. 2021 Aug;476(8):3191-3205. doi: 10.1007/s11010-021-04155-9. Epub 2021 Apr 17.
7
Uncovering the secretome of mesenchymal stromal cells exposed to healthy, traumatic, and degenerative intervertebral discs: a proteomic analysis.揭示间充质基质细胞暴露于健康、创伤性和退行性椎间盘时的分泌蛋白组:蛋白质组学分析
Stem Cell Res Ther. 2021 Jan 7;12(1):11. doi: 10.1186/s13287-020-02062-2.
8
The Influence of Hyperosmolarity in the Intervertebral Disc on the Proliferation and Chondrogenic Differentiation of Nucleus Pulposus-Derived Mesenchymal Stem Cells.椎间盘内高渗状态对髓核来源间充质干细胞增殖及成软骨分化的影响
Cells Tissues Organs. 2018;205(3):178-188. doi: 10.1159/000490760. Epub 2018 Jul 31.
9
Exosomal MATN3 of Urine-Derived Stem Cells Ameliorates Intervertebral Disc Degeneration by Antisenescence Effects and Promotes NPC Proliferation and ECM Synthesis by Activating TGF-.尿液来源干细胞外泌体 MATN3 通过抗衰老作用缓解椎间盘退变,并通过激活 TGF-β 促进 NPC 增殖和 ECM 合成。
Oxid Med Cell Longev. 2021 May 27;2021:5542241. doi: 10.1155/2021/5542241. eCollection 2021.
10
Decellularized allogeneic intervertebral disc: natural biomaterials for regenerating disc degeneration.脱细胞异体椎间盘:用于修复椎间盘退变的天然生物材料。
Oncotarget. 2016 Mar 15;7(11):12121-36. doi: 10.18632/oncotarget.7735.

引用本文的文献

1
Achilles' Heel-The Significance of Maintaining Microenvironmental Homeostasis in the Nucleus Pulposus for Intervertebral Discs.阿喀琉斯之踵-维护椎间盘核内微环境稳态的意义。
Int J Mol Sci. 2023 Nov 22;24(23):16592. doi: 10.3390/ijms242316592.
2
How to enhance the ability of mesenchymal stem cells to alleviate intervertebral disc degeneration.如何增强间充质干细胞缓解椎间盘退变的能力。
World J Stem Cells. 2023 Nov 26;15(11):989-998. doi: 10.4252/wjsc.v15.i11.989.
3
Signaling Mechanisms of Stem Cell Therapy for Intervertebral Disc Degeneration.

本文引用的文献

1
Small Molecule-Based Strategy Promotes Nucleus Pulposus Specific Differentiation of Adipose-Derived Mesenchymal Stem Cells.基于小分子的策略促进脂肪间充质干细胞向椎间盘细胞的特异性分化。
Mol Cells. 2019 Sep 30;42(9):661-671. doi: 10.14348/molcells.2019.0098.
2
In vitro and in vivo evaluation of discogenic cells, an investigational cell therapy for disc degeneration.体外和体内评估椎间盘细胞,一种用于椎间盘退变的研究性细胞治疗方法。
Spine J. 2020 Jan;20(1):138-149. doi: 10.1016/j.spinee.2019.08.006. Epub 2019 Aug 20.
3
Niche stiffness underlies the ageing of central nervous system progenitor cells.
干细胞治疗椎间盘退变的信号传导机制
Biomedicines. 2023 Sep 6;11(9):2467. doi: 10.3390/biomedicines11092467.
4
High-Tech Methods of Cytokine Imbalance Correction in Intervertebral Disc Degeneration.高科技方法纠正椎间盘退变中的细胞因子失衡。
Int J Mol Sci. 2023 Aug 28;24(17):13333. doi: 10.3390/ijms241713333.
5
A Review: Methodologies to Promote the Differentiation of Mesenchymal Stem Cells for the Regeneration of Intervertebral Disc Cells Following Intervertebral Disc Degeneration.综述:促进间充质干细胞向椎间盘退变后椎间盘细胞分化的方法。
Cells. 2023 Aug 28;12(17):2161. doi: 10.3390/cells12172161.
6
The Protective Effect of Lithium Against Rotenone may be Evolutionarily Conserved: Evidence from Eisenia fetida, a Primitive Animal with a Ganglionic Brain.锂对鱼藤酮的保护作用可能在进化上是保守的:来自具神经节大脑的原始动物赤子爱胜蚓的证据。
Neurochem Res. 2023 Dec;48(12):3538-3559. doi: 10.1007/s11064-023-04001-y. Epub 2023 Aug 1.
7
Potential applications of mesenchymal stem cells and their derived exosomes in regenerative medicine.间充质干细胞及其衍生的外泌体在再生医学中的潜在应用。
Expert Opin Biol Ther. 2023 Jan-Jun;23(6):491-507. doi: 10.1080/14712598.2023.2211203. Epub 2023 May 9.
8
Lithium: A Promising Anticancer Agent.锂:一种有前景的抗癌剂。
Life (Basel). 2023 Feb 15;13(2):537. doi: 10.3390/life13020537.
9
Stem Cell Therapy and Exercise for Treatment of Intervertebral Disc Degeneration.干细胞疗法与运动治疗椎间盘退变
Stem Cells Int. 2021 Oct 13;2021:7982333. doi: 10.1155/2021/7982333. eCollection 2021.
龛位硬度是中枢神经系统祖细胞老化的基础。
Nature. 2019 Sep;573(7772):130-134. doi: 10.1038/s41586-019-1484-9. Epub 2019 Aug 15.
4
The Traceability of Mesenchymal Stromal Cells After Injection Into Degenerated Discs in Patients with Low Back Pain.注射到腰痛患者退变椎间盘后的间充质基质细胞的溯源性。
Stem Cells Dev. 2019 Sep 1;28(17):1203-1211. doi: 10.1089/scd.2019.0074. Epub 2019 Jul 23.
5
Ferroptosis at the crossroads of cancer-acquired drug resistance and immune evasion.铁死亡在癌症获得性耐药和免疫逃逸的十字路口。
Nat Rev Cancer. 2019 Jul;19(7):405-414. doi: 10.1038/s41568-019-0149-1.
6
Lithium-Incorporated Nanoporous Coating Formed by Micro Arc Oxidation (MAO) on Magnesium Alloy with Improved Corrosion Resistance, Angiogenesis and Osseointegration.通过微弧氧化(MAO)在镁合金上形成的含锂纳米多孔涂层,具有改善的耐腐蚀性、血管生成和骨整合。
J Biomed Nanotechnol. 2019 Jun 1;15(6):1172-1184. doi: 10.1166/jbn.2019.2767.
7
Intervertebral disc regeneration with an adipose mesenchymal stem cell-derived tissue-engineered construct in a rat nucleotomy model.脂肪间充质干细胞衍生的组织工程构建物在大鼠核切模型中对椎间盘的再生作用。
Acta Biomater. 2019 Mar 15;87:118-129. doi: 10.1016/j.actbio.2019.01.050. Epub 2019 Jan 25.
8
IVD progenitor cells: a new horizon for understanding disc homeostasis and repair.IVD 祖细胞:理解椎间盘稳态和修复的新视野。
Nat Rev Rheumatol. 2019 Feb;15(2):102-112. doi: 10.1038/s41584-018-0154-x.
9
Lithium use and risk of fracture: a systematic review and meta-analysis of observational studies.锂的使用与骨折风险:观察性研究的系统评价和荟萃分析。
Osteoporos Int. 2019 Feb;30(2):257-266. doi: 10.1007/s00198-018-4745-9. Epub 2018 Oct 29.
10
In vivo evaluation of porous lithium-doped hydroxyapatite scaffolds for the treatment of bone defect.用于治疗骨缺损的多孔锂掺杂羟基磷灰石支架的体内评估
Biomed Mater Eng. 2018;29(6):699-721. doi: 10.3233/BME-181018.