Suppr超能文献

来自中国海南岛的两个新物种(扁形动物门,三肠目,真涡虫科)的综合描述。

Integrative descriptions of two new species of from Hainan Island, China (Platyhelminthes, Tricladida, Dugesiidae).

作者信息

Wang Lei, Dong Zi-Mei, Chen Guang-Wen, Sluys Ronald, Liu De-Zeng

机构信息

College of Life Science, Henan Normal University, Xinxiang, 453007 Henan, China Henan Normal University Xinxiang China.

Medical College, Xinxiang University, Xinxiang 453003, China Naturalis Biodiversity Center Leiden Netherlands.

出版信息

Zookeys. 2021 Apr 5;1028:1-28. doi: 10.3897/zookeys.1028.60838. eCollection 2021.

Abstract

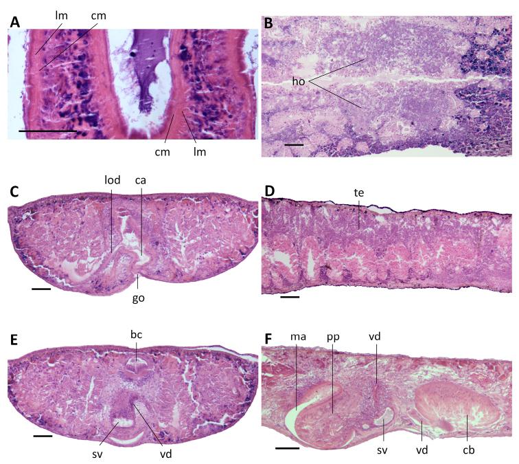
Two new species of the genus (Platyhelminthes, Tricladida, Dugesiidae) from Hainan Island of China are described on the basis of morphological, karyological and molecular data. Chen & Dong, . is mainly characterized by a hemispherical, asymmetrical penis papilla with ventrally displaced ejaculatory duct opening terminally at tip of penis papilla; vasa deferentia separately opening into mid-dorsal portion of intrabulbar seminal vesicle; two diaphragms in the ejaculatory duct; copulatory bursa formed by expansion of bursal canal, lined with complex stratified epithelium, which projects through opening in bursa towards intestine, without having open communication with the gut; mixoploid chromosome complement diploid (2n = 16) and triploid (3n = 24), with metacentric chromosomes. Chen & Dong, . is mainly characterized by oviducts opening asymmetrically into female reproductive system; hyperplasic ovaries; expanded posterior section of bursal canal; vasa deferentia separately opening into mid-dorsal portion of seminal vesicle; asymmetrical penis papilla due to ventral course of ejaculatory duct, which has subterminal and dorsal opening at tip papilla; mixoploid chromosome complement diploid (2n = 16) and triploid (3n = 24); chromosomes metacentric. Apart from their anatomy, separate species status of the two new species is supported also by their genetic distances and by their positions in the phylogenetic tree. The sexualization process may have been induced by the lower temperatures, in comparison with their natural habitat, under which the worms were cultured in the laboratory.

摘要

基于形态学、核型学和分子数据,描述了来自中国海南岛的(扁形动物门、三肠目、真涡虫科)属的两个新物种。陈 & 董,……主要特征为阴茎乳头呈半球形、不对称,射精管开口向腹侧移位,终端位于阴茎乳头尖端;输精管分别开口于球内精囊的中背部;射精管中有两个隔膜;交配囊由囊管扩张形成,内衬复杂的复层上皮,通过囊的开口向肠道突出,但与肠道无开放连通;混倍体染色体组成为二倍体(2n = 16)和三倍体(3n = 24),染色体为中着丝粒染色体。陈 & 董,……主要特征为输卵管不对称地开口于雌性生殖系统;卵巢增生;囊管后段扩张;输精管分别开口于精囊的中背部;阴茎乳头不对称,原因是射精管走行于腹侧,在乳头尖端有亚终端和背侧开口;混倍体染色体组成为二倍体(2n = 16)和三倍体(3n = 24);染色体为中着丝粒染色体。除了解剖结构外,这两个新物种的独立物种地位还得到了它们的遗传距离以及在系统发育树中的位置的支持。与它们的自然栖息地相比,实验室培养蠕虫时的较低温度可能诱导了性化过程。

https://cdn.ncbi.nlm.nih.gov/pmc/blobs/9800/8041735/ec3c2bfc126b/zookeys-1028-001-g001.jpg

文献AI研究员

20分钟写一篇综述,助力文献阅读效率提升50倍。

立即体验

用中文搜PubMed

大模型驱动的PubMed中文搜索引擎

马上搜索

文档翻译

学术文献翻译模型,支持多种主流文档格式。

立即体验