Suppr超能文献

靶向 runt 相关转录因子 1 可预防肺纤维化并降低严重急性呼吸综合征冠状病毒 2 宿主介质的表达。

Targeting Runt-Related Transcription Factor 1 Prevents Pulmonary Fibrosis and Reduces Expression of Severe Acute Respiratory Syndrome Coronavirus 2 Host Mediators.

机构信息

Schepens Eye Research Institute of Mass Eye and Ear, Boston, Massachusetts, and the Department of Ophthalmology at Harvard Medical School, Boston, Massachusetts.

Institute of Legal Medicine, University Medical Center Hamburg-Eppendorf, Hamburg, Germany.

出版信息

Am J Pathol. 2021 Jul;191(7):1193-1208. doi: 10.1016/j.ajpath.2021.04.006. Epub 2021 Apr 21.

Abstract

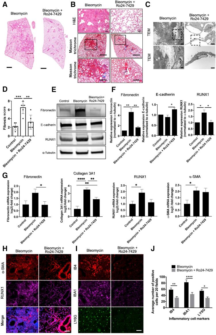
Pulmonary fibrosis (PF) can arise from unknown causes, as in idiopathic PF, or as a consequence of infections, including severe acute respiratory syndrome coronavirus 2 (SARS-CoV-2). Current treatments for PF slow, but do not stop, disease progression. We report that treatment with a runt-related transcription factor 1 (RUNX1) inhibitor (Ro24-7429), previously found to be safe, although ineffective, as a Tat inhibitor in patients with HIV, robustly ameliorates lung fibrosis and inflammation in the bleomycin-induced PF mouse model. RUNX1 inhibition blunted fundamental mechanisms downstream pathologic mediators of fibrosis and inflammation, including transforming growth factor-β1 and tumor necrosis factor-α, in cultured lung epithelial cells, fibroblasts, and vascular endothelial cells, indicating pleiotropic effects. RUNX1 inhibition also reduced the expression of angiotensin-converting enzyme 2 and FES Upstream Region (FURIN), host proteins critical for SARS-CoV-2 infection, in mice and in vitro. A subset of human lungs with SARS-CoV-2 infection overexpress RUNX1. These data suggest that RUNX1 inhibition via repurposing of Ro24-7429 may be beneficial for PF and to battle SARS-CoV-2, by reducing expression of viral mediators and by preventing respiratory complications.

摘要

肺纤维化(PF)可由未知原因引起,如特发性 PF,或由感染引起,包括严重急性呼吸综合征冠状病毒 2(SARS-CoV-2)。目前用于 PF 的治疗方法只能减缓疾病进展,而不能阻止。我们报告称,使用 runt 相关转录因子 1(RUNX1)抑制剂(先前发现作为 HIV 患者的 Tat 抑制剂安全但无效的 Ro24-7429)治疗博来霉素诱导的 PF 小鼠模型,可显著改善肺纤维化和炎症。RUNX1 抑制阻断了纤维化和炎症下游病理介质的基本机制,包括转化生长因子-β1 和肿瘤坏死因子-α,在培养的肺上皮细胞、成纤维细胞和血管内皮细胞中,表明具有多效性。RUNX1 抑制还降低了血管紧张素转换酶 2 和 FES Upstream Region(FURIN)的表达,这两种宿主蛋白对 SARS-CoV-2 感染至关重要,在小鼠和体外实验中均如此。具有 SARS-CoV-2 感染的一部分人类肺组织过度表达 RUNX1。这些数据表明,通过重新利用 Ro24-7429 抑制 RUNX1,可能有益于 PF 和对抗 SARS-CoV-2,通过降低病毒介质的表达并预防呼吸并发症。

https://cdn.ncbi.nlm.nih.gov/pmc/blobs/f4d0/8261477/5ce52a3a3d66/gr1.jpg

文献检索

告别复杂PubMed语法,用中文像聊天一样搜索,搜遍4000万医学文献。AI智能推荐,让科研检索更轻松。

立即免费搜索

文件翻译

保留排版,准确专业,支持PDF/Word/PPT等文件格式,支持 12+语言互译。

免费翻译文档

深度研究

AI帮你快速写综述,25分钟生成高质量综述,智能提取关键信息,辅助科研写作。

立即免费体验