• 文献检索
  • 文档翻译
  • 深度研究
  • 学术资讯
  • Suppr Zotero 插件Zotero 插件
  • 邀请有礼
  • 套餐&价格
  • 历史记录
应用&插件
Suppr Zotero 插件Zotero 插件浏览器插件Mac 客户端Windows 客户端微信小程序
定价
高级版会员购买积分包购买API积分包
服务
文献检索文档翻译深度研究API 文档MCP 服务
关于我们
关于 Suppr公司介绍联系我们用户协议隐私条款
关注我们

Suppr 超能文献

核心技术专利:CN118964589B侵权必究
粤ICP备2023148730 号-1Suppr @ 2026

文献检索

告别复杂PubMed语法,用中文像聊天一样搜索,搜遍4000万医学文献。AI智能推荐,让科研检索更轻松。

立即免费搜索

文件翻译

保留排版,准确专业,支持PDF/Word/PPT等文件格式,支持 12+语言互译。

免费翻译文档

深度研究

AI帮你快速写综述,25分钟生成高质量综述,智能提取关键信息,辅助科研写作。

立即免费体验

坏死性环状梅克尔憩室致肠梗阻和肠缺血:病例报告及文献复习

Intestinal obstruction and ischemia by necrotic annular Meckel's diverticulum: Case report and review of the literature.

作者信息

Evola Giuseppe, Caramma Sebastiano, Caruso Giovambattista, Schillaci Riccardo, Reina Carlo, Reina Giuseppe Angelo

机构信息

General and Emergency Surgery Department, Garibaldi Hospital, Catania, Italy.

General Surgery Department, San Salvatore Hospital, Paternò, Catania, Italy.

出版信息

Int J Surg Case Rep. 2021 May;82:105897. doi: 10.1016/j.ijscr.2021.105897. Epub 2021 Apr 20.

DOI:10.1016/j.ijscr.2021.105897
PMID:33895628
原文链接:https://pmc.ncbi.nlm.nih.gov/articles/PMC8099489/
Abstract

INTRODUCTION AND IMPORTANCE

Meckel's diverticulum (MD) is a vestigial remnant of the omphalomesenteric duct, representing the most common congenital malformation of the gastrointestinal tract. Diagnosis of MD is a challenge because of its rarity and frequent asymptomaticity. Radiological exams generally aren't useful for its diagnosis. Intestinal obstruction represents the most common complication of MD in adults. Surgery is the appropriate treatment of complicated MD.

CASE PRESENTATION

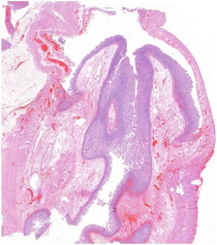
A 70-year-old Caucasian male was admitted to the Emergency Department with a two-day history of abdominal pain associated with inability to pass gas or stool, nausea and vomiting. Physical examination revealed abdominal distention and abdominal pain without Blumberg's sign. Abdominal contrast-enhanced computed tomography (CECT) showed small bowel obstruction caused by suspected MD. Laboratory tests reported high serum levels of glycemia, LDH, C-reactive protein and leukocytosis. After diagnosis of intestinal obstruction, the patient underwent exploratory laparotomy: a segmental resection of ischemic distal ileum bearing a necrotic MD was performed. The postoperative course of patient was uneventful.

CLINICAL DISCUSSION

MD is found in 2%-4% of the population in large autopsy and surgical series. MD is mostly asymptomatic and incidentally discovered if not complicated; a debate exist about management of asymptomatic MD. Surgery represents the definitive treatment of complicated MD.

CONCLUSION

MD is a true diverticulum rarely discovered in adults. Diagnosis of MD is difficult even with the help of radiological exams. Although surgical resection represents the correct treatment of symptomatic MD, nowadays there is no consensus on the optimal treatment of asymptomatic and incidentally discovered MD.

摘要

引言与重要性

梅克尔憩室(MD)是卵黄管的残余遗迹,是胃肠道最常见的先天性畸形。由于MD罕见且常无症状,其诊断具有挑战性。放射学检查通常对其诊断无用。肠梗阻是成人MD最常见的并发症。手术是治疗复杂性MD的恰当方法。

病例介绍

一名70岁的白种男性因腹痛两天伴无法排气或排便、恶心和呕吐入院急诊科。体格检查发现腹胀和腹痛,无反跳痛。腹部增强计算机断层扫描(CECT)显示疑似MD导致的小肠梗阻。实验室检查报告血糖、乳酸脱氢酶、C反应蛋白血清水平升高及白细胞增多。诊断为肠梗阻后,患者接受了剖腹探查术:对一段带有坏死MD的缺血性回肠末端进行了节段性切除。患者术后恢复顺利。

临床讨论

在大型尸检和手术系列中,MD在2%-4%的人群中被发现。MD大多无症状,若不并发则偶然发现;关于无症状MD的管理存在争议。手术是复杂性MD的确定性治疗方法。

结论

MD是一种真正的憩室,在成人中很少被发现。即使借助放射学检查,MD的诊断也很困难。尽管手术切除是有症状MD的正确治疗方法,但目前对于无症状和偶然发现的MD的最佳治疗方法尚无共识。

https://cdn.ncbi.nlm.nih.gov/pmc/blobs/3e5b/8099489/51858f42570e/gr5.jpg
https://cdn.ncbi.nlm.nih.gov/pmc/blobs/3e5b/8099489/14caa0d74cfc/gr1.jpg
https://cdn.ncbi.nlm.nih.gov/pmc/blobs/3e5b/8099489/c9d16797e081/gr2.jpg
https://cdn.ncbi.nlm.nih.gov/pmc/blobs/3e5b/8099489/14c54de38120/gr3.jpg
https://cdn.ncbi.nlm.nih.gov/pmc/blobs/3e5b/8099489/d96af19932f7/gr4.jpg
https://cdn.ncbi.nlm.nih.gov/pmc/blobs/3e5b/8099489/51858f42570e/gr5.jpg
https://cdn.ncbi.nlm.nih.gov/pmc/blobs/3e5b/8099489/14caa0d74cfc/gr1.jpg
https://cdn.ncbi.nlm.nih.gov/pmc/blobs/3e5b/8099489/c9d16797e081/gr2.jpg
https://cdn.ncbi.nlm.nih.gov/pmc/blobs/3e5b/8099489/14c54de38120/gr3.jpg
https://cdn.ncbi.nlm.nih.gov/pmc/blobs/3e5b/8099489/d96af19932f7/gr4.jpg
https://cdn.ncbi.nlm.nih.gov/pmc/blobs/3e5b/8099489/51858f42570e/gr5.jpg

相似文献

1
Intestinal obstruction and ischemia by necrotic annular Meckel's diverticulum: Case report and review of the literature.坏死性环状梅克尔憩室致肠梗阻和肠缺血:病例报告及文献复习
Int J Surg Case Rep. 2021 May;82:105897. doi: 10.1016/j.ijscr.2021.105897. Epub 2021 Apr 20.
2
Complicated Littre's umbilical hernia with normal Meckel's diverticulum: A case report and review of the literature.伴有正常梅克尔憩室的复杂利特尔脐疝:一例报告并文献复习
Int J Surg Case Rep. 2021 Jul;84:106126. doi: 10.1016/j.ijscr.2021.106126. Epub 2021 Jun 18.
3
Acute intestinal obstruction due to meckel's diverticulum: A case report and literature review.梅克尔憩室所致急性肠梗阻:一例报告及文献复习
Heliyon. 2024 Apr 30;10(9):e30514. doi: 10.1016/j.heliyon.2024.e30514. eCollection 2024 May 15.
4
An unusual case of intraabdominal abscess and acute abdomen caused by axial torsion of a Meckel's diverticulum.一例由梅克尔憩室轴扭转引起的腹腔内脓肿和急腹症的罕见病例。
Ann Med Surg (Lond). 2016 Feb 10;6:74-6. doi: 10.1016/j.amsu.2016.01.082. eCollection 2016 Mar.
5
Intestinal Obstruction by Meckel's Diverticulum in a 92 Years Old Woman.一名92岁女性因梅克尔憩室导致肠梗阻
Case Rep Surg. 2020 May 30;2020:9303059. doi: 10.1155/2020/9303059. eCollection 2020.
6
Phytobezoar in Meckel's diverticulum: A rare cause of small bowel obstruction.梅克尔憩室内的植物性粪石:小肠梗阻的罕见病因。
Int J Surg Case Rep. 2012;3(5):161-3. doi: 10.1016/j.ijscr.2012.01.006. Epub 2012 Feb 3.
7
Giant Meckel's diverticulum compressing root of mesentery - A rare cause of ileal gangrene - Case report and review of literature.巨大梅克尔憩室压迫肠系膜根部——回肠坏疽的罕见原因——病例报告及文献复习
Int J Surg Case Rep. 2017;38:53-56. doi: 10.1016/j.ijscr.2017.06.063. Epub 2017 Jul 14.
8
Case report: preoperatively diagnosed perforated Meckel's diverticulum containing gastric and pancreatic-type mucosa.病例报告:术前诊断为含有胃和胰腺型黏膜的梅克尔憩室穿孔。
BMC Surg. 2017 Apr 11;17(1):36. doi: 10.1186/s12893-017-0236-8.
9
Perforated Meckel's diverticulum in a 6-day-old neonate: A case report.一名6日龄新生儿的梅克尔憩室穿孔:病例报告
Int J Surg Case Rep. 2024 Oct;123:110261. doi: 10.1016/j.ijscr.2024.110261. Epub 2024 Sep 10.
10
Unusual presentation of a Meckel's diverticulum: A case report.梅克尔憩室的罕见表现:一例病例报告。
Int J Surg Case Rep. 2015;16:48-51. doi: 10.1016/j.ijscr.2015.09.013. Epub 2015 Sep 29.

引用本文的文献

1
Point-of-Care Ultrasound in Pediatric Emergency Setting: Description of a Complicated Case in a Pediatric Emergency Department.儿科急诊环境中的床旁超声:儿科急诊科一个复杂病例的描述
Turk Arch Pediatr. 2025 Apr 14;60(3):344-346. doi: 10.5152/TurkArchPediatr.2025.24259.
2
Acute abdomen following axial torsion of a Giant Meckel's diverticulum in a young male: A case report.一名年轻男性巨大梅克尔憩室轴扭转后出现急腹症:病例报告
Int J Surg Case Rep. 2022 Oct;99:107631. doi: 10.1016/j.ijscr.2022.107631. Epub 2022 Sep 9.
3
Subhepatic perforated acute appendicitis in a patient with midgut malrotation: A case report and review of the literature.
一名患有中肠旋转不良患者的肝下型穿孔性急性阑尾炎:病例报告及文献复习
Int J Surg Case Rep. 2022 Jun;95:107249. doi: 10.1016/j.ijscr.2022.107249. Epub 2022 May 28.
4
Jejunal volvulus within an inguinal hernia sac like as an extremely rare cause of acute mechanical gastrointestinal obstruction in adults: First literature report.腹股沟疝囊内的空肠扭转作为成人急性机械性胃肠道梗阻的极其罕见原因:首例文献报道
Int J Surg Case Rep. 2022 Feb;91:106757. doi: 10.1016/j.ijscr.2022.106757. Epub 2022 Jan 28.
5
Small bowel obstruction precipitated by intussusception of Meckel's diverticulum.梅克尔憩室肠套叠引发的小肠梗阻。
SAGE Open Med Case Rep. 2022 Jan 19;10:2050313X211072663. doi: 10.1177/2050313X211072663. eCollection 2022.