Suppr超能文献

伊朗道拉克盐矿古盐尸的放射学和组织学发现。

Radiological and histological findings in ancient salt mummies from the salt mine of Douzlākh, Iran.

机构信息

Faculty of Medicine, Swiss Mummy Project, Institute of Evolutionary Medicine, University of Zurich, Zurich, Switzerland.

Institute of Pathology and Molecular Pathology, University Hospital Zurich, Zurich, Switzerland.

出版信息

PLoS One. 2021 Apr 30;16(4):e0250745. doi: 10.1371/journal.pone.0250745. eCollection 2021.

Abstract

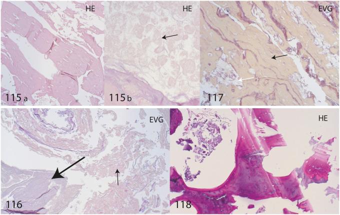
Computed tomography studies and histological analyses were performed on the mummified remains found in the Chehrābād salt mine in northwestern Iran. The ancient salt mummies are dated to the Achaemenid (550-330 BC) and Sassanid (3rd-7th century AD) time period and died in mining incidents. The aim of the study was to describe the radiological and histological findings of several ancient Iranian salt mummies with special interest in pathological and postmortem changes. The mummified remains show multiple traumatic alterations, such as fractures and signs of massive compression. Histological analyses can clearly differentiate soft tissue, however the preservation status is variable. These Iranian salt mummies are a rare example of the ancient Iranian population. The soft tissue and organs are well preserved, however in different degrees due to the varying conditions.

摘要

对在伊朗西北部切拉巴德盐矿发现的木乃伊进行了计算机断层扫描研究和组织学分析。这些古代盐木乃伊的年代可追溯到阿契美尼德(公元前 550 年至 330 年)和萨珊(公元 3 世纪至 7 世纪)时期,是在采矿事故中死亡的。本研究的目的是描述几个古代伊朗盐木乃伊的放射学和组织学发现,特别关注病理学和死后变化。木乃伊显示出多种创伤性改变,如骨折和严重压迫的迹象。组织学分析可以清楚地区分软组织,但保存状态各不相同。这些伊朗盐木乃伊是古代伊朗人口的罕见例证。软组织和器官保存完好,但由于条件不同,保存程度也不同。

https://cdn.ncbi.nlm.nih.gov/pmc/blobs/c27d/8087014/3f96bf293fca/pone.0250745.g001.jpg

文献AI研究员

20分钟写一篇综述,助力文献阅读效率提升50倍。

立即体验

用中文搜PubMed

大模型驱动的PubMed中文搜索引擎

马上搜索

文档翻译

学术文献翻译模型,支持多种主流文档格式。

立即体验