Suppr超能文献

双侧继发性前列腺源性睾丸、附睾及精索癌:一例报告并文献复习

Bilateral secondary testicular, epididymal and spermatic cords carcinoma of prostatic origin: a case report and review of the literature.

作者信息

Olorunsola Ifeoluwa S, Etonyeaku Amarachukwu C, Lekwa Blessing O, Ojo Olusegun S

机构信息

Department of Morbid Anatomy and Forensic Medicine, Obafemi Awolowo University Teaching Hospitals Complex (OAUTHC), Ile-Ife, Osun, Nigeria.

Department of Surgery, Obafemi Awolowo University Teaching Hospitals Complex, Ile-Ife, Osun, Nigeria.

出版信息

J Med Case Rep. 2021 May 1;15(1):222. doi: 10.1186/s13256-021-02807-4.

Abstract

BACKGROUND

Prostatic carcinoma is emerging as the most common male malignancy in Nigeria and the second most common male cancer worldwide. Patients often present with locally advances stages, and common sites of metastasis are the spine, pelvis, chest, and long bones. Metastases to the testes and spermatic cords are reputed to be rare and may be indicative of a worse outcome, when they occur. We recently encountered a clinical case of bilateral testicular, epididymal and spermatic cords prostatic cancer metastases.

CASE PRESENTATION

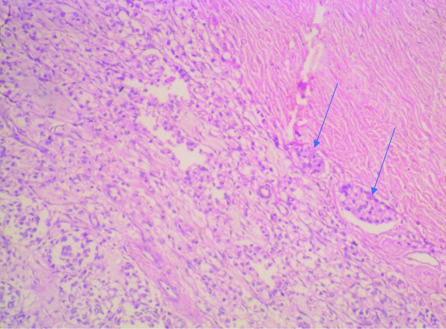
A 71-year-old Nigerian man, who presented at our hospital with 1-month-old complaints of inability to walk together with low back and bilateral thigh pains. This presentation had been preceded by a 5-month history of lower urinary tract symptoms. On examination, the prostate was hard and nodular as were the left testis and spermatic cord. On histological assessment of a needle biopsy, prostatic adenocarcinoma (Gleason score 5 + 5 = 10) was diagnosed. A subsequent therapeutic bilateral total orchidectomy specimen was found to contain metastatic prostatic carcinoma deposits, in the testes, epididymides, and spermatic cords. Although our patient is currently doing well postoperatively on zoledronic acid, ketoconazole, bicalutamide, and tamsulosin, he is being re-evaluated periodically for any feature of recurrence.

CONCLUSION

Since it has implications for eventual outcome, every clinically suspicious therapeutic orchidectomy specimen should be subjected to a detailed histopathological examination in order to exclude secondaries from the primary prostatic malignancy.

摘要

背景

前列腺癌正在成为尼日利亚最常见的男性恶性肿瘤,在全球范围内是第二常见的男性癌症。患者常以局部进展期就诊,常见的转移部位是脊柱、骨盆、胸部和长骨。睾丸和精索转移被认为很罕见,一旦发生可能预示预后更差。我们最近遇到了一例双侧睾丸、附睾和精索前列腺癌转移的临床病例。

病例介绍

一名71岁的尼日利亚男性,因1个月来无法行走以及腰背部和双侧大腿疼痛前来我院就诊。在此之前有5个月的下尿路症状病史。检查时,前列腺坚硬且呈结节状,左侧睾丸和精索也是如此。经针吸活检的组织学评估,诊断为前列腺腺癌( Gleason评分5 + 5 = 10)。随后的双侧治疗性睾丸切除术标本发现睾丸、附睾和精索中有转移性前列腺癌沉积物。尽管我们的患者目前在接受唑来膦酸、酮康唑、比卡鲁胺和坦索罗辛治疗后术后情况良好,但仍在定期重新评估是否有复发迹象。

结论

由于这对最终结果有影响,每个临床上可疑的治疗性睾丸切除术标本都应进行详细的组织病理学检查,以排除原发性前列腺恶性肿瘤的继发性转移。

https://cdn.ncbi.nlm.nih.gov/pmc/blobs/f1a8/8088057/04acb2275cc1/13256_2021_2807_Fig1_HTML.jpg

文献AI研究员

20分钟写一篇综述,助力文献阅读效率提升50倍。

立即体验

用中文搜PubMed

大模型驱动的PubMed中文搜索引擎

马上搜索

文档翻译

学术文献翻译模型,支持多种主流文档格式。

立即体验