Suppr超能文献

脑实质内室管膜下瘤:病例报告及文献综述

Intraparenchymal subependymoma: Case report and literature review.

作者信息

Lopes Othavio Gomes, Du Pin Almeida Felipe Calmon, Cabral Gustavo Augusto Porto Sereno, Guimaraes Rodrigo Dias, da Silva Filho Ruy Castro Monteiro, Landeiro Jose Alberto

机构信息

Department of Neurosurgery, Antonio Pedro University Hospital, Brazil.

Department of Neurosurgery, Miguel Couto Hospital, Rio de Janeiro, Brazil.

出版信息

Surg Neurol Int. 2021 Apr 14;12:154. doi: 10.25259/SNI_526_2020. eCollection 2021.

Abstract

BACKGROUND

Intracranial subependymomas are rare slow-growing benign tumors typically located in the ventricular system, accounting for 0.07-0.7% of all intracranial neoplasms. Intraparenchymal subependymoma is extremely rare lesions, imposing a challenging diagnosis and management.

CASE DESCRIPTION

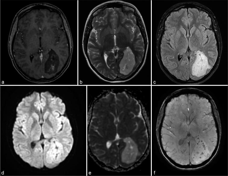
We describe a case of a supratentorial intraparenchymal mass on left occipital lobe in a 26-year-old woman with progressive headache and visual impairment. Differential diagnosis mainly included gliomas, neuronal-glial tumors, ependymoma, and subependymoma. Complete surgical resection was performed and histopathology analysis confirmed diagnosis of subependymoma. Despite its benign behavior the Ki67/MIB-1 labeling index assessed by immunohistochemistry was 5%. After 1 year of follow-up she was free of tumor recurrence.

CONCLUSION

Intraparenchymal subependymoma is extremely rare tumors and literature review showed only 11 cases reported. In general, they are misdiagnosed as other tumors, so careful attention on clinical and radiological features must be taken when looking at a tumor close to the ventricular system, even though it does not have any obvious direct connection to it. Despite its benign nature, total removal must be attempted given that there are reports of recurrence, especially in partially removed tumors with high proliferation index. The role of adjuvant therapy is still limited and new treatment options are being developed as our knowledge on biological and molecular characteristics advances.

摘要

背景

颅内室管膜下瘤是一种罕见的生长缓慢的良性肿瘤,通常位于脑室系统,占所有颅内肿瘤的0.07 - 0.7%。脑实质内室管膜下瘤极为罕见,诊断和治疗具有挑战性。

病例描述

我们描述了一例26岁女性患者,其左枕叶脑实质内出现幕上肿块,伴有进行性头痛和视力障碍。鉴别诊断主要包括胶质瘤、神经胶质细胞瘤、室管膜瘤和室管膜下瘤。进行了完整的手术切除,组织病理学分析确诊为室管膜下瘤。尽管其生物学行为为良性,但免疫组织化学评估的Ki67/MIB - 1标记指数为5%。随访1年后,她未出现肿瘤复发。

结论

脑实质内室管膜下瘤极为罕见,文献综述显示仅报道了11例。一般来说,它们常被误诊为其他肿瘤,因此在观察靠近脑室系统的肿瘤时,即使其与脑室系统没有明显的直接联系,也必须仔细关注临床和放射学特征。尽管其性质为良性,但鉴于有复发的报道,尤其是在部分切除且增殖指数高的肿瘤中,仍必须尝试完全切除。辅助治疗的作用仍然有限,随着我们对生物学和分子特征认识的提高,正在开发新的治疗选择。

https://cdn.ncbi.nlm.nih.gov/pmc/blobs/f894/8088500/5aadb26847a3/SNI-12-154-g001.jpg

文献AI研究员

20分钟写一篇综述,助力文献阅读效率提升50倍。

立即体验

用中文搜PubMed

大模型驱动的PubMed中文搜索引擎

马上搜索

文档翻译

学术文献翻译模型,支持多种主流文档格式。

立即体验