Suppr超能文献

一名6岁儿童胫骨前棘骨折后骨不连:病例报告

Non-union after Fracture of the Anterior Tibial Spine in a 6-Year-old Child: A Case Report.

作者信息

Bernardes Marco, Duarte Guido

机构信息

Department of Orthopaedics, Orthopaedics and Traumatology Service, Centro Hospitalar de Vila Nova de Gaia/Espinho, Gaia, Portugal.

出版信息

J Orthop Case Rep. 2020 May-Jun;10(3):27-31. doi: 10.13107/jocr.2020.v10.i03.1734.

Abstract

INTRODUCTION

Fractures of the tibial spines occur in 3/100,000 children per year and are rare in children under 8 years. Non-union after avulsion fracture of the tibial spine is even rarer, especially under 8 years, with only few cases described in the literature.

CASE PRESENTATION

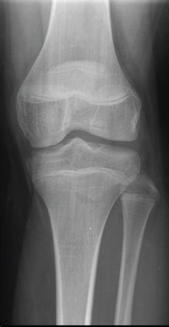
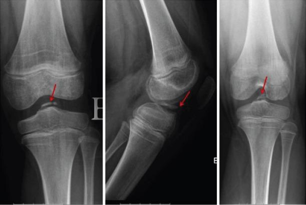
A 6-year-old boy with went to the emergency department after suffering trauma in his left knee. In the performed X-ray, no osteoarticular injury was identified. Conservative treatment with immobilization with cast was performed. After removing the immobilization, the initial evolution was positive with no pain on mobilization. A few months later, he went again to the emergency department due to new left knee trauma. On examination, he had pain in the mobilization of the left knee, especially in knee extension which was not entire. Image study led to the diagnostic of avulsion fracture of the anterior tibial spines. The fracture was classified as modified Meyers and Mckeever Type II and conservative treatment with cast immobilization was performed. In the clinical and imaging revaluation done 4 weeks later, an evolution to non-union of the anterior tibial spine was noticed. At arthroscopy, non-union of tibial spines was confirmed, with elephant paw bone fragment with loss of its right to domicile. Open surgery was performed with debridement, cruentation, and fixation of the bone fragment to the tibia with a screw. The patient had favorable post-operative evolution with fracture consolidation, preserved mobility, no instability of the joint, and no limitation in daily and school activities. Four years after the initial surgery, a second procedure was performed for the removal of the screw. During 7 years of follow-up, no limitations or sequels were found.

CONCLUSION

This case illustrates a very rare complication of the fracture of the tibial spine, the non-union, which is very rare under 8 years age. Besides, it highlights the importance of having a high index of suspicion to detect non-union after tibial spine fracture as long as timely treatment may be crucial to avoid definite sequels and disabilities.

摘要

引言

胫骨棘骨折每年在每10万名儿童中发生3例,在8岁以下儿童中较为罕见。胫骨棘撕脱骨折后的骨不连更为罕见,尤其是在8岁以下儿童中,文献中仅有少数病例报道。

病例介绍

一名6岁男孩左膝受伤后前往急诊科。在进行的X线检查中,未发现骨关节损伤。采用石膏固定进行保守治疗。去除固定后,最初的恢复情况良好,活动时无疼痛。几个月后,他因左膝再次受伤再次前往急诊科。检查时,他左膝活动时疼痛,尤其是在不完全伸直时。影像学检查诊断为胫骨前棘撕脱骨折。该骨折被分类为改良迈尔斯和麦基弗II型,并再次采用石膏固定进行保守治疗。在4周后进行的临床和影像学复查中,发现胫骨前棘出现骨不连。关节镜检查证实胫骨棘骨不连,有象爪状骨块且失去原位。进行了开放手术,包括清创、植骨,并使用螺钉将骨块固定于胫骨。患者术后恢复良好,骨折愈合,活动度保留,关节无不稳定,日常和学校活动无受限。初次手术后四年,进行了第二次手术取出螺钉。在7年的随访中,未发现任何限制或后遗症。

结论

本病例说明了胫骨棘骨折一种非常罕见的并发症——骨不连,在8岁以下儿童中极为罕见。此外,它强调了高度怀疑以检测胫骨棘骨折后骨不连的重要性,因为及时治疗对于避免明确的后遗症和残疾可能至关重要。

https://cdn.ncbi.nlm.nih.gov/pmc/blobs/f5dc/8051576/e9fa419ee22e/JOCR-10-27-g001.jpg

文献检索

告别复杂PubMed语法,用中文像聊天一样搜索,搜遍4000万医学文献。AI智能推荐,让科研检索更轻松。

立即免费搜索

文件翻译

保留排版,准确专业,支持PDF/Word/PPT等文件格式,支持 12+语言互译。

免费翻译文档

深度研究

AI帮你快速写综述,25分钟生成高质量综述,智能提取关键信息,辅助科研写作。

立即免费体验