Suppr超能文献

经荧光透视引导的血管内技术对犬心内副神经节瘤进行活检。

Biopsy of an intracardiac paraganglioma in a dog using a fluoroscopically guided endovascular technique.

机构信息

Veterinary Medical Teaching Hospital, University of California-Davis, Davis, California, USA.

Department of Surgical and Radiological Sciences, University of California-Davis, Davis, California, USA.

出版信息

J Vet Intern Med. 2021 May;35(3):1536-1541. doi: 10.1111/jvim.16118. Epub 2021 May 6.

Abstract

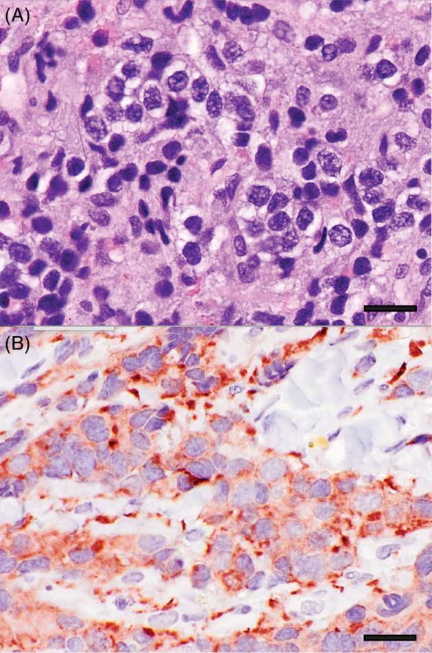
A 10-year-old female spayed mixed breed dog was evaluated for diarrhea and vomiting. Diagnostic imaging demonstrated the presence of an intracardiac mass. A modified Seldinger technique was used to access the right jugular vein, and an endomyocardial biopsy forceps was introduced through a sheath to obtain several biopsies. Histopathology and immunohistochemistry demonstrated a paraganglioma. The dog underwent 1 fraction of radiotherapy and l-asparaginase chemotherapy and was discharged. The dog developed a pulmonary thromboembolism 2 days after radiotherapy and chemotherapy, and the owner elected humane euthanasia. Although long-term assessment of treatment response was unable to be performed, this novel diagnostic option could be considered for similar cases due to success in obtaining a histopathologic diagnosis, which is essential in developing a disease-specific treatment plan. This report also describes the use of radiotherapy for primary treatment of an intracardiac neoplasm, which can be a consideration in the future.

摘要

一只 10 岁已绝育的雌性混种犬因腹泻和呕吐接受评估。诊断性影像学检查显示存在心内肿块。采用改良的 Seldinger 技术进入右颈静脉,并通过鞘管引入心内膜活检钳以获取多个活检标本。组织病理学和免疫组织化学显示为副神经节瘤。该犬接受了 1 次放射治疗和 l-天冬酰胺酶化疗后出院。放射治疗和化疗后 2 天,该犬发生肺血栓栓塞,主人选择实施安乐死。尽管无法对治疗反应进行长期评估,但由于成功获得了病理诊断,因此可以考虑将这种新的诊断选择用于类似病例,这对于制定针对特定疾病的治疗计划至关重要。本报告还描述了使用放射疗法作为心内肿瘤的主要治疗方法,这在未来可能是一种考虑。

https://cdn.ncbi.nlm.nih.gov/pmc/blobs/196b/8162608/6b4281bdfc9c/JVIM-35-1536-g001.jpg

文献检索

告别复杂PubMed语法,用中文像聊天一样搜索,搜遍4000万医学文献。AI智能推荐,让科研检索更轻松。

立即免费搜索

文件翻译

保留排版,准确专业,支持PDF/Word/PPT等文件格式,支持 12+语言互译。

免费翻译文档

深度研究

AI帮你快速写综述,25分钟生成高质量综述,智能提取关键信息,辅助科研写作。

立即免费体验