Prenek Lilla, Csupor Klára, Beszterczán Péter, Boros Krisztina, Kardos Erika, Vorobcsuk András, Egyed Miklós, Kellner Ádám, Rajnics Péter, Varga Csaba
Department of Emergency Medicine, Teaching Hospital Mór Kaposi, Tallián Gyula Street 20-32, Kaposvár, 7400, Hungary.
Department of Anaesthesiology and Intensive Therapy, Faculty of Medicine, University of Szeged, Semmelweis Street 6, Szeged, 6725, Hungary.
Int J Emerg Med. 2021 May 7;14(1):29. doi: 10.1186/s12245-021-00352-x.
Cardiac tumors are very uncommon compared to other cardiac diseases. Their clinical symptoms can vary from absent to non-specific. The most common symptoms are arrhythmias, blood flow obstruction due to valvular dysfunction, shortness of breath, systemic embolization, and accumulation of pericardial fluid. Hereby, we describe a very rare case of a diffuse large B cell lymphoma patient who presented with the symptoms and signs of acute coronary syndrome (ACS) but the patient's complaints were caused by his intramyocardial lymphoma metastasis.
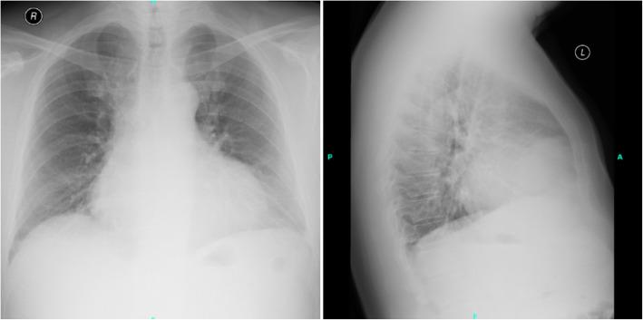
Forty-eight-year-old diffuse large B cell lymphoma patient was admitted to our emergency department with chest pain, effort dyspnea, and fever. The patient had normal blood pressure, blood oxygen saturation, sinus tachycardia, fever, crackles over the left lower lobe, novum incomplete right bundle branch block with Q waves and minor ST alterations, elevated C-reactive protein, high-sensitivity troponin-T, and d-dimer levels. Chest X-ray revealed consolidation on the left side and enlarged heart. Bed side transthoracic echocardiography showed inferior akinesis with pericardial fluid. Coronary angiography showed no occlusion or significant stenosis. Chest computed tomography demonstrated the progression of his lymphoma in the myocardium. He was admitted to the Department of Hematology for immediate chemotherapy and he reached complete metabolic remission, followed by allogeneic hematopoietic stem cell transplantation. Unfortunately, about 9 months later, he developed bone marrow deficiency consequently severe sepsis, septic shock, and multiple organ failure what he did not survive.
Our case demonstrates a very rare manifestation of a heart metastasis. ACS is an unusual symptom of cardiac tumors. But our patient's intramyocardial lymphoma in the right atrium and ventricle externally compressed the right coronary artery and damaged the heart tissue, causing the patient's symptoms which imitated ACS. Fortunately, the quick diagnostics and immediate aggressive chemotherapy provided the patient's remission and suitability to further treatment.
与其他心脏疾病相比,心脏肿瘤非常罕见。其临床症状可从无到非特异性。最常见的症状是心律失常、瓣膜功能障碍导致的血流梗阻、呼吸急促、系统性栓塞以及心包积液。在此,我们描述一例非常罕见的弥漫性大B细胞淋巴瘤患者,该患者表现出急性冠状动脉综合征(ACS)的症状和体征,但患者的主诉是由心肌内淋巴瘤转移引起的。
一名48岁的弥漫性大B细胞淋巴瘤患者因胸痛、劳力性呼吸困难和发热入住我院急诊科。患者血压正常、血氧饱和度正常、窦性心动过速、发热、左下叶可闻及湿啰音、新出现的不完全性右束支传导阻滞伴Q波和轻微ST段改变、C反应蛋白升高、高敏肌钙蛋白T及D - 二聚体水平升高。胸部X线显示左侧实变及心脏增大。床旁经胸超声心动图显示下壁运动减弱伴心包积液。冠状动脉造影显示无闭塞或明显狭窄。胸部计算机断层扫描显示其淋巴瘤在心肌内进展。他被收入血液科立即进行化疗,并达到完全代谢缓解,随后接受异基因造血干细胞移植。不幸的是,约9个月后,他出现骨髓抑制,继而发生严重脓毒症、感染性休克和多器官功能衰竭,最终死亡。
我们的病例展示了一种非常罕见的心脏转移表现。ACS是心脏肿瘤的一种不寻常症状。但我们患者右心房和心室的心肌内淋巴瘤向外压迫右冠状动脉并损伤心脏组织,导致患者出现类似ACS的症状。幸运的是,快速诊断和立即积极化疗使患者缓解并适合进一步治疗。