Suppr超能文献

南非奶牛采食油菜(芸薹属)后发生的肝原性光敏性。

Hepatogenous photosensitisation in cows grazing turnips (Brassica rapa) in South Africa.

机构信息

Humansdorp Veterinary Clinic, Humansdorp.

出版信息

J S Afr Vet Assoc. 2021 May 6;92(0):e1-e6. doi: 10.4102/jsava.v92i0.2106.

Abstract

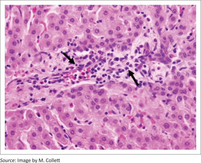
Holstein cows on a farm in the Humansdorp district, Eastern Cape province, South Africa, developed reddened, painful teat skin 3 days after grazing a mixed forage crop dominated by bulb turnip (Brassica rapa, Barkant cultivar). The crop was grazed 45 days after planting and 10% of the herd developed symptoms. More characteristic non-pigmented skin lesions started manifesting 1-2 days after the appearance of the teat lesions. Affected cows had elevated serum activities of gamma-glutamyl transferase, glutamate dehydrogenase and aspartate aminotransferase. These blood chemistry findings confirmed a secondary (hepatogenous) photosensitivity. As a result of the severity of the teat and skin lesions, seven cows were slaughtered and tissue samples from five of them were collected for histopathological examination. Liver lesions in cows that were culled 3 or more weeks after the onset of the outbreak showed oedematous concentric fibrosis around medium-sized bile ducts and inflammatory infiltrates in portal tracts. Characteristic lesions associated with other known hepatobiliary toxicities were not found. No new cases were reported 5 days after the cattle were removed from the turnips. The sudden introduction of the cows, without any period of transitioning or adaptation to grazing turnips, as well as the short latent period, clinical signs of photosensitisation, blood chemistry and histopathology, confirmed a diagnosis of Brassica-associated liver disease, a condition seen in New Zealand but not previously described in South Africa. Brassica forage crops are potentially toxic under certain conditions and farmers must be aware of these risks.

摘要

南非东开普省胡德斯多普地区一个农场的荷斯坦奶牛在放牧一种以球根菾菜(Brassica rapa,Barkant 品种)为主的混合饲料作物 45 天后,出现了发红、疼痛的乳头皮肤,放牧后 3 天出现这种情况。该作物种植后 10%的牛群出现症状。在乳头病变出现后 1-2 天,开始出现更具特征性的非色素皮肤病变。受影响的奶牛血清γ-谷氨酰转移酶、谷氨酸脱氢酶和天冬氨酸氨基转移酶活性升高。这些血液化学发现证实了继发性(肝源性)光敏性。由于乳头和皮肤病变严重,七头奶牛被屠宰,其中五头的组织样本被收集进行组织病理学检查。在发病后 3 周或更长时间被淘汰的奶牛的肝脏病变显示,中型胆管周围有水肿性同心纤维化和门脉区的炎症浸润。未发现与其他已知肝毒性相关的特征性病变。在牛群从萝卜中移除 5 天后,没有报告新的病例。奶牛的突然引入,没有任何过渡或适应时间来放牧萝卜,以及潜伏期短、光敏症状、血液化学和组织病理学,证实了与 Brassica 相关的肝病的诊断,这种情况在新西兰可见,但在南非以前没有描述过。在某些条件下,Brassica 饲料作物可能具有毒性,农民必须意识到这些风险。

https://cdn.ncbi.nlm.nih.gov/pmc/blobs/d840/8111612/2ec1506498a9/JSAVA-92-2106-g001.jpg

文献检索

告别复杂PubMed语法,用中文像聊天一样搜索,搜遍4000万医学文献。AI智能推荐,让科研检索更轻松。

立即免费搜索

文件翻译

保留排版,准确专业,支持PDF/Word/PPT等文件格式,支持 12+语言互译。

免费翻译文档

深度研究

AI帮你快速写综述,25分钟生成高质量综述,智能提取关键信息,辅助科研写作。

立即免费体验