• 文献检索
  • 文档翻译
  • 深度研究
  • 学术资讯
  • Suppr Zotero 插件Zotero 插件
  • 邀请有礼
  • 套餐&价格
  • 历史记录
应用&插件
Suppr Zotero 插件Zotero 插件浏览器插件Mac 客户端Windows 客户端微信小程序
定价
高级版会员购买积分包购买API积分包
服务
文献检索文档翻译深度研究API 文档MCP 服务
关于我们
关于 Suppr公司介绍联系我们用户协议隐私条款
关注我们

Suppr 超能文献

核心技术专利:CN118964589B侵权必究
粤ICP备2023148730 号-1Suppr @ 2026

文献检索

告别复杂PubMed语法,用中文像聊天一样搜索,搜遍4000万医学文献。AI智能推荐,让科研检索更轻松。

立即免费搜索

文件翻译

保留排版,准确专业,支持PDF/Word/PPT等文件格式,支持 12+语言互译。

免费翻译文档

深度研究

AI帮你快速写综述,25分钟生成高质量综述,智能提取关键信息,辅助科研写作。

立即免费体验

精子发生停滞小鼠模型中的基因与组织形态学改变分析:一种可能的不孕症新方法。

Gene and histomorphology alteration analysis in spermatogenesis arrest mouse model: a probable novel approach for infertility.

作者信息

Nabighadim Amirreza, Jafarnezhad-Ansariha Fahimeh, Majidi Zolbin Masoumeh, Daryabari Seyedeh Sima, Fendereski Kiarad, Kajbafzadeh Abdol Mohammad

机构信息

Pediatric Urology and Regenerative Medicine Research Center, Children's Medical Center, Tehran University of Medical Sciences, Tehran, Iran.

出版信息

Cent European J Urol. 2021;74(1):99-108. doi: 10.5173/ceju.2020.0175. Epub 2020 Dec 31.

DOI:10.5173/ceju.2020.0175
PMID:33976924
原文链接:https://pmc.ncbi.nlm.nih.gov/articles/PMC8097657/
Abstract

INTRODUCTION

Approximately 15% of couples in the reproductive age are struggling with infertility which, in nearly half of them, is caused by male factors.

MATERIAL AND METHODS

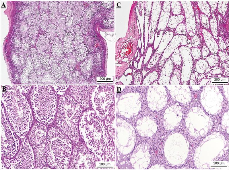
The present study comprised of two groups of sixteen C57BL/6 mice; each mouse received either an intraperitoneal injection of 30 mg/kg of an alkylating agent or the same amount of distilled water. Testes were harvested 30 days following the injection. Morphometric analysis of hematoxylin and eosin (H&E) stained slides including mean tubular area, diameter and intratubular particles were performed. Spermatogenesis rate was assessed by spermatogonial markers including promyelocytic leukemia zinc finger protein (PLZF) and neurogenin-3 (NGN3). Moreover, the expression rate of Wilms Tumor-1 (WT-1), A-Kinase Anchoring Protein 4 (AKAP4) and adenosine deaminase domain containing 1 (ADAD1) genes were evaluated via real-time polymerase chain reaction (RT-PCR).

RESULTS

The body weight gradually increased in both groups after a period of 30 days, however, the increase was significantly (p-value = 0.023) lower in the chemically treated group. All the morphometric parameters were considerably decreased in the azoospermic mice. Also, promyelocytic leukemia zinc finger protein and neurogenin-3 expression dramatically declined (p-value <0.001 for both markers). In comparison with the negative control group, the expression rates of A-Kinase Anchoring Protein 4 and adenosine deaminase domain containing 1, two genes participating in the sperm structure, were remarkably reduced in the intervention group (p-value <0.001); however, our investigations demonstrated that the azoospermia model could induce a 5-fold upregulation in Wilms Tumor-1 gene expression.

CONCLUSIONS

Development of an azoospermia model can upregulate Wilms Tumor-1 gene expression in a higher rate after 30 days; however, expression of the testis-specific genes, A-Kinase Anchoring Protein 4 and adenosine deaminase domain containing 1, decreased after the intervention. To the best of our knowledge, this upregulation could be related to spermatogenesis recovery after the follow-up period.

摘要

引言

约15%的育龄夫妇正面临不孕问题,其中近一半是由男性因素导致的。

材料与方法

本研究包括两组,每组16只C57BL/6小鼠;每只小鼠腹腔注射30mg/kg的烷化剂或等量的蒸馏水。注射后30天采集睾丸。对苏木精和伊红(H&E)染色的切片进行形态计量分析,包括平均管腔面积、直径和管腔内颗粒。通过精原细胞标志物,包括早幼粒细胞白血病锌指蛋白(PLZF)和神经生成素-3(NGN3)评估精子发生率。此外,通过实时聚合酶链反应(RT-PCR)评估威尔姆斯瘤-1(WT-1)、A激酶锚定蛋白4(AKAP4)和含腺苷脱氨酶结构域1(ADAD1)基因的表达率。

结果

30天后两组体重均逐渐增加,但化学处理组的增加显著较低(p值=0.023)。无精子症小鼠的所有形态计量参数均显著降低。此外,早幼粒细胞白血病锌指蛋白和神经生成素-3的表达显著下降(两种标志物的p值均<0.001)。与阴性对照组相比,参与精子结构的两个基因A激酶锚定蛋白4和含腺苷脱氨酶结构域1在干预组中的表达率显著降低(p值<0.001);然而,我们的研究表明,无精子症模型可使威尔姆斯瘤-1基因表达上调5倍。

结论

无精子症模型在30天后可使威尔姆斯瘤-1基因表达以更高的速率上调;然而,干预后睾丸特异性基因A激酶锚定蛋白4和含腺苷脱氨酶结构域1的表达降低。据我们所知,这种上调可能与随访期后精子发生的恢复有关。

https://cdn.ncbi.nlm.nih.gov/pmc/blobs/9f5a/8097657/18cd5c2cc0ac/CEJU-74-0175-g006.jpg
https://cdn.ncbi.nlm.nih.gov/pmc/blobs/9f5a/8097657/e1d92829da55/CEJU-74-0175-g001.jpg
https://cdn.ncbi.nlm.nih.gov/pmc/blobs/9f5a/8097657/1b0af527ead0/CEJU-74-0175-g002.jpg
https://cdn.ncbi.nlm.nih.gov/pmc/blobs/9f5a/8097657/51cae1660c9d/CEJU-74-0175-g003.jpg
https://cdn.ncbi.nlm.nih.gov/pmc/blobs/9f5a/8097657/4e4f36436069/CEJU-74-0175-g004.jpg
https://cdn.ncbi.nlm.nih.gov/pmc/blobs/9f5a/8097657/c67bcb817ba2/CEJU-74-0175-g005.jpg
https://cdn.ncbi.nlm.nih.gov/pmc/blobs/9f5a/8097657/18cd5c2cc0ac/CEJU-74-0175-g006.jpg
https://cdn.ncbi.nlm.nih.gov/pmc/blobs/9f5a/8097657/e1d92829da55/CEJU-74-0175-g001.jpg
https://cdn.ncbi.nlm.nih.gov/pmc/blobs/9f5a/8097657/1b0af527ead0/CEJU-74-0175-g002.jpg
https://cdn.ncbi.nlm.nih.gov/pmc/blobs/9f5a/8097657/51cae1660c9d/CEJU-74-0175-g003.jpg
https://cdn.ncbi.nlm.nih.gov/pmc/blobs/9f5a/8097657/4e4f36436069/CEJU-74-0175-g004.jpg
https://cdn.ncbi.nlm.nih.gov/pmc/blobs/9f5a/8097657/c67bcb817ba2/CEJU-74-0175-g005.jpg
https://cdn.ncbi.nlm.nih.gov/pmc/blobs/9f5a/8097657/18cd5c2cc0ac/CEJU-74-0175-g006.jpg

相似文献

1
Gene and histomorphology alteration analysis in spermatogenesis arrest mouse model: a probable novel approach for infertility.精子发生停滞小鼠模型中的基因与组织形态学改变分析:一种可能的不孕症新方法。
Cent European J Urol. 2021;74(1):99-108. doi: 10.5173/ceju.2020.0175. Epub 2020 Dec 31.
2
Sequencing of a 'mouse azoospermia' gene panel in azoospermic men: identification of RNF212 and STAG3 mutations as novel genetic causes of meiotic arrest.对无精子症男性的“小鼠无精子症”基因panel 进行测序:鉴定 RNF212 和 STAG3 突变作为减数分裂阻滞的新的遗传原因。
Hum Reprod. 2019 Jun 4;34(6):978-988. doi: 10.1093/humrep/dez042.
3
[Cynomorium songaricum improves sperm count and motility and serum testosterone level and promotes proliferation of undifferentiated spermatogonia in oligoasthenospermia rats].锁阳改善少弱精子症大鼠的精子数量、活力及血清睾酮水平并促进未分化精原细胞增殖
Zhonghua Nan Ke Xue. 2016 Dec;22(12):1116-1121.
4
The mouse testis tissue culture could resume spermatogenesis as same as in vivo condition after human spermatogonial stem cells transplantation.人精原干细胞移植后,小鼠睾丸组织培养可恢复与体内相同的生精作用。
Rev Int Androl. 2021 Apr-Jun;19(2):112-122. doi: 10.1016/j.androl.2019.11.001. Epub 2020 Jun 6.
5
NTP technical report on the toxicity studies of Dibutyl Phthalate (CAS No. 84-74-2) Administered in Feed to F344/N Rats and B6C3F1 Mice.美国国家毒理学计划关于邻苯二甲酸二丁酯(化学物质登记号84 - 74 - 2)经饲料给予F344/N大鼠和B6C3F1小鼠的毒性研究技术报告。
Toxic Rep Ser. 1995 Apr;30:1-G5.
6
Effect of Kallikrein-related Peptidase KLK1 on Ameliorating Spermatogenesis Regeneration in Busulfan-induced Azoospermic Mice and Promoting Mouse Spermatogonial Stem Cell Proliferation In Vitro.激肽释放酶相关肽酶KLK1对改善白消安诱导的无精子症小鼠精子发生再生及促进小鼠精原干细胞体外增殖的作用。
Urology. 2018 Dec;122:89-96. doi: 10.1016/j.urology.2018.08.025. Epub 2018 Aug 29.
7
Application of platelet-rich plasma (PRP) improves self-renewal of human spermatogonial stem cells in two-dimensional and three-dimensional culture systems.富血小板血浆(PRP)的应用改善了人精原干细胞在二维和三维培养系统中的自我更新能力。
Acta Histochem. 2020 Dec;122(8):151627. doi: 10.1016/j.acthis.2020.151627. Epub 2020 Sep 28.
8
Urine-Derived Stem Cells Facilitate Endogenous Spermatogenesis Restoration of Busulfan-Induced Nonobstructive Azoospermic Mice by Paracrine Exosomes.尿源干细胞通过旁分泌外泌体促进白消安诱导的非梗阻性无精子症小鼠内源性精子发生恢复。
Stem Cells Dev. 2019 Oct 1;28(19):1322-1333. doi: 10.1089/scd.2019.0026. Epub 2019 Sep 9.
9
Ultrasonographic caput epididymis diameter is reduced in non-obstructive azoospermia compared with normozoospermia but is not predictive for successful sperm retrieval after TESE.超声检测附睾头直径在非梗阻性无精子症中较正常精子症小,但不能预测 TESE 后精子获取的成功。
Hum Reprod. 2014 Jul;29(7):1368-74. doi: 10.1093/humrep/deu092. Epub 2014 May 7.
10
Fine-Needle Aspiration Cytology of the Testes for the Classification of Azoospermia and Its Value in the Assessment of Male Infertility.睾丸细针穿刺抽吸细胞学检查在无精子症分类中的应用及其在男性不育评估中的价值
Acta Cytol. 2020;64(3):216-223. doi: 10.1159/000502790. Epub 2019 Sep 24.

本文引用的文献

1
Proteomics and single-cell RNA analysis of Akap4-knockout mice model confirm indispensable role of Akap4 in spermatogenesis.蛋白质组学和单细胞 RNA 分析 Akap4 敲除小鼠模型证实了 Akap4 在精子发生中的不可或缺的作用。
Dev Biol. 2019 Oct 15;454(2):118-127. doi: 10.1016/j.ydbio.2019.06.017. Epub 2019 Jun 28.
2
Transplantation of Spermatogonial Stem Cells Suspension into Rete Testis of Azoospermia Mouse Model.
Urol J. 2018 Jan 23;15(1):40-47. doi: 10.22037/uj.v0i0.3777.
3
An efficient method for generating a germ cell depleted animal model for studies related to spermatogonial stem cell transplantation.一种用于生成与精原干细胞移植相关研究的生殖细胞缺失动物模型的有效方法。
Stem Cell Res Ther. 2016 Sep 22;7(1):142. doi: 10.1186/s13287-016-0405-1.
4
Busulfan induced azoospermia: Stereological evaluation of testes in rat.白消安诱导的无精子症:大鼠睾丸的体视学评估
Vet Res Forum. 2015 Fall;6(4):273-8. Epub 2015 Dec 15.
5
Wt1 deficiency causes undifferentiated spermatogonia accumulation and meiotic progression disruption in neonatal mice.Wt1 缺失导致新生小鼠未分化精原细胞积累和减数分裂进程破坏。
Reproduction. 2013 Nov 16;147(1):45-52. doi: 10.1530/REP-13-0299. Print 2014 Jan.
6
Identification of male gametogenesis expressed genes from the scallop Nodipecten subnodosus by suppressive subtraction hybridization and pyrosequencing.利用抑制性消减杂交和焦磷酸测序技术从海湾扇贝中鉴定精子发生相关基因。
PLoS One. 2013 Sep 16;8(9):e73176. doi: 10.1371/journal.pone.0073176. eCollection 2013.
7
Potential biomarkers of nonobstructive azoospermia identified in microarray gene expression analysis.基于基因表达谱芯片分析鉴定的非梗阻性无精子症的潜在生物标志物。
Fertil Steril. 2013 Dec;100(6):1686-94.e1-7. doi: 10.1016/j.fertnstert.2013.07.1999. Epub 2013 Sep 4.
8
The Wilms tumor gene, Wt1, is critical for mouse spermatogenesis via regulation of sertoli cell polarity and is associated with non-obstructive azoospermia in humans.Wilms 肿瘤基因 Wt1 通过调节支持细胞极性对小鼠精子发生至关重要,并且与人类非梗阻性无精子症有关。
PLoS Genet. 2013;9(8):e1003645. doi: 10.1371/journal.pgen.1003645. Epub 2013 Aug 1.
9
The role of molecular chaperones in spermatogenesis and the post-testicular maturation of mammalian spermatozoa.分子伴侣在精子发生和哺乳动物精子的附后成熟中的作用。
Hum Reprod Update. 2012 Jul;18(4):420-35. doi: 10.1093/humupd/dms009. Epub 2012 Apr 20.
10
Genetic and epigenetic factors: Role in male infertility.遗传和表观遗传因素:在男性不育中的作用。
Indian J Urol. 2011 Jan;27(1):110-20. doi: 10.4103/0970-1591.78436.