• 文献检索
  • 文档翻译
  • 深度研究
  • 学术资讯
  • Suppr Zotero 插件Zotero 插件
  • 邀请有礼
  • 套餐&价格
  • 历史记录
应用&插件
Suppr Zotero 插件Zotero 插件浏览器插件Mac 客户端Windows 客户端微信小程序
定价
高级版会员购买积分包购买API积分包
服务
文献检索文档翻译深度研究API 文档MCP 服务
关于我们
关于 Suppr公司介绍联系我们用户协议隐私条款
关注我们

Suppr 超能文献

核心技术专利:CN118964589B侵权必究
粤ICP备2023148730 号-1Suppr @ 2026

文献检索

告别复杂PubMed语法,用中文像聊天一样搜索,搜遍4000万医学文献。AI智能推荐,让科研检索更轻松。

立即免费搜索

文件翻译

保留排版,准确专业,支持PDF/Word/PPT等文件格式,支持 12+语言互译。

免费翻译文档

深度研究

AI帮你快速写综述,25分钟生成高质量综述,智能提取关键信息,辅助科研写作。

立即免费体验

高级别胶质瘤长期生存者放射性脑白质病的累积发生率及危险因素。

Cumulative incidence and risk factors for radiation induced leukoencephalopathy in high grade glioma long term survivors.

机构信息

Service de Neurologie 2-Mazarin, Groupe Hospitalier Pitié-Salpêtrière, AP-HP, 75013, Paris, France.

Department of Neuro-Pathology, University of Leipzig, 04103, Leipzig, Germany.

出版信息

Sci Rep. 2021 May 13;11(1):10176. doi: 10.1038/s41598-021-89216-1.

DOI:10.1038/s41598-021-89216-1
PMID:33986314
原文链接:https://pmc.ncbi.nlm.nih.gov/articles/PMC8119685/
Abstract

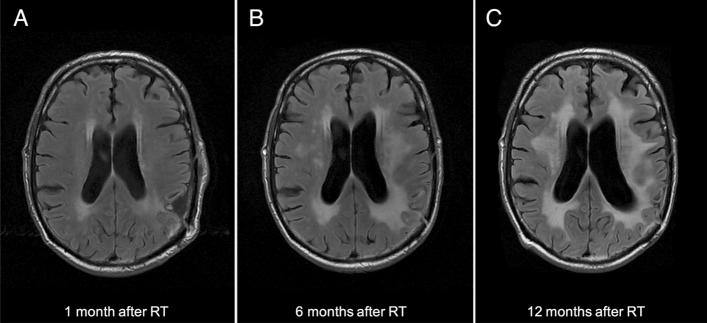
The incidence and risk factors associated with radiation-induced leukoencephalopathy (RIL) in long-term survivors of high-grade glioma (HGG) are still poorly investigated. We performed a retrospective research in our institutional database for patients with supratentorial HGG treated with focal radiotherapy, having a progression-free overall survival > 30 months and available germline DNA. We reviewed MRI scans for signs of leukoencephalopathy on T2/FLAIR sequences, and medical records for information on cerebrovascular risk factors and neurological symptoms. We investigated a panel of candidate single nucleotide polymorphisms (SNPs) to assess genetic risk. Eighty-one HGG patients (18 grade IV and 63 grade III, 50M/31F) were included in the study. The median age at the time of radiotherapy was 48 years old (range 18-69). The median follow-up after the completion of radiotherapy was 79 months. A total of 44 patients (44/81, 54.3%) developed RIL during follow-up. Twenty-nine of the 44 patients developed consistent symptoms such as subcortical dementia (n = 28), gait disturbances (n = 12), and urinary incontinence (n = 9). The cumulative incidence of RIL was 21% at 12 months, 42% at 36 months, and 48% at 60 months. Age > 60 years, smoking, and the germline SNP rs2120825 (PPARg locus) were associated with an increased risk of RIL. Our study identified potential risk factors for the development of RIL (age, smoking, and the germline SNP rs2120825) and established the rationale for testing PPARg agonists in the prevention and management of late-delayed radiation-induced neurotoxicity.

摘要

放射性脑白质病(RIL)在高级别胶质瘤(HGG)长期幸存者中的发病率和相关风险因素仍研究甚少。我们对在我院接受局部放疗的幕上 HGG 患者的机构数据库进行了回顾性研究,这些患者的无进展总生存期(PFS)>30 个月,并且有可利用的种系 DNA。我们对 T2/FLAIR 序列上的脑白质病的 MRI 扫描进行了复查,并对脑血管危险因素和神经症状的医疗记录进行了审查。我们研究了一组候选单核苷酸多态性(SNP),以评估遗传风险。共纳入 81 例 HGG 患者(18 例 IV 级和 63 例 III 级,50 例男性/31 例女性)。放疗时的中位年龄为 48 岁(18-69 岁)。放疗完成后的中位随访时间为 79 个月。在随访期间,共有 44 例(44/81,54.3%)患者发生 RIL。在这 44 例患者中,29 例(29/44)出现了皮质下痴呆(n=28)、步态障碍(n=12)和尿失禁(n=9)等一致的症状。RIL 的累积发生率为 12 个月时为 21%,36 个月时为 42%,60 个月时为 48%。年龄>60 岁、吸烟和种系 SNP rs2120825(PPARg 基因座)与 RIL 风险增加相关。我们的研究确定了 RIL 发展的潜在风险因素(年龄、吸烟和种系 SNP rs2120825),并为测试 PPARg 激动剂在预防和管理迟发性放射性神经毒性方面提供了依据。

https://cdn.ncbi.nlm.nih.gov/pmc/blobs/e574/8119685/2b99d761264a/41598_2021_89216_Fig2_HTML.jpg
https://cdn.ncbi.nlm.nih.gov/pmc/blobs/e574/8119685/6dc34ab29650/41598_2021_89216_Fig1_HTML.jpg
https://cdn.ncbi.nlm.nih.gov/pmc/blobs/e574/8119685/2b99d761264a/41598_2021_89216_Fig2_HTML.jpg
https://cdn.ncbi.nlm.nih.gov/pmc/blobs/e574/8119685/6dc34ab29650/41598_2021_89216_Fig1_HTML.jpg
https://cdn.ncbi.nlm.nih.gov/pmc/blobs/e574/8119685/2b99d761264a/41598_2021_89216_Fig2_HTML.jpg

相似文献

1
Cumulative incidence and risk factors for radiation induced leukoencephalopathy in high grade glioma long term survivors.高级别胶质瘤长期生存者放射性脑白质病的累积发生率及危险因素。
Sci Rep. 2021 May 13;11(1):10176. doi: 10.1038/s41598-021-89216-1.
2
Radiological and clinical assessment of long-term brain tumour survivors after radiotherapy.放疗后长期脑肿瘤幸存者的放射学和临床评估
Radiother Oncol. 2003 Nov;69(2):169-76. doi: 10.1016/s0167-8140(03)00192-0.
3
Leukoencephalopathy After Stereotactic Radiosurgery for Brain Metastases.脑转移瘤立体定向放射治疗后的白质脑病
Int J Radiat Oncol Biol Phys. 2015 Nov 15;93(4):870-8. doi: 10.1016/j.ijrobp.2015.07.2280. Epub 2015 Jul 29.
4
Incidence of leukoencephalopathy after whole-brain radiation therapy for brain metastases.脑转移全脑放疗后脑白质病的发生率。
Int J Radiat Oncol Biol Phys. 2013 Apr 1;85(5):1212-7. doi: 10.1016/j.ijrobp.2012.09.025. Epub 2012 Oct 23.
5
Current and future strategies in radiotherapy of childhood low-grade glioma of the brain. Part II: Treatment-related late toxicity.儿童脑低级别胶质瘤放射治疗的当前及未来策略。第二部分:与治疗相关的晚期毒性
Strahlenther Onkol. 2003 Sep;179(9):585-97. doi: 10.1007/s00066-003-8104-0.
6
External beam radiation dose escalation for high grade glioma.高级别胶质瘤的外照射放疗剂量递增
Cochrane Database Syst Rev. 2016 Aug 19(8):CD011475. doi: 10.1002/14651858.CD011475.pub2.
7
New insights in radiation-induced leukoencephalopathy: a prospective cross-sectional study.放射性脑白质病的新认识:一项前瞻性横断面研究。
Support Care Cancer. 2018 Dec;26(12):4217-4226. doi: 10.1007/s00520-018-4296-9. Epub 2018 Jul 7.
8
Incidence of pseudoprogression in low-grade gliomas treated with radiotherapy.低级别胶质瘤放疗后假性进展的发生率
Neuro Oncol. 2017 May 1;19(5):719-725. doi: 10.1093/neuonc/now194.
9
Late Effects After Radiotherapy for Childhood Low-grade Glioma.儿童低级别胶质瘤放疗后的晚期效应
Am J Clin Oncol. 2018 Mar;41(3):307-312. doi: 10.1097/COC.0000000000000267.
10
First experiences in treatment of low-grade glioma grade I and II with proton therapy.质子治疗低级别胶质瘤 I 级和 II 级的初步经验。
Radiat Oncol. 2012 Nov 9;7:189. doi: 10.1186/1748-717X-7-189.

引用本文的文献

1
The spectrum of IDH- and H3-wildtype high-grade glioma subgroups occurring across teenage and young adult patient populations.青少年和年轻成年患者群体中出现的异柠檬酸脱氢酶(IDH)和组蛋白H3野生型高级别胶质瘤亚组的谱系。
Clin Cancer Res. 2025 Mar 10. doi: 10.1158/1078-0432.CCR-24-1256.
2
Normal Brain-Sparing Radiotherapy versus Whole Brain Radiotherapy for Multiple Brain Metastasis from Non-Small Cell Lung Cancer.非小细胞肺癌多发脑转移的正常脑组织保护放疗与全脑放疗对比
Cancer Res Treat. 2025 Jul;57(3):720-730. doi: 10.4143/crt.2024.679. Epub 2024 Dec 3.
3
Brain volume loss after cranial irradiation: a controlled comparison study between photon vs proton radiotherapy for WHO grade 2-3 gliomas.

本文引用的文献

1
Memory in low-grade glioma patients treated with radiotherapy or temozolomide: a correlative analysis of EORTC study 22033-26033.接受放疗或替莫唑胺治疗的低级别胶质瘤患者的记忆:欧洲癌症研究与治疗组织(EORTC)22033-26033研究的相关性分析
Neuro Oncol. 2021 May 5;23(5):803-811. doi: 10.1093/neuonc/noaa252.
2
Long-term neurocognitive and other side effects of radiotherapy, with or without chemotherapy, for glioma.放疗(无论是否联合化疗)对神经胶质瘤的长期神经认知及其他副作用
Cochrane Database Syst Rev. 2019 Aug 5;8(8):CD013047. doi: 10.1002/14651858.CD013047.pub2.
3
Safety of pioglitazone during and after radiation therapy in patients with brain tumors: a phase I clinical trial.
颅脑照射后的脑容量损失:WHO 2-3级胶质瘤光子放疗与质子放疗的对照比较研究
J Neurooncol. 2025 Jan;171(2):351-363. doi: 10.1007/s11060-024-04850-9. Epub 2024 Oct 14.
4
Unique brain injury patterns after proton vs photon radiotherapy for WHO grade 2-3 gliomas.对于世界卫生组织2-3级神经胶质瘤,质子放疗与光子放疗后的独特脑损伤模式。
Oncologist. 2024 Dec 6;29(12):e1748-e1761. doi: 10.1093/oncolo/oyae195.
5
Precision based approach to tailoring radiotherapy in the multidisciplinary management of pediatric central nervous system tumors.基于精准度的方法在儿童中枢神经系统肿瘤多学科管理中定制放射治疗。
J Natl Cancer Cent. 2023 Apr 6;3(2):141-149. doi: 10.1016/j.jncc.2023.03.001. eCollection 2023 Jun.
6
Mitigating Radiotoxicity in the Central Nervous System: Role of Proton Therapy.减轻中枢神经系统的放射毒性:质子治疗的作用。
Curr Treat Options Oncol. 2023 Nov;24(11):1524-1549. doi: 10.1007/s11864-023-01131-x. Epub 2023 Sep 20.
7
Recognition and Management of the Long-term Effects of Cranial Radiation.识别和管理颅部放射治疗的长期效应。
Curr Treat Options Oncol. 2023 Jul;24(7):880-891. doi: 10.1007/s11864-023-01078-z. Epub 2023 May 5.
8
Alterations in white matter fiber density associated with structural MRI and metabolic PET lesions following multimodal therapy in glioma patients.胶质瘤患者多模态治疗后,与结构MRI和代谢PET病变相关的白质纤维密度改变。
Front Oncol. 2022 Nov 14;12:998069. doi: 10.3389/fonc.2022.998069. eCollection 2022.
9
Neurological side effects of radiation therapy.放射治疗的神经系统副作用。
Neurol Sci. 2022 Apr;43(4):2363-2374. doi: 10.1007/s10072-022-05944-w. Epub 2022 Feb 11.
10
Radiotherapy of High-Grade Gliomas: First Half of 2021 Update with Special Reference to Radiosensitization Studies.高级别脑胶质瘤的放射治疗:2021 年上半年更新,特别关注放射增敏研究。
Int J Mol Sci. 2021 Aug 19;22(16):8942. doi: 10.3390/ijms22168942.
脑肿瘤患者放疗期间和放疗后的吡格列酮安全性:一项 I 期临床试验。
J Cancer Res Clin Oncol. 2019 Feb;145(2):337-344. doi: 10.1007/s00432-018-2791-5. Epub 2018 Nov 12.
4
New insights in radiation-induced leukoencephalopathy: a prospective cross-sectional study.放射性脑白质病的新认识:一项前瞻性横断面研究。
Support Care Cancer. 2018 Dec;26(12):4217-4226. doi: 10.1007/s00520-018-4296-9. Epub 2018 Jul 7.
5
Interim results from the CATNON trial (EORTC study 26053-22054) of treatment with concurrent and adjuvant temozolomide for 1p/19q non-co-deleted anaplastic glioma: a phase 3, randomised, open-label intergroup study.CATNON 试验(EORTC 研究 26053-22054)的中期结果,该试验采用同步和辅助替莫唑胺治疗 1p/19q 非共缺失间变性神经胶质瘤:一项 3 期、随机、开放标签的分组间研究。
Lancet. 2017 Oct 7;390(10103):1645-1653. doi: 10.1016/S0140-6736(17)31442-3. Epub 2017 Aug 8.
6
Cerebral Microstructural Alterations after Radiation Therapy in High-Grade Glioma: A Diffusion Tensor Imaging-Based Study.高级别胶质瘤放疗后脑微结构改变:一项基于扩散张量成像的研究
Front Neurol. 2017 Jun 15;8:286. doi: 10.3389/fneur.2017.00286. eCollection 2017.
7
PPARγ activation ameliorates postoperative cognitive decline probably through suppressing hippocampal neuroinflammation in aged mice.过氧化物酶体增殖物激活受体γ(PPARγ)的激活可能通过抑制老年小鼠海马神经炎症来改善术后认知功能下降。
Int Immunopharmacol. 2017 Feb;43:53-61. doi: 10.1016/j.intimp.2016.12.003. Epub 2016 Dec 9.
8
Neurocognitive functioning and genetic variation in patients with primary brain tumours.原发性脑肿瘤患者的神经认知功能与基因变异
Lancet Oncol. 2016 Mar;17(3):e97-e108. doi: 10.1016/S1470-2045(15)00380-0. Epub 2016 Mar 2.
9
A PPAR-gamma agonist attenuates pulmonary injury induced by irradiation in a murine model.一种过氧化物酶体增殖物激活受体γ(PPAR-γ)激动剂可减轻小鼠模型中辐射诱导的肺损伤。
Lung Cancer. 2015 Dec;90(3):405-9. doi: 10.1016/j.lungcan.2015.11.005. Epub 2015 Nov 7.
10
Irbesartan, an angiotensin II receptor antagonist, with selective PPAR-gamma-modulating activity improves function and structure of chemotherapy-damaged ovaries in rats.厄贝沙坦是一种血管紧张素II受体拮抗剂,具有选择性过氧化物酶体增殖物激活受体γ(PPAR-γ)调节活性,可改善化疗损伤大鼠卵巢的功能和结构。
Fundam Clin Pharmacol. 2015 Jun;29(3):286-98. doi: 10.1111/fcp.12119. Epub 2015 Apr 17.