• 文献检索
  • 文档翻译
  • 深度研究
  • 学术资讯
  • Suppr Zotero 插件Zotero 插件
  • 邀请有礼
  • 套餐&价格
  • 历史记录
应用&插件
Suppr Zotero 插件Zotero 插件浏览器插件Mac 客户端Windows 客户端微信小程序
定价
高级版会员购买积分包购买API积分包
服务
文献检索文档翻译深度研究API 文档MCP 服务
关于我们
关于 Suppr公司介绍联系我们用户协议隐私条款
关注我们

Suppr 超能文献

核心技术专利:CN118964589B侵权必究
粤ICP备2023148730 号-1Suppr @ 2026

文献检索

告别复杂PubMed语法,用中文像聊天一样搜索,搜遍4000万医学文献。AI智能推荐,让科研检索更轻松。

立即免费搜索

文件翻译

保留排版,准确专业,支持PDF/Word/PPT等文件格式,支持 12+语言互译。

免费翻译文档

深度研究

AI帮你快速写综述,25分钟生成高质量综述,智能提取关键信息,辅助科研写作。

立即免费体验

NT5DC2通过稳定未棕榈酰化的TEAD4并形成正反馈回路来促进平滑肌肉瘤肿瘤细胞的生长。

NT5DC2 promotes leiomyosarcoma tumour cell growth via stabilizing unpalmitoylated TEAD4 and generating a positive feedback loop.

作者信息

Hu Bowen, Zhou Shijie, Hu Xuefeng, Zhang Hua, Lan Xiaorong, Li Mei, Wang Yunbing, Hu Qinsheng

机构信息

Department of Orthopedics, Orthopedics Research Institute, West China Hospital, Sichuan University, Chengdu, China.

Cancer Center, West China Hospital, Sichuan University, Chengdu, China.

出版信息

J Cell Mol Med. 2021 Jul;25(13):5976-5987. doi: 10.1111/jcmm.16409. Epub 2021 May 16.

DOI:10.1111/jcmm.16409
PMID:33993634
原文链接:https://pmc.ncbi.nlm.nih.gov/articles/PMC8366447/
Abstract

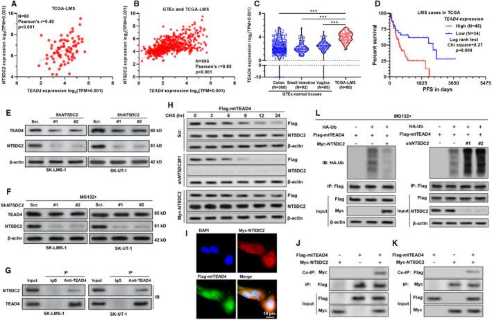
5'-Nucleotidase Domain Containing 2 (NT5DC2) is a novel oncoprotein, the regulatory effects of which have not been well characterized. This study aimed to investigate the expression profile and functional regulation of NT5DC2 and its potential interplay with TEAD4 in leiomyosarcoma (LMS). Bioinformatic analysis was conducted using data from The Cancer Genome Atlas (TCGA) and Genotype-Tissue Expression (GTEx) program. LMS cell lines SK-LMS-1 and SK-UT-1 were used for both in vitro and in vivo analysis. Results showed that NT5DC2 is aberrantly upregulated in LMS. Its overexpression was associated with unfavourable survival. Deletion of NT5DC2 significantly reduced the expression of cyclin B1, cyclin A2, cyclin E1 and CDK1 and increased G1 phase arrest in LMS cell lines, and suppressed their proliferation both in vitro and in vivo. NT5DC2 interacted with unpalmitoylated TEAD4, and this association reduced TEAD4 degradation via the ubiquitin-proteasome pathway. TRIM27 is a novel E3 ubiquitin ligase that induces K27/48-linked ubiquitination of unpalmitoylated TEAD4 at Lys278. TEAD4 inhibition significantly suppressed LMS cell growth both in vitro and in vivo. Dual-luciferase assay demonstrated that TEAD4 could bind to the NT5DC2 promoter and activate its transcription. Based on these findings, we infer that the NT5DC2-TEAD4 positive feedback loop plays an important role in LMS development and might serve as a potential therapeutic target.

摘要

含5'-核苷酸酶结构域2(NT5DC2)是一种新型癌蛋白,其调节作用尚未得到充分表征。本研究旨在探讨NT5DC2在平滑肌肉瘤(LMS)中的表达谱、功能调控及其与TEAD4的潜在相互作用。使用来自癌症基因组图谱(TCGA)和基因型-组织表达(GTEx)项目的数据进行生物信息学分析。LMS细胞系SK-LMS-1和SK-UT-1用于体外和体内分析。结果显示,NT5DC2在LMS中异常上调。其过表达与不良生存相关。NT5DC2的缺失显著降低了细胞周期蛋白B1、细胞周期蛋白A2、细胞周期蛋白E1和细胞周期蛋白依赖性激酶1的表达,并增加了LMS细胞系中的G1期阻滞,并在体外和体内均抑制了它们的增殖。NT5DC2与未棕榈酰化的TEAD4相互作用,这种关联减少了TEAD4通过泛素-蛋白酶体途径的降解。TRIM27是一种新型E3泛素连接酶,可诱导未棕榈酰化的TEAD4在赖氨酸278处发生K27/48连接的泛素化。TEAD4抑制在体外和体内均显著抑制了LMS细胞的生长。双荧光素酶测定表明,TEAD4可与NT5DC2启动子结合并激活其转录。基于这些发现,我们推断NT5DC2-TEAD4正反馈环在LMS发展中起重要作用,并可能作为潜在的治疗靶点。

https://cdn.ncbi.nlm.nih.gov/pmc/blobs/d773/8366447/1037a6eb0ae7/JCMM-25-5976-g005.jpg
https://cdn.ncbi.nlm.nih.gov/pmc/blobs/d773/8366447/f943f70966b0/JCMM-25-5976-g002.jpg
https://cdn.ncbi.nlm.nih.gov/pmc/blobs/d773/8366447/8feff1b0ea9d/JCMM-25-5976-g003.jpg
https://cdn.ncbi.nlm.nih.gov/pmc/blobs/d773/8366447/89181af9d982/JCMM-25-5976-g004.jpg
https://cdn.ncbi.nlm.nih.gov/pmc/blobs/d773/8366447/2991512656f5/JCMM-25-5976-g001.jpg
https://cdn.ncbi.nlm.nih.gov/pmc/blobs/d773/8366447/7a5b181e0c32/JCMM-25-5976-g006.jpg
https://cdn.ncbi.nlm.nih.gov/pmc/blobs/d773/8366447/1037a6eb0ae7/JCMM-25-5976-g005.jpg
https://cdn.ncbi.nlm.nih.gov/pmc/blobs/d773/8366447/f943f70966b0/JCMM-25-5976-g002.jpg
https://cdn.ncbi.nlm.nih.gov/pmc/blobs/d773/8366447/8feff1b0ea9d/JCMM-25-5976-g003.jpg
https://cdn.ncbi.nlm.nih.gov/pmc/blobs/d773/8366447/89181af9d982/JCMM-25-5976-g004.jpg
https://cdn.ncbi.nlm.nih.gov/pmc/blobs/d773/8366447/2991512656f5/JCMM-25-5976-g001.jpg
https://cdn.ncbi.nlm.nih.gov/pmc/blobs/d773/8366447/7a5b181e0c32/JCMM-25-5976-g006.jpg
https://cdn.ncbi.nlm.nih.gov/pmc/blobs/d773/8366447/1037a6eb0ae7/JCMM-25-5976-g005.jpg

相似文献

1
NT5DC2 promotes leiomyosarcoma tumour cell growth via stabilizing unpalmitoylated TEAD4 and generating a positive feedback loop.NT5DC2通过稳定未棕榈酰化的TEAD4并形成正反馈回路来促进平滑肌肉瘤肿瘤细胞的生长。
J Cell Mol Med. 2021 Jul;25(13):5976-5987. doi: 10.1111/jcmm.16409. Epub 2021 May 16.
2
KIF15 upregulation promotes leiomyosarcoma cell growth via promoting USP15-mediated DEK deubiquitylation.KIF15上调通过促进USP15介导的DEK去泛素化来促进平滑肌肉瘤细胞生长。
Biochem Biophys Res Commun. 2021 Sep 17;570:117-124. doi: 10.1016/j.bbrc.2021.07.042. Epub 2021 Jul 16.
3
NT5DC2 promotes tumor cell proliferation by stabilizing EGFR in hepatocellular carcinoma.NT5DC2 通过稳定肝癌中的 EGFR 促进肿瘤细胞增殖。
Cell Death Dis. 2020 May 7;11(5):335. doi: 10.1038/s41419-020-2549-2.
4
PLA2G10 facilitates the cell-cycle progression of soft tissue leiomyosarcoma cells at least by elevating cyclin E1/CDK2 expression.PLA2G10 通过提高细胞周期蛋白 E1/CDK2 的表达促进软组织平滑肌肉瘤细胞的细胞周期进程。
Biochem Biophys Res Commun. 2020 Jun 25;527(2):525-531. doi: 10.1016/j.bbrc.2020.04.043. Epub 2020 May 15.
5
Decreased RNA‑binding protein IGF2BP2 downregulates NT5DC2, which suppresses cell proliferation, and induces cell cycle arrest and apoptosis in diffuse large B‑cell lymphoma cells by regulating the p53 signaling pathway.RNA 结合蛋白 IGF2BP2 的减少下调 NT5DC2,后者通过调节 p53 信号通路抑制弥漫性大 B 细胞淋巴瘤细胞的增殖,并诱导细胞周期停滞和细胞凋亡。
Mol Med Rep. 2022 Sep;26(3). doi: 10.3892/mmr.2022.12802. Epub 2022 Jul 27.
6
NT5DC2 knockdown inhibits colorectal carcinoma progression by repressing metastasis, angiogenesis and tumor-associated macrophage recruitment: A mechanism involving VEGF signaling.NT5DC2基因敲低通过抑制转移、血管生成和肿瘤相关巨噬细胞募集来抑制结直肠癌进展:一种涉及VEGF信号传导的机制
Exp Cell Res. 2020 Dec 1;397(1):112311. doi: 10.1016/j.yexcr.2020.112311. Epub 2020 Sep 28.
7
Metformin targets a YAP1-TEAD4 complex via AMPKα to regulate CCNE1/2 in bladder cancer cells.二甲双胍通过 AMPKα 靶向 YAP1-TEAD4 复合物来调节膀胱癌细胞中的 CCNE1/2。
J Exp Clin Cancer Res. 2019 Aug 27;38(1):376. doi: 10.1186/s13046-019-1346-1.
8
NT5DC2 suppression restrains progression towards metastasis of non-small-cell lung cancer through regulation p53 signaling.NT5DC2 抑制通过调节 p53 信号抑制非小细胞肺癌的转移进展。
Biochem Biophys Res Commun. 2020 Dec 10;533(3):354-361. doi: 10.1016/j.bbrc.2020.06.139. Epub 2020 Sep 19.
9
Low NT5DC2 expression predicts favorable prognosis and suppresses soft tissue sarcoma progression via ECM-receptor interaction pathway.低NT5DC2表达预示着良好的预后,并通过细胞外基质-受体相互作用途径抑制软组织肉瘤的进展。
Transl Oncol. 2024 Jun;44:101937. doi: 10.1016/j.tranon.2024.101937. Epub 2024 Mar 27.
10
is a novel prognostic marker in human hepatocellular carcinoma.是人类肝细胞癌中的一种新型预后标志物。
Oncol Lett. 2020 Oct;20(4):70. doi: 10.3892/ol.2020.11931. Epub 2020 Jul 29.

引用本文的文献

1
Targeting DDX3X eliminates leukemia stem cells in chronic myeloid leukemia by blocking NT5DC2 mRNA translation.靶向DDX3X可通过阻断NT5DC2 mRNA翻译消除慢性髓性白血病中的白血病干细胞。
Oncogene. 2025 Feb;44(4):241-254. doi: 10.1038/s41388-024-03215-w. Epub 2024 Nov 8.
2
The NT5DC family: expression profile and prognostic value in pancreatic adenocarcinoma.NT5DC家族:在胰腺腺癌中的表达谱及预后价值
J Cancer. 2023 Jul 16;14(12):2274-2288. doi: 10.7150/jca.85811. eCollection 2023.
3
Transcriptome and proteome profiling of activated cardiac fibroblasts supports target prioritization in cardiac fibrosis.
活化心脏成纤维细胞的转录组和蛋白质组分析有助于确定心脏纤维化的优先治疗靶点。
Front Cardiovasc Med. 2022 Dec 1;9:1015473. doi: 10.3389/fcvm.2022.1015473. eCollection 2022.
4
Characteristic of Concurrent Uterine Lipoleiomyoma and Hemangioma by Algorithm of Candidate Biomarkers for Uterine Mesenchymal Tumor.子宫间叶肿瘤候选生物标志物算法对子宫脂肪平滑肌瘤和血管瘤并存情况的特征分析
Diagnostics (Basel). 2022 Oct 12;12(10):2468. doi: 10.3390/diagnostics12102468.
5
Decreased RNA‑binding protein IGF2BP2 downregulates NT5DC2, which suppresses cell proliferation, and induces cell cycle arrest and apoptosis in diffuse large B‑cell lymphoma cells by regulating the p53 signaling pathway.RNA 结合蛋白 IGF2BP2 的减少下调 NT5DC2,后者通过调节 p53 信号通路抑制弥漫性大 B 细胞淋巴瘤细胞的增殖,并诱导细胞周期停滞和细胞凋亡。
Mol Med Rep. 2022 Sep;26(3). doi: 10.3892/mmr.2022.12802. Epub 2022 Jul 27.
6
Characteristic of Uterine Rhabdomyosarcoma by Algorithm of Potential Biomarkers for Uterine Mesenchymal Tumor.算法对子宫间叶性肿瘤的潜在生物标志物的特征分析:子宫平滑肌肉瘤。
Curr Oncol. 2022 Mar 28;29(4):2350-2363. doi: 10.3390/curroncol29040190.
7
High Expression of NT5DC2 Is a Negative Prognostic Marker in Pulmonary Adenocarcinoma.NT5DC2高表达是肺腺癌的不良预后标志物。
Cancers (Basel). 2022 Mar 9;14(6):1395. doi: 10.3390/cancers14061395.
8
Comprehensive Analysis of Prognostic Value and Immune Infiltration of the NT5DC Family in Hepatocellular Carcinoma.NT5DC家族在肝细胞癌中的预后价值及免疫浸润的综合分析
J Oncol. 2022 Jan 10;2022:2607878. doi: 10.1155/2022/2607878. eCollection 2022.
9
A novel immune-related gene signature predicting survival in sarcoma patients.一种预测肉瘤患者生存情况的新型免疫相关基因特征。
Mol Ther Oncolytics. 2021 Dec 9;24:114-126. doi: 10.1016/j.omto.2021.12.007. eCollection 2022 Mar 17.