• 文献检索
  • 文档翻译
  • 深度研究
  • 学术资讯
  • Suppr Zotero 插件Zotero 插件
  • 邀请有礼
  • 套餐&价格
  • 历史记录
应用&插件
Suppr Zotero 插件Zotero 插件浏览器插件Mac 客户端Windows 客户端微信小程序
定价
高级版会员购买积分包购买API积分包
服务
文献检索文档翻译深度研究API 文档MCP 服务
关于我们
关于 Suppr公司介绍联系我们用户协议隐私条款
关注我们

Suppr 超能文献

核心技术专利:CN118964589B侵权必究
粤ICP备2023148730 号-1Suppr @ 2026

文献检索

告别复杂PubMed语法,用中文像聊天一样搜索,搜遍4000万医学文献。AI智能推荐,让科研检索更轻松。

立即免费搜索

文件翻译

保留排版,准确专业,支持PDF/Word/PPT等文件格式,支持 12+语言互译。

免费翻译文档

深度研究

AI帮你快速写综述,25分钟生成高质量综述,智能提取关键信息,辅助科研写作。

立即免费体验

阿匹利莫德改变转化生长因子β信号通路并预防心脏纤维化重塑。

Apilimod alters TGFβ signaling pathway and prevents cardiac fibrotic remodeling.

作者信息

Cinato Mathieu, Guitou Laurie, Saidi Amira, Timotin Andrei, Sperazza Erwan, Duparc Thibaut, Zolov Sergey N, Giridharan Sai Srinivas Panapakkam, Weisman Lois S, Martinez Laurent O, Roncalli Jerome, Kunduzova Oksana, Tronchere Helene, Boal Frederic

机构信息

INSERM U1297 I2MC, Toulouse, France and Université Paul Sabatier, Toulouse, France.

Life Sciences Institute, University of Michigan, Ann Arbor, USA.

出版信息

Theranostics. 2021 Apr 19;11(13):6491-6506. doi: 10.7150/thno.55821. eCollection 2021.

DOI:10.7150/thno.55821
PMID:33995670
原文链接:https://pmc.ncbi.nlm.nih.gov/articles/PMC8120213/
Abstract

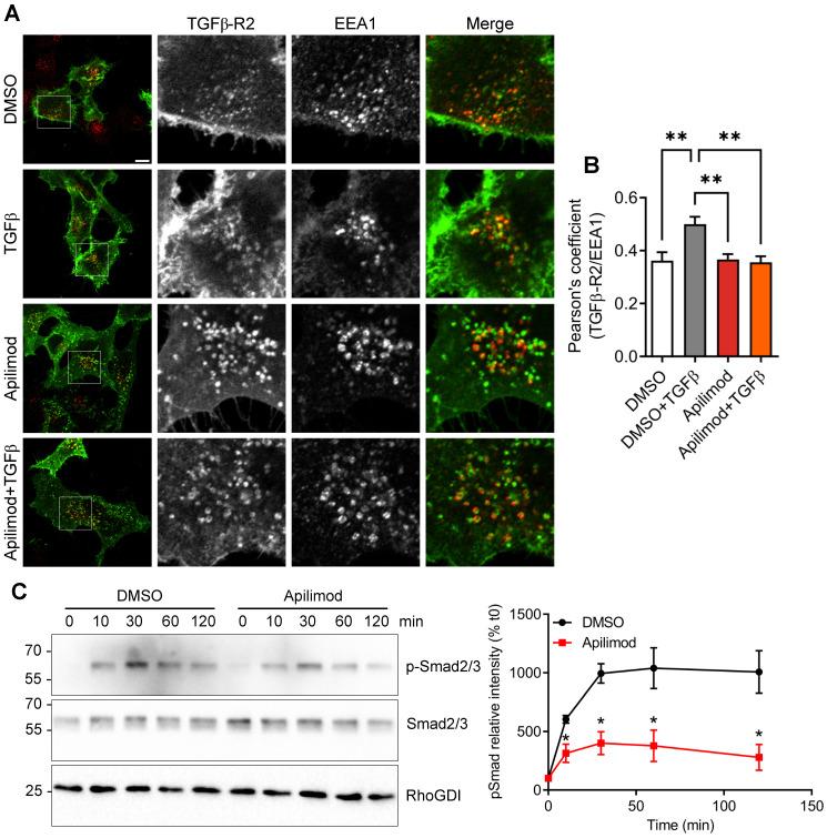
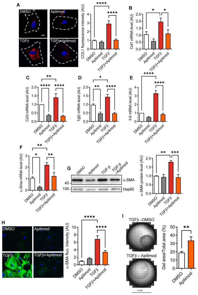
TGFβ signaling pathway controls tissue fibrotic remodeling, a hallmark in many diseases leading to organ injury and failure. In this study, we address the role of Apilimod, a pharmacological inhibitor of the lipid kinase PIKfyve, in the regulation of cardiac pathological fibrotic remodeling and TGFβ signaling pathway. The effects of Apilimod treatment on myocardial fibrosis, hypertrophy and cardiac function were assessed in a mouse model of pressure overload-induced heart failure. Primary cardiac fibroblasts and HeLa cells treated with Apilimod as well as genetic mutation of PIKfyve in mouse embryonic fibroblasts were used as cell models. When administered , Apilimod reduced myocardial interstitial fibrosis development and prevented left ventricular dysfunction. , Apilimod controlled TGFβ-dependent activation of primary murine cardiac fibroblasts. Mechanistically, both Apilimod and genetic mutation of PIKfyve induced TGFβ receptor blockade in intracellular vesicles, negatively modulating its downstream signaling pathway and ultimately dampening TGFβ response. Altogether, our findings propose a novel function for PIKfyve in the control of myocardial fibrotic remodeling and the TGFβ signaling pathway, therefore opening the way to new therapeutic perspectives to prevent adverse fibrotic remodeling using Apilimod treatment.

摘要

转化生长因子β(TGFβ)信号通路控制组织纤维化重塑,这是许多导致器官损伤和衰竭的疾病的一个标志。在本研究中,我们探讨了脂质激酶PIKfyve的药理抑制剂阿匹利莫德在调节心脏病理性纤维化重塑和TGFβ信号通路中的作用。在压力超负荷诱导的心力衰竭小鼠模型中评估了阿匹利莫德治疗对心肌纤维化、肥大和心脏功能的影响。将用阿匹利莫德处理的原代心脏成纤维细胞和HeLa细胞以及小鼠胚胎成纤维细胞中PIKfyve的基因突变用作细胞模型。给药后,阿匹利莫德减少了心肌间质纤维化的发展并预防了左心室功能障碍。此外,阿匹利莫德控制了原代小鼠心脏成纤维细胞的TGFβ依赖性激活。从机制上讲,阿匹利莫德和PIKfyve的基因突变均诱导细胞内囊泡中的TGFβ受体阻滞,对其下游信号通路产生负调节作用,并最终减弱TGFβ反应。总之,我们的研究结果提出了PIKfyve在控制心肌纤维化重塑和TGFβ信号通路中的新功能,因此为使用阿匹利莫德治疗预防不良纤维化重塑开辟了新的治疗前景。

https://cdn.ncbi.nlm.nih.gov/pmc/blobs/b080/8120213/dd7ee3b90949/thnov11p6491g008.jpg
https://cdn.ncbi.nlm.nih.gov/pmc/blobs/b080/8120213/88a718ecfc66/thnov11p6491g001.jpg
https://cdn.ncbi.nlm.nih.gov/pmc/blobs/b080/8120213/a7503f04e3ec/thnov11p6491g002.jpg
https://cdn.ncbi.nlm.nih.gov/pmc/blobs/b080/8120213/e72e78a19979/thnov11p6491g003.jpg
https://cdn.ncbi.nlm.nih.gov/pmc/blobs/b080/8120213/e69b68d5caa4/thnov11p6491g004.jpg
https://cdn.ncbi.nlm.nih.gov/pmc/blobs/b080/8120213/7e742f0c2075/thnov11p6491g005.jpg
https://cdn.ncbi.nlm.nih.gov/pmc/blobs/b080/8120213/3be2b449e3ae/thnov11p6491g006.jpg
https://cdn.ncbi.nlm.nih.gov/pmc/blobs/b080/8120213/3a675415198e/thnov11p6491g007.jpg
https://cdn.ncbi.nlm.nih.gov/pmc/blobs/b080/8120213/dd7ee3b90949/thnov11p6491g008.jpg
https://cdn.ncbi.nlm.nih.gov/pmc/blobs/b080/8120213/88a718ecfc66/thnov11p6491g001.jpg
https://cdn.ncbi.nlm.nih.gov/pmc/blobs/b080/8120213/a7503f04e3ec/thnov11p6491g002.jpg
https://cdn.ncbi.nlm.nih.gov/pmc/blobs/b080/8120213/e72e78a19979/thnov11p6491g003.jpg
https://cdn.ncbi.nlm.nih.gov/pmc/blobs/b080/8120213/e69b68d5caa4/thnov11p6491g004.jpg
https://cdn.ncbi.nlm.nih.gov/pmc/blobs/b080/8120213/7e742f0c2075/thnov11p6491g005.jpg
https://cdn.ncbi.nlm.nih.gov/pmc/blobs/b080/8120213/3be2b449e3ae/thnov11p6491g006.jpg
https://cdn.ncbi.nlm.nih.gov/pmc/blobs/b080/8120213/3a675415198e/thnov11p6491g007.jpg
https://cdn.ncbi.nlm.nih.gov/pmc/blobs/b080/8120213/dd7ee3b90949/thnov11p6491g008.jpg

相似文献

1
Apilimod alters TGFβ signaling pathway and prevents cardiac fibrotic remodeling.阿匹利莫德改变转化生长因子β信号通路并预防心脏纤维化重塑。
Theranostics. 2021 Apr 19;11(13):6491-6506. doi: 10.7150/thno.55821. eCollection 2021.
2
Cortical bone stem cell-derived exosomes' therapeutic effect on myocardial ischemia-reperfusion and cardiac remodeling.皮质骨干细胞衍生的外泌体对心肌缺血再灌注和心脏重构的治疗作用。
Am J Physiol Heart Circ Physiol. 2021 Dec 1;321(6):H1014-H1029. doi: 10.1152/ajpheart.00197.2021. Epub 2021 Oct 8.
3
The PIKfyve Inhibitor Apilimod: A Double-Edged Sword against COVID-19.PIKfyve 抑制剂阿皮利莫德:抗击 COVID-19 的双刃剑。
Cells. 2020 Dec 27;10(1):30. doi: 10.3390/cells10010030.
4
Attenuated development of cardiac fibrosis in left ventricular pressure overload by SM16, an orally active inhibitor of ALK5.SM16(一种ALK5口服活性抑制剂)减轻左心室压力超负荷时心脏纤维化的进展。
J Mol Cell Cardiol. 2014 Nov;76:148-57. doi: 10.1016/j.yjmcc.2014.08.008. Epub 2014 Aug 26.
5
Mitoquinone ameliorates pressure overload-induced cardiac fibrosis and left ventricular dysfunction in mice.甲萘醌可改善小鼠心脏压力超负荷诱导的心肌纤维化和左心室功能障碍。
Redox Biol. 2019 Feb;21:101100. doi: 10.1016/j.redox.2019.101100. Epub 2019 Jan 8.
6
Collaborative Regulation of LRG1 by TGF-β1 and PPAR-β/δ Modulates Chronic Pressure Overload-Induced Cardiac Fibrosis.LRG1 通过 TGF-β1 和 PPAR-β/δ 的协同调控调节慢性压力超负荷诱导的心脏纤维化。
Circ Heart Fail. 2019 Dec;12(12):e005962. doi: 10.1161/CIRCHEARTFAILURE.119.005962. Epub 2019 Dec 13.
7
Dapagliflozin: a sodium-glucose cotransporter 2 inhibitor, attenuates angiotensin II-induced cardiac fibrotic remodeling by regulating TGFβ1/Smad signaling.达格列净:钠-葡萄糖共转运蛋白 2 抑制剂,通过调节 TGFβ1/Smad 信号通路减轻血管紧张素 II 诱导的心肌成纤维细胞重塑。
Cardiovasc Diabetol. 2021 Jun 11;20(1):121. doi: 10.1186/s12933-021-01312-8.
8
Identification of apilimod as a first-in-class PIKfyve kinase inhibitor for treatment of B-cell non-Hodgkin lymphoma.阿匹利莫德作为首个用于治疗B细胞非霍奇金淋巴瘤的PIKfyve激酶抑制剂的鉴定。
Blood. 2017 Mar 30;129(13):1768-1778. doi: 10.1182/blood-2016-09-736892. Epub 2017 Jan 19.
9
HMGCoA reductase inhibition reverses myocardial fibrosis and diastolic dysfunction through AMP-activated protein kinase activation in a mouse model of metabolic syndrome.羟甲基戊二酰辅酶 A 还原酶抑制通过激活代谢综合征小鼠模型中的 AMP 激活的蛋白激酶逆转心肌纤维化和舒张功能障碍。
Cardiovasc Res. 2013 Jul 1;99(1):44-54. doi: 10.1093/cvr/cvt070. Epub 2013 Mar 29.
10
Apilimod, a candidate anticancer therapeutic, arrests not only PtdIns(3,5)P2 but also PtdIns5P synthesis by PIKfyve and induces bafilomycin A1-reversible aberrant endomembrane dilation.阿泊利莫德,一种候选抗癌治疗药物,不仅能抑制 PIKfyve 介导的 PtdIns(3,5)P2 的合成,还能抑制 PtdIns5P 的合成,并诱导巴弗洛霉素 A1 逆转的异常内膜扩张。
PLoS One. 2018 Sep 21;13(9):e0204532. doi: 10.1371/journal.pone.0204532. eCollection 2018.

引用本文的文献

1
Conditioned Medium from Human Amniotic Membrane-Derived Mesenchymal Stem Cells Modulates Inflammatory and Myofibrotic Factors in Vivo.人羊膜间充质干细胞条件培养基在体内调节炎症和肌成纤维细胞因子
J Tehran Heart Cent. 2024 Jul;19(3):198-205.
2
Integrative analysis based on CRISPR screen identifies apilimod as a potential therapeutic agent for cisplatin-induced acute kidney injury treatment.基于CRISPR筛选的综合分析确定阿哌利莫德是顺铂诱导的急性肾损伤治疗的潜在治疗剂。
Sci China Life Sci. 2025 Mar 21. doi: 10.1007/s11427-025-2874-8.
3
Development of a Second-Generation, Chemical Probe for PIKfyve.

本文引用的文献

1
Activation of Fibroblast Contractility via Cell-Cell Interactions and Soluble Signals.通过细胞间相互作用和可溶性信号激活成纤维细胞收缩性
Bio Protoc. 2018 Sep 20;8(18):e3021. doi: 10.21769/BioProtoc.3021.
2
Discovery of SARS-CoV-2 antiviral drugs through large-scale compound repurposing.通过大规模化合物重新利用发现抗 SARS-CoV-2 病毒药物。
Nature. 2020 Oct;586(7827):113-119. doi: 10.1038/s41586-020-2577-1. Epub 2020 Jul 24.
3
Characterization of spike glycoprotein of SARS-CoV-2 on virus entry and its immune cross-reactivity with SARS-CoV.
第二代PIKfyve化学探针的研发
J Med Chem. 2025 Feb 13;68(3):3282-3308. doi: 10.1021/acs.jmedchem.4c02531. Epub 2025 Jan 22.
4
Hydrogel-based cardiac patches for myocardial infarction therapy: Recent advances and challenges.用于心肌梗死治疗的水凝胶基心脏贴片:最新进展与挑战
Mater Today Bio. 2024 Nov 7;29:101331. doi: 10.1016/j.mtbio.2024.101331. eCollection 2024 Dec.
5
Roles of PIKfyve in multiple cellular pathways.PIKfyve 在多种细胞途径中的作用。
Curr Opin Cell Biol. 2022 Jun;76:102086. doi: 10.1016/j.ceb.2022.102086. Epub 2022 May 16.
6
Galanin Regulates Myocardial Mitochondrial ROS Homeostasis and Hypertrophic Remodeling Through GalR2.甘丙肽通过甘丙肽受体2调节心肌线粒体活性氧稳态和肥厚性重塑。
Front Pharmacol. 2022 Mar 31;13:869179. doi: 10.3389/fphar.2022.869179. eCollection 2022.
7
Lipid kinases VPS34 and PIKfyve coordinate a phosphoinositide cascade to regulate retriever-mediated recycling on endosomes.脂质激酶 VPS34 和 PIKfyve 协调磷酸肌醇级联反应,调节内体上的再循环。
Elife. 2022 Jan 18;11:e69709. doi: 10.7554/eLife.69709.
SARS-CoV-2 刺突糖蛋白的特征及其对病毒进入的影响,以及与 SARS-CoV 的免疫交叉反应性。
Nat Commun. 2020 Mar 27;11(1):1620. doi: 10.1038/s41467-020-15562-9.
4
Small molecule PIKfyve inhibitors as cancer therapeutics: Translational promises and limitations.小分子 PIKfyve 抑制剂作为癌症治疗药物:转化的前景和局限性。
Toxicol Appl Pharmacol. 2019 Nov 15;383:114771. doi: 10.1016/j.taap.2019.114771. Epub 2019 Oct 16.
5
PIKfyve/Fab1 is required for efficient V-ATPase and hydrolase delivery to phagosomes, phagosomal killing, and restriction of Legionella infection.PIKfyve/Fab1 对于 V-ATPase 和水解酶向吞噬体的有效输送、吞噬体杀伤以及军团菌感染的限制是必需的。
PLoS Pathog. 2019 Feb 7;15(2):e1007551. doi: 10.1371/journal.ppat.1007551. eCollection 2019 Feb.
6
TGF-β receptors: In and beyond TGF-β signaling.TGF-β 受体:TGF-β 信号转导内外。
Cell Signal. 2018 Dec;52:112-120. doi: 10.1016/j.cellsig.2018.09.002. Epub 2018 Sep 7.
7
New insights into TGF-β/Smad signaling in tissue fibrosis.组织纤维化中 TGF-β/Smad 信号通路的新见解。
Chem Biol Interact. 2018 Aug 25;292:76-83. doi: 10.1016/j.cbi.2018.07.008. Epub 2018 Jul 11.
8
Organ and tissue fibrosis: Molecular signals, cellular mechanisms and translational implications.器官和组织纤维化:分子信号、细胞机制及转化意义。
Mol Aspects Med. 2019 Feb;65:2-15. doi: 10.1016/j.mam.2018.06.003. Epub 2018 Jun 30.
9
Myocardial Interstitial Fibrosis in Heart Failure: Biological and Translational Perspectives.心力衰竭中心肌间质纤维化:生物学和转化视角。
J Am Coll Cardiol. 2018 Apr 17;71(15):1696-1706. doi: 10.1016/j.jacc.2018.02.021.
10
Experimental design and analysis and their reporting II: updated and simplified guidance for authors and peer reviewers.实验设计与分析及其报告(二):给作者和同行评审者的更新且简化的指南
Br J Pharmacol. 2018 Apr;175(7):987-993. doi: 10.1111/bph.14153.