Suppr超能文献

儿童肘内翻畸形的外侧弯曲截骨术:病例报告及文献综述

The lateral curved osteotomy for cubitus varus deformity in children: A case report and literature review.

作者信息

Solichin Iman, Sandjaya Gede, Prabowo Ido, Dwi Putra Nurmansyah Hata, Rhatomy Sholahuddin

机构信息

Orthopaedic Hospital Purwokerto, Network Hospital of Department Orthopaedics and Traumatology, Cipto Mangunkusumo General Hospital, Indonesia.

Soedarso Hospital Pontianak, Network Hospital of Department Orthopaedics and Traumatology, Cipto Mangunkusumo General Hospital, Indonesia.

出版信息

Ann Med Surg (Lond). 2021 Apr 19;65:102315. doi: 10.1016/j.amsu.2021.102315. eCollection 2021 May.

Abstract

INTRODUCTION

Cubitus varus deformity after malunited supracondylar humerus fracture has various surgical techniques, implant configurations, and approaches. We describe a combination of French and Dome osteotomy and novel internal fixation technique to deliver an easy, safe, fast and reproducible result based on the current best evidence.

PRESENTATION OF CASE

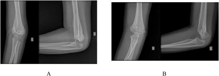
Two cases of malunited supracondylar humerus are described. The first case involves a 3-year-old girl who presented with outstretched and supinated left arm after falling during bike riding 3 weeks earlier. We found no abnormality in radial and median nerve function, but the left arm radiographs showed a callus formation and the early stages of a malunited fracture of the supracondylar humerus. We waited two months for further radiographic evaluation and the radiographs showed the malunited supracondylar humerus with elbow flexion of only 105° and elbow hyperextension of 20°. The cubitus varus was recorded with clinical carrying angle of varus 10°. We used a combination of original French and Dome osteotomy, lateral approach, and our novel fixation technique with excellent results. The second case involved a 8-year-old boy with malunited right elbow and the surgery was done in the same manner, with the result of restoration to normal elbow range of motion. We also assessed the pain score and disabilities of the arm, shoulder and hand (DASH) score and recorded satisfactory results.

CONCLUSIONS

The combination of French and Dome osteotomy for treatment of cubitus varus deformity can provide an easy, safe, and reproducible result.

摘要

引言

肱骨髁上骨折畸形愈合后的肘内翻畸形有多种手术技术、植入物配置和手术入路。我们基于当前最佳证据描述了一种法国截骨术和圆顶截骨术相结合的方法以及新颖的内固定技术,以实现简便、安全、快速且可重复的治疗效果。

病例介绍

描述了两例肱骨髁上骨折畸形愈合的病例。第一例是一名3岁女孩,3周前骑自行车摔倒后出现左上肢伸直旋后位。我们发现桡神经和正中神经功能无异常,但左上肢X线片显示有骨痂形成以及肱骨髁上骨折畸形愈合的早期阶段。我们等待了两个月进行进一步的影像学评估,X线片显示肱骨髁上骨折畸形愈合,肘关节仅能屈曲105°,过伸20°。记录肘内翻时的临床携物角为内翻10°。我们采用了原创的法国截骨术和圆顶截骨术相结合、外侧入路以及我们新颖的固定技术,取得了优异的效果。第二例是一名8岁男孩,右肘畸形愈合,手术方式相同,结果恢复了正常的肘关节活动范围。我们还评估了疼痛评分以及上肢、肩部和手部功能障碍(DASH)评分,结果令人满意。

结论

法国截骨术和圆顶截骨术相结合治疗肘内翻畸形可提供简便、安全且可重复的治疗效果。

https://cdn.ncbi.nlm.nih.gov/pmc/blobs/1f11/8091879/cbec65acfa72/gr1.jpg

文献AI研究员

20分钟写一篇综述,助力文献阅读效率提升50倍。

立即体验

用中文搜PubMed

大模型驱动的PubMed中文搜索引擎

马上搜索

文档翻译

学术文献翻译模型,支持多种主流文档格式。

立即体验