• 文献检索
  • 文档翻译
  • 深度研究
  • 学术资讯
  • Suppr Zotero 插件Zotero 插件
  • 邀请有礼
  • 套餐&价格
  • 历史记录
应用&插件
Suppr Zotero 插件Zotero 插件浏览器插件Mac 客户端Windows 客户端微信小程序
定价
高级版会员购买积分包购买API积分包
服务
文献检索文档翻译深度研究API 文档MCP 服务
关于我们
关于 Suppr公司介绍联系我们用户协议隐私条款
关注我们

Suppr 超能文献

核心技术专利:CN118964589B侵权必究
粤ICP备2023148730 号-1Suppr @ 2026

文献检索

告别复杂PubMed语法,用中文像聊天一样搜索,搜遍4000万医学文献。AI智能推荐,让科研检索更轻松。

立即免费搜索

文件翻译

保留排版,准确专业,支持PDF/Word/PPT等文件格式,支持 12+语言互译。

免费翻译文档

深度研究

AI帮你快速写综述,25分钟生成高质量综述,智能提取关键信息,辅助科研写作。

立即免费体验

加权基因共表达网络分析和实验验证表明 EHHADH 表达增加预示着骨肉瘤患者的生存预后不良。

Increased EHHADH Expression Predicting Poor Survival of Osteosarcoma by Integrating Weighted Gene Coexpression Network Analysis and Experimental Validation.

机构信息

Department of Orthopedic Surgery, The First Affiliated Hospital of University of South China, 69 Chuanshan Road, Hengyang, Hunan 421001, China.

Department of Orthopaedics, The First Affiliated Hospital, Guangzhou Medical University/Guangdong key Laboratory of Orthopaedic Technology and Implant Materials, Guangzhou 510120, China.

出版信息

Biomed Res Int. 2021 May 3;2021:9917060. doi: 10.1155/2021/9917060. eCollection 2021.

DOI:10.1155/2021/9917060
PMID:33997049
原文链接:https://pmc.ncbi.nlm.nih.gov/articles/PMC8112926/
Abstract

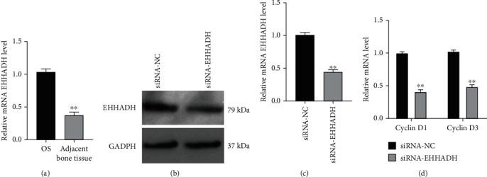
Enoyl-CoA hydratase and 3-hydroxyacyl CoA dehydrogenase (EHHADH), a member of the 3-hydroxyacyl-CoA dehydrogenase family, were previously demonstrated to be involved in the tumorigenesis of various cancer types. This study is aimed at determining of the diagnostic and prognostic value of EHHADH in osteosarcoma (OS). The overexpression of EHHADH was found both in OS and also other sarcoma types, and according to the retrospective cohort study, the EHHADH level was related to the overall survival and disease-free survival of the OS patients. Furthermore, knockdown of EHHADH under the influence of EHHADH small interfering RNA significantly suppressed the proliferation ability of the tumor cells. Moreover, EHHADH overexpressed was found in human OS tissues. In summary, the progression of OS could be enhanced by EHHADH, which may be a potential diagnostic and prognostic biomarker for OS patients.

摘要

烯酰辅酶 A 水合酶和 3-羟酰基辅酶 A 脱氢酶(EHHADH)是 3-羟酰基辅酶 A 脱氢酶家族的成员,先前已被证明参与了多种癌症类型的肿瘤发生。本研究旨在确定 EHHADH 在骨肉瘤(OS)中的诊断和预后价值。在 OS 和其他肉瘤类型中均发现 EHHADH 的过表达,并且根据回顾性队列研究,EHHADH 水平与 OS 患者的总生存率和无病生存率相关。此外,在 EHHADH 小干扰 RNA 的影响下,EHHADH 的敲低显着抑制了肿瘤细胞的增殖能力。此外,在人骨肉瘤组织中发现 EHHADH 过表达。总之,EHHADH 可增强 OS 的进展,可能是 OS 患者的潜在诊断和预后生物标志物。

https://cdn.ncbi.nlm.nih.gov/pmc/blobs/2031/8112926/60e3a83fa106/BMRI2021-9917060.008.jpg
https://cdn.ncbi.nlm.nih.gov/pmc/blobs/2031/8112926/6aa5963f82a6/BMRI2021-9917060.001.jpg
https://cdn.ncbi.nlm.nih.gov/pmc/blobs/2031/8112926/bd8f04e1efe2/BMRI2021-9917060.002.jpg
https://cdn.ncbi.nlm.nih.gov/pmc/blobs/2031/8112926/104788e8e407/BMRI2021-9917060.003.jpg
https://cdn.ncbi.nlm.nih.gov/pmc/blobs/2031/8112926/8fc7d68a861a/BMRI2021-9917060.004.jpg
https://cdn.ncbi.nlm.nih.gov/pmc/blobs/2031/8112926/5a468d32f732/BMRI2021-9917060.005.jpg
https://cdn.ncbi.nlm.nih.gov/pmc/blobs/2031/8112926/f687716815fd/BMRI2021-9917060.006.jpg
https://cdn.ncbi.nlm.nih.gov/pmc/blobs/2031/8112926/d3b4105475a7/BMRI2021-9917060.007.jpg
https://cdn.ncbi.nlm.nih.gov/pmc/blobs/2031/8112926/60e3a83fa106/BMRI2021-9917060.008.jpg
https://cdn.ncbi.nlm.nih.gov/pmc/blobs/2031/8112926/6aa5963f82a6/BMRI2021-9917060.001.jpg
https://cdn.ncbi.nlm.nih.gov/pmc/blobs/2031/8112926/bd8f04e1efe2/BMRI2021-9917060.002.jpg
https://cdn.ncbi.nlm.nih.gov/pmc/blobs/2031/8112926/104788e8e407/BMRI2021-9917060.003.jpg
https://cdn.ncbi.nlm.nih.gov/pmc/blobs/2031/8112926/8fc7d68a861a/BMRI2021-9917060.004.jpg
https://cdn.ncbi.nlm.nih.gov/pmc/blobs/2031/8112926/5a468d32f732/BMRI2021-9917060.005.jpg
https://cdn.ncbi.nlm.nih.gov/pmc/blobs/2031/8112926/f687716815fd/BMRI2021-9917060.006.jpg
https://cdn.ncbi.nlm.nih.gov/pmc/blobs/2031/8112926/d3b4105475a7/BMRI2021-9917060.007.jpg
https://cdn.ncbi.nlm.nih.gov/pmc/blobs/2031/8112926/60e3a83fa106/BMRI2021-9917060.008.jpg

相似文献

1
Increased EHHADH Expression Predicting Poor Survival of Osteosarcoma by Integrating Weighted Gene Coexpression Network Analysis and Experimental Validation.加权基因共表达网络分析和实验验证表明 EHHADH 表达增加预示着骨肉瘤患者的生存预后不良。
Biomed Res Int. 2021 May 3;2021:9917060. doi: 10.1155/2021/9917060. eCollection 2021.
2
Enoyl-CoA hydratase/3-hydroxyacyl CoA dehydrogenase is essential for the production of DHA in zebrafish.烯酰辅酶 A 水合酶/3-羟酰基辅酶 A 脱氢酶对于斑马鱼 DHA 的产生是必不可少的。
J Lipid Res. 2023 Mar;64(3):100326. doi: 10.1016/j.jlr.2022.100326. Epub 2022 Dec 31.
3
EHHADH contributes to cisplatin resistance through regulation by tumor-suppressive microRNAs in bladder cancer.EHHADH 通过肿瘤抑制性 microRNAs 的调控作用导致膀胱癌对顺铂耐药。
BMC Cancer. 2021 Jan 11;21(1):48. doi: 10.1186/s12885-020-07717-0.
4
[EHHADH is a key gene in fatty acid metabolism pathways in hepatocellular carcinoma: a transcriptomic analysis].[EHHADH是肝细胞癌脂肪酸代谢途径中的关键基因:一项转录组分析]
Nan Fang Yi Ke Da Xue Xue Bao. 2023 May 20;43(5):680-693. doi: 10.12122/j.issn.1673-4254.2023.05.02.
5
VHL-dependence of EHHADH Expression in a Human Renal Cell Carcinoma Cell Line.人肾癌细胞系中EHHADH表达对VHL的依赖性
J Kidney Cancer VHL. 2024 Jan 29;11(1):12-18. doi: 10.15586/jkcvhl.v11i1.322. eCollection 2024.
6
Acquired deficiency of peroxisomal dicarboxylic acid catabolism is a metabolic vulnerability in hepatoblastoma.获得性过氧化物酶体二羧酸分解代谢缺陷是肝母细胞瘤的一种代谢脆弱性。
J Biol Chem. 2021 Jan-Jun;296:100283. doi: 10.1016/j.jbc.2021.100283. Epub 2021 Jan 13.
7
Peroxisomal L-bifunctional enzyme (Ehhadh) is essential for the production of medium-chain dicarboxylic acids.过氧化物酶体 L-双功能酶 (Ehhadh) 是生成中链二羧酸所必需的。
J Lipid Res. 2012 Jul;53(7):1296-303. doi: 10.1194/jlr.M024463. Epub 2012 Apr 25.
8
Mistargeting of peroxisomal EHHADH and inherited renal Fanconi's syndrome.过氧化物酶体 EHHADH 的靶向错误与遗传性肾性范可尼综合征。
N Engl J Med. 2014 Jan 9;370(2):129-38. doi: 10.1056/NEJMoa1307581.
9
TopBP1 promotes malignant progression and correlates with poor prognosis in osteosarcoma.TopBP1 促进骨肉瘤的恶性进展并与不良预后相关。
Eur Rev Med Pharmacol Sci. 2017 Sep;21(18):4022-4031.
10
CBX3 predicts an unfavorable prognosis and promotes tumorigenesis in osteosarcoma.CBX3 预测骨肉瘤预后不良,并促进肿瘤发生。
Mol Med Rep. 2019 May;19(5):4205-4212. doi: 10.3892/mmr.2019.10104. Epub 2019 Mar 28.

引用本文的文献

1
LncRNA Gm35585 transcriptionally activates the peroxidase EHHADH against diet-induced fatty liver.长链非编码RNA Gm35585通过转录激活过氧化物酶EHHADH来对抗饮食诱导的脂肪肝。
Exp Mol Med. 2025 Mar;57(3):652-666. doi: 10.1038/s12276-025-01420-5. Epub 2025 Mar 13.
2
Retracted: Increased EHHADH Expression Predicting Poor Survival of Osteosarcoma by Integrating Weighted Gene Coexpression Network Analysis and Experimental Validation.撤回:通过整合加权基因共表达网络分析和实验验证,EHHADH表达增加预示骨肉瘤患者预后不良
Biomed Res Int. 2024 Mar 20;2024:9782859. doi: 10.1155/2024/9782859. eCollection 2024.
3
VHL-dependence of EHHADH Expression in a Human Renal Cell Carcinoma Cell Line.

本文引用的文献

1
Competing endogenous RNA screening based on long noncoding RNA-messenger RNA co-expression profile in Hepatitis B virus-associated hepatocarcinogenesis.基于长链非编码RNA-信使核糖核酸共表达谱的竞争性内源性RNA筛选在乙型肝炎病毒相关性肝癌发生中的作用
J Tradit Chin Med. 2017 Aug;37(4):510-521.
2
Three novel hub genes and their clinical significance in clear cell renal cell carcinoma.三种新型枢纽基因及其在肾透明细胞癌中的临床意义
J Cancer. 2019 Nov 1;10(27):6779-6791. doi: 10.7150/jca.35223. eCollection 2019.
3
Screening of significant biomarkers related with prognosis of liver cancer by lncRNA-associated ceRNAs analysis.
人肾癌细胞系中EHHADH表达对VHL的依赖性
J Kidney Cancer VHL. 2024 Jan 29;11(1):12-18. doi: 10.15586/jkcvhl.v11i1.322. eCollection 2024.
4
The Physiological and Pathological Role of Acyl-CoA Oxidation.酰基辅酶 A 氧化的生理和病理作用。
Int J Mol Sci. 2023 Oct 3;24(19):14857. doi: 10.3390/ijms241914857.
通过 lncRNA 相关 ceRNA 分析筛选与肝癌预后相关的显著生物标志物。
J Cell Physiol. 2020 Mar;235(3):2464-2477. doi: 10.1002/jcp.29151. Epub 2019 Sep 10.
4
Provocative questions in osteosarcoma basic and translational biology: A report from the Children's Oncology Group.成骨肉瘤基础与转化生物学中的挑战性问题:儿童肿瘤学组的报告。
Cancer. 2019 Oct 15;125(20):3514-3525. doi: 10.1002/cncr.32351. Epub 2019 Jul 29.
5
Identification of Potential Biomarkers with Diagnostic Value in Pituitary Adenomas Using Prediction Analysis for Microarrays Method.采用基因芯片预测分析方法鉴定具有诊断价值的垂体腺瘤潜在生物标志物
J Mol Neurosci. 2019 Nov;69(3):399-410. doi: 10.1007/s12031-019-01369-x. Epub 2019 Jul 6.
6
Innate Immune Cells: A Potential and Promising Cell Population for Treating Osteosarcoma.固有免疫细胞:治疗骨肉瘤的一种有潜力和有前途的细胞群体。
Front Immunol. 2019 May 16;10:1114. doi: 10.3389/fimmu.2019.01114. eCollection 2019.
7
Drug resistance-related microRNAs in osteosarcoma: Translating basic evidence into therapeutic strategies.骨肉瘤中耐药相关 microRNAs:将基础证据转化为治疗策略。
J Cell Mol Med. 2019 Apr;23(4):2280-2292. doi: 10.1111/jcmm.14064. Epub 2019 Feb 5.
8
Bioinformatics identification of crucial genes and pathways associated with hepatocellular carcinoma.生物信息学鉴定与肝细胞癌相关的关键基因和通路。
Biosci Rep. 2018 Nov 9;38(6). doi: 10.1042/BSR20181441. Print 2018 Dec 21.
9
Current and future therapeutic approaches for osteosarcoma.骨肉瘤的当前及未来治疗方法
Expert Rev Anticancer Ther. 2018 Jan;18(1):39-50. doi: 10.1080/14737140.2018.1413939. Epub 2017 Dec 14.
10
Molecular genetics of osteosarcoma.骨肉瘤的分子遗传学。
Bone. 2017 Sep;102:69-79. doi: 10.1016/j.bone.2016.10.017. Epub 2016 Oct 17.