Department of Interventional Radiology, Beijing Shijitan Hospital, Capital Medical University, No. 10 Tieyi St, Haidian District, Beijing, 100038, China.
Department of Radiology, Beijing Shijitan Hospital, Capital Medical University, No. 10 Tieyi St, Haidian District, Beijing, 100038, China.
Sci Rep. 2021 May 18;11(1):10535. doi: 10.1038/s41598-021-89764-6.
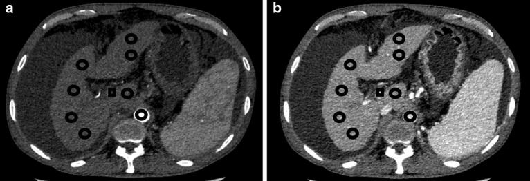
To compare changes in spectral CT iodine densities of hepatic parenchyma and vessels before and after transjugular intrahepatic portosystemic shunt (TIPS) in hepatitis B virus (HBV)-related liver cirrhosis. Twenty-five patients with HBV-related liver cirrhosis who received TIPS for gastroesophageal varices bleeding were recruited. Each patient underwent three phases contrast CT before and after TIPS within 4 weeks, with the raw data reconstructed at 1.25-mm-thick slices. Iodine density (in milligrams per milliliter) was measured on iodine-based material decomposition image. Multiple regions of interest (ROIs) in liver parenchyma, aorta and portal vein were selected from three slices of images. Portal vein trunk was set as the central one, and mean liver parenchymal iodine densities from arterial phase (AP), venous phase (VP) and equilibrium phase (EP) were recorded. Quantitative indices of iodine density (ID), including normalized ID in liver parenchyma for arterial phase (NIDLAP), ID of liver parenchyma for venous phase (IDLVP), ID of portal vein in venous phase (IDPVP) and liver arterial iodine density fraction (AIF), were measured and compared before and after TIPS. Based on Child-Pugh stage, 4, 12 and 9 patients were classified as grade A, B, and C, respectively. Liver volume was comparable before and after TIPS (1110.5 ± 287.4 vs. 1092.0 ± 276.3, P = 0.28). After TIPS, ID was decreased in aorta (146.0 ± 34.5 vs. 120.9 ± 30.7, P < 0.01) whereas increased in liver parenchyma at arterial phase, as demonstrated by IDAP (9.3 ± 3.1 vs. 13.4 ± 4.4 mg/mL) and AIF (0.40 ± 0.11 vs. 0.58 ± 0.11, P < 0.01). For venous or equilibrium phase, quantitative indices remained stable (23.1 ± 4.5 vs. 23.0 ± 5.3, 19.8 ± 4.1 vs. 19.4 ± 4.6) mg/mL (Ps > 0.05). For portal vein, ID and NID were increased after TIPS (23.1 ± 11.7 vs. 36.5 ± 13.0, 16.4 ± 8.5 vs. 31.8 ± 12.8) (P < 0.01). No positive correlation between iodine density and preoperative Child-Pugh score was observed. Based on iodine density measurement, spectral CT as a noninvasive imaging modality may assess hepatic parenchyma and vascular blood flow changes before and after TIPS in HBV-related liver cirrhosis.Clinical registration number: ChiCTR- DDC-16009986.
比较乙型肝炎病毒(HBV)相关肝硬化患者经颈静脉肝内门体分流术(TIPS)前后肝脏实质和血管的光谱 CT 碘密度的变化。
招募了 25 例因胃食管静脉曲张出血接受 TIPS 治疗的 HBV 相关肝硬化患者。所有患者在 TIPS 治疗前和治疗后 4 周内行三期对比 CT 检查,使用原始数据以 1.25-mm 层厚重建。在碘基物质分解图像上测量碘密度(每毫升毫克数)。从 3 个层面的图像中选择肝脏实质、主动脉和门静脉的多个感兴趣区(ROI)。门静脉主干作为中心,记录动脉期(AP)、静脉期(VP)和平衡期(EP)的平均肝实质碘密度。测量并比较 TIPS 前后碘密度的定量指标,包括动脉期肝实质标准化碘密度(NIDLAP)、静脉期肝实质碘密度(IDLVP)、门静脉碘密度(IDPVP)和肝动脉碘密度分数(AIF)。
根据 Child-Pugh 分级,4、12 和 9 例患者分别为 A、B 和 C 级。TIPS 前后肝脏体积相似(1110.5±287.4 比 1092.0±276.3,P=0.28)。TIPS 后,主动脉的碘密度降低(146.0±34.5 比 120.9±30.7,P<0.01),而动脉期肝实质碘密度升高,表现为 IDAP(9.3±3.1 比 13.4±4.4 mg/mL)和 AIF(0.40±0.11 比 0.58±0.11,P<0.01)。静脉期或平衡期,定量指标保持稳定(23.1±4.5 比 23.0±5.3,19.8±4.1 比 19.4±4.6)mg/mL(P>0.05)。门静脉的碘密度和 NID 在 TIPS 后增加(23.1±11.7 比 36.5±13.0,16.4±8.5 比 31.8±12.8)(P<0.01)。碘密度与术前 Child-Pugh 评分之间无明显正相关。基于碘密度测量,光谱 CT 作为一种非侵入性成像方式可评估 HBV 相关肝硬化患者 TIPS 前后肝脏实质和血管血流的变化。
光谱 CT 碘密度可评估 TIPS 前后 HBV 相关肝硬化患者的肝脏实质和血管变化,为临床治疗提供参考。