Naim H Y, Roth J, Sterchi E E, Lentze M, Milla P, Schmitz J, Hauri H P
Department of Gastroenterology, Children's Hospital, Bern, Switzerland.
J Clin Invest. 1988 Aug;82(2):667-79. doi: 10.1172/JCI113646.
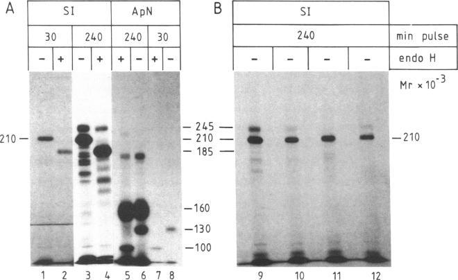
Eight cases of congenital sucrase-isomaltase deficiency were studied at the subcellular and protein level with monoclonal antibodies against sucrase-isomaltase. At least three phenotypes were revealed: one in which sucrase-isomaltase protein accumulated intracellularly probably in the endoplasmic reticulum, as a membrane-associated high-mannose precursor, one in which the intracellular transport of the enzyme was apparently blocked in the Golgi apparatus, and one in which catalytically altered enzyme was transported to the cell surface. All patients expressed electrophoretically normal or near normal high-mannose sucrase-isomaltase. The results suggest that different, probably small, mutations in the sucrase-isomaltase gene lead to the synthesis of transport-incompetent or functionally altered enzyme which results in congenital sucrose intolerance.
利用抗蔗糖酶-异麦芽糖酶的单克隆抗体,在亚细胞和蛋白质水平上对8例先天性蔗糖酶-异麦芽糖酶缺乏症患者进行了研究。至少揭示出三种表型:一种是蔗糖酶-异麦芽糖酶蛋白在内质网中可能作为膜相关的高甘露糖前体在细胞内积累;一种是该酶的细胞内转运显然在高尔基体中受阻;还有一种是催化改变的酶被转运到细胞表面。所有患者电泳显示正常或接近正常的高甘露糖型蔗糖酶-异麦芽糖酶。结果表明,蔗糖酶-异麦芽糖酶基因中不同的、可能较小的突变导致合成了运输无活性或功能改变的酶,从而导致先天性蔗糖不耐受。